Suppr超能文献

Primary extradural meningioma with a history of traumatic head injury during infancy: A case report.

作者信息

Crene Elliot J D, Cockburn Claudia J K, Cockburn William J

机构信息

Neurosurgical Department, Gold Coast University Hospital, 1 Hospital Bld, Southport 4215, Queensland, Australia.

Intensive Care Unit, Gold Coast University Hospital, Queensland 4215, Australia.

出版信息

Int J Surg Case Rep. 2024 Jun;119:109743. doi: 10.1016/j.ijscr.2024.109743. Epub 2024 May 8.

Abstract

INTRODUCTION AND IMPORTANCE

Meningiomas are an extra-axial tumour arising from arachnoid cells and are typically benign and slow growing. Primary extradural meningiomas refer to meningiomas that arise outside the subdural compartment and are extremely rare (0.3 % of meningiomas).

CASE PRESENTATION

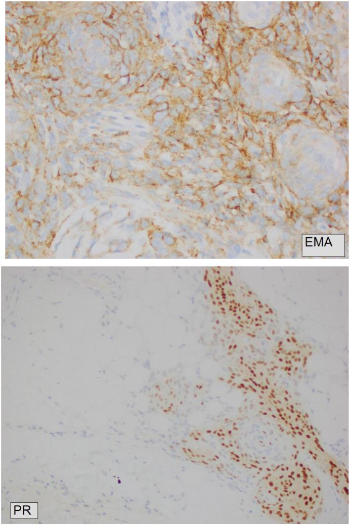
A 42-year-old female presented to her primary health care provider with a 2-year history of a painful mass on her left forehead with a past medical history of a traumatic brain injury and intracranial hematoma from a motor vehicle accident when she was 11 months old. An ultrasound reported as likely sebaceous cyst. The lesion was resected and sent for pathological examination. The diagnostic summary reported an ectopic subgaleal left frontal meningioma WHO Grade 1.

CLINICAL DISCUSSION

Extracranial meningiomas have been divided into two classifications; primary extracranial meningiomas and secondary extracranial meningiomas. In the female population group 88 % of extracranial meningiomas found on the scalp/skin are grade 1 meningiomas. Most extracranial meningiomas are diagnosed after histology examination, due to the rarity. They can arise via entrapment of arachnoid cells during embryologic development and from traumatic events displacing arachnoid cells.

CONCLUSION

The authors suggest that the patient's aetiology of her PEM is from the entrapment of arachnoid islet cells secondary to her traumatic brain injury during infancy. Interestingly, the patients' symptoms began 40 years post trauma. Other case studies of this rare tumour have correlated a shorter time period between the trauma and the diagnosis. We suggest that all patients should have radiographic and histologic investigations of scalp masses.

摘要
https://cdn.ncbi.nlm.nih.gov/pmc/blobs/8a7f/11101895/71283fdf62b0/gr1.jpg

文献AI研究员

20分钟写一篇综述,助力文献阅读效率提升50倍。

立即体验

用中文搜PubMed

大模型驱动的PubMed中文搜索引擎

马上搜索

文档翻译

学术文献翻译模型,支持多种主流文档格式。

立即体验