• 文献检索
  • 文档翻译
  • 深度研究
  • 学术资讯
  • Suppr Zotero 插件Zotero 插件
  • 邀请有礼
  • 套餐&价格
  • 历史记录
应用&插件
Suppr Zotero 插件Zotero 插件浏览器插件Mac 客户端Windows 客户端微信小程序
定价
高级版会员购买积分包购买API积分包
服务
文献检索文档翻译深度研究API 文档MCP 服务
关于我们
关于 Suppr公司介绍联系我们用户协议隐私条款
关注我们

Suppr 超能文献

核心技术专利:CN118964589B侵权必究
粤ICP备2023148730 号-1Suppr @ 2026

文献检索

告别复杂PubMed语法,用中文像聊天一样搜索,搜遍4000万医学文献。AI智能推荐,让科研检索更轻松。

立即免费搜索

文件翻译

保留排版,准确专业,支持PDF/Word/PPT等文件格式,支持 12+语言互译。

免费翻译文档

深度研究

AI帮你快速写综述,25分钟生成高质量综述,智能提取关键信息,辅助科研写作。

立即免费体验

磁共振成像评估胎盘位置作为胎盘植入和产妇围产期发病率的诊断工具。

MRI Assessed Placental Location as a Diagnostic Tool of Placental Invasiveness and Maternal Peripartum Morbidity.

作者信息

Bourgioti Charis, Konidari Marianna, Eleftheriades Makarios, Theodora Marianna, Nikolaidou Maria Evangelia, Zafeiropoulou Konstantina, Tzavara Chara, Fotopoulos Stavros, Daskalakis George, Moulopoulos Lia Angela

机构信息

First Department of Radiology, School of Medicine, National and Kapodistrian University of Athens, Aretaieion Hospital, 11528 Athens, Greece.

Second Department of Obstetrics and Gynaecology, School of Medicine, National and Kapodistrian University of Athens, Aretaieion Hospital, 11528 Athens, Greece.

出版信息

Diagnostics (Basel). 2024 Apr 29;14(9):925. doi: 10.3390/diagnostics14090925.

DOI:10.3390/diagnostics14090925
PMID:38732341
原文链接:https://pmc.ncbi.nlm.nih.gov/articles/PMC11083786/
Abstract

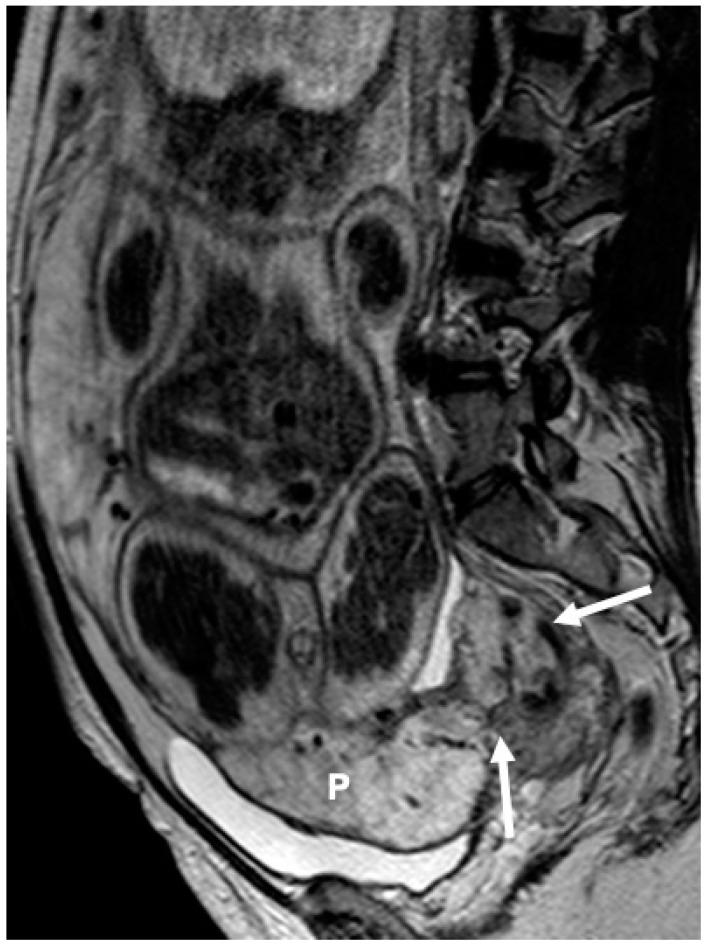
Placenta accreta spectrum (PAS) disorder is one of the leading causes of peripartum maternal morbidity and mortality; its early identification during pregnancy is of utmost importance to ensure the optimal clinical outcome. The aim of the present study is to investigate the possible association of the presence and type/location of placenta previa on MRI with PAS and maternal peripartum outcome. One hundred eighty-nine pregnant women (mean age: 35 years; mean gestational age: 32 weeks) at high risk for PAS underwent a dedicated placental MRI. All women underwent a C-section within 6 weeks from the MRI. All MRIs were evaluated by two experienced genitourinary radiologists for presence, type (complete/partial vs. marginal/low lying), and location (anterior vs. anterior-posterior vs. posterior) of placenta previa. Statistical analysis was performed for possible association of type/location of previa with placental invasiveness and peripartum outcomes. Intraoperative information was used as a reference standard. Complete/partial previa was detected in 143/189 (75.6%) and marginal/low lying previa in 33/189 (17.5%) women; in 88/189 (46.6%) women, the placenta had anterior-posterior, in 54/189 (28.6%) anterior and in 41/189 (21.7%) posterior. Complete/partial previa had an at least 3-fold probability of invasiveness and was more frequently associated with unfavorable peripartum events, including massive intraoperative blood loss or hysterectomy, compared to low-lying/marginal placenta. Posterior placental location was significantly associated with lower rates of PAS and better clinical outcomes. In conclusion, the type and location of placenta previa shown with MRI seems to be associated with severity of complications during delivery and should be carefully studied.

摘要

胎盘植入谱系障碍(PAS)是围产期孕产妇发病和死亡的主要原因之一;孕期早期识别对确保最佳临床结局至关重要。本研究旨在探讨MRI上前置胎盘的存在、类型/位置与PAS及孕产妇围产期结局之间的可能关联。189例PAS高危孕妇(平均年龄:35岁;平均孕周:32周)接受了专门的胎盘MRI检查。所有孕妇在MRI检查后6周内均接受了剖宫产。两名经验丰富的泌尿生殖放射科医生对所有MRI图像进行评估,以确定前置胎盘的存在、类型(完全性/部分性与边缘性/低置性)和位置(前位与前后位与后位)。对前置胎盘的类型/位置与胎盘侵入性及围产期结局之间的可能关联进行了统计分析。术中信息用作参考标准。143/189例(75.6%)孕妇检测到完全性/部分性前置胎盘,33/189例(17.5%)孕妇检测到边缘性/低置性前置胎盘;88/189例(46.6%)孕妇胎盘位于前后位,54/189例(28.6%)位于前位,41/189例(21.7%)位于后位。与低置性/边缘性胎盘相比,完全性/部分性前置胎盘的侵入可能性至少高3倍,且更常与不良围产期事件相关,包括术中大量失血或子宫切除术。胎盘后位与PAS发生率较低及更好的临床结局显著相关。总之,MRI显示的前置胎盘类型和位置似乎与分娩期间并发症的严重程度相关,应仔细研究。

https://cdn.ncbi.nlm.nih.gov/pmc/blobs/3d9d/11083786/76b4a6809551/diagnostics-14-00925-g004.jpg
https://cdn.ncbi.nlm.nih.gov/pmc/blobs/3d9d/11083786/42893bebf6c2/diagnostics-14-00925-g001.jpg
https://cdn.ncbi.nlm.nih.gov/pmc/blobs/3d9d/11083786/99a71479fdbf/diagnostics-14-00925-g002.jpg
https://cdn.ncbi.nlm.nih.gov/pmc/blobs/3d9d/11083786/7d7a384878b7/diagnostics-14-00925-g003.jpg
https://cdn.ncbi.nlm.nih.gov/pmc/blobs/3d9d/11083786/76b4a6809551/diagnostics-14-00925-g004.jpg
https://cdn.ncbi.nlm.nih.gov/pmc/blobs/3d9d/11083786/42893bebf6c2/diagnostics-14-00925-g001.jpg
https://cdn.ncbi.nlm.nih.gov/pmc/blobs/3d9d/11083786/99a71479fdbf/diagnostics-14-00925-g002.jpg
https://cdn.ncbi.nlm.nih.gov/pmc/blobs/3d9d/11083786/7d7a384878b7/diagnostics-14-00925-g003.jpg
https://cdn.ncbi.nlm.nih.gov/pmc/blobs/3d9d/11083786/76b4a6809551/diagnostics-14-00925-g004.jpg

相似文献

1
MRI Assessed Placental Location as a Diagnostic Tool of Placental Invasiveness and Maternal Peripartum Morbidity.磁共振成像评估胎盘位置作为胎盘植入和产妇围产期发病率的诊断工具。
Diagnostics (Basel). 2024 Apr 29;14(9):925. doi: 10.3390/diagnostics14090925.
2
Third-trimester ultrasound for antenatal diagnosis of placenta accreta spectrum in women with placenta previa: results from the ADoPAD study.中孕期超声在前置胎盘孕妇胎盘植入谱系疾病产前诊断中的应用:来自 ADoPAD 研究的结果。
Ultrasound Obstet Gynecol. 2022 Sep;60(3):381-389. doi: 10.1002/uog.24889.
3
Intraplacental Fetal Vessel Diameter May Help Predict for Placental Invasiveness in Pregnant Women at High Risk for Placenta Accreta Spectrum Disorders.胎盘内胎儿血管直径可能有助于预测胎盘侵入性在胎盘植入谱系疾病高危孕妇中的作用。
Radiology. 2021 Feb;298(2):403-412. doi: 10.1148/radiol.2020200273. Epub 2020 Nov 24.
4
[Risk factor assessment and adverse outcome prediction of placenta accreta in pregnant women after cesarean section complicated with placenta previa: a national multicenter retrospective study].剖宫产术后合并前置胎盘孕妇胎盘植入的危险因素评估及不良结局预测:一项全国多中心回顾性研究
Zhonghua Fu Chan Ke Za Zhi. 2023 Jan 25;58(1):26-36. doi: 10.3760/cma.j.cn112141-20221009-00615.
5
MRI prognosticators for adverse maternal and neonatal clinical outcome in patients at high risk for placenta accreta spectrum (PAS) disorders.MRI 预测指标在胎盘部位滋养细胞疾病谱(PAS)高危患者中对母婴不良临床结局的影响。
J Magn Reson Imaging. 2019 Aug;50(2):602-618. doi: 10.1002/jmri.26592. Epub 2018 Dec 21.
6
Placental volume as a novel sign for identifying placenta accreta spectrum in pregnancies with complete placenta previa.胎盘体积作为一种新的标志物,用于识别完全性前置胎盘孕妇的胎盘植入谱系疾病。
BMC Pregnancy Childbirth. 2024 Jan 10;24(1):52. doi: 10.1186/s12884-024-06247-y.
7
Effects of Placenta Location in Pregnancy Outcomes of Placenta Accreta Spectrum (PAS): A Retrospective Cohort Study.胎盘植入谱系疾病(PAS)中胎盘位置对妊娠结局的影响:一项回顾性队列研究
J Family Reprod Health. 2021 Dec;15(4):229-235. doi: 10.18502/jfrh.v15i4.7888.
8
Interobserver agreement in MRI assessment of severity of placenta accreta spectrum disorders.磁共振成像评估胎盘植入谱系疾病严重程度的观察者间一致性
Ultrasound Obstet Gynecol. 2020 Apr;55(4):467-473. doi: 10.1002/uog.20381.
9
Ultrasonographic Prediction of Placental Invasion in Placenta Previa by Placenta Accreta Index.胎盘植入指数对前置胎盘胎盘植入的超声预测
J Clin Med. 2023 Jan 31;12(3):1090. doi: 10.3390/jcm12031090.
10
Association of Placenta Previa With Severe Maternal Morbidity Among Patients With Placenta Accreta Spectrum Disorder.胎盘前置与胎盘植入谱系疾病患者严重产妇发病率的相关性。
JAMA Netw Open. 2022 Aug 1;5(8):e2228002. doi: 10.1001/jamanetworkopen.2022.28002.

本文引用的文献

1
Comparison between 1.5-T and 3.0-T MRI for the diagnosis of placenta accreta spectrum disorders.1.5T 与 3.0T MRI 诊断胎盘植入谱系疾病的比较。
Diagn Interv Imaging. 2022 Sep;103(9):408-417. doi: 10.1016/j.diii.2022.04.005. Epub 2022 May 12.
2
Placenta Accreta Spectrum: A Continuously Evolving Challenge for Radiologists.
Can Assoc Radiol J. 2021 Nov;72(4):597-598. doi: 10.1177/0846537120984124. Epub 2020 Dec 29.
3
Intraplacental Fetal Vessel Diameter May Help Predict for Placental Invasiveness in Pregnant Women at High Risk for Placenta Accreta Spectrum Disorders.胎盘内胎儿血管直径可能有助于预测胎盘侵入性在胎盘植入谱系疾病高危孕妇中的作用。
Radiology. 2021 Feb;298(2):403-412. doi: 10.1148/radiol.2020200273. Epub 2020 Nov 24.
4
Risk factors, histopathology and diagnostic accuracy in posterior placenta accreta spectrum disorders: systematic review and meta-analysis.胎盘植入谱系疾病的危险因素、组织病理学和诊断准确性:系统评价和荟萃分析。
Ultrasound Obstet Gynecol. 2021 Jun;57(6):903-909. doi: 10.1002/uog.22183.
5
Obstetric outcomes in major vs minor placenta praevia: A retrospective cohort study.主要型与次要型前置胎盘的产科结局:一项回顾性队列研究。
Aust N Z J Obstet Gynaecol. 2020 Dec;60(6):896-903. doi: 10.1111/ajo.13218. Epub 2020 Jul 29.
6
Development of placental abnormalities in location and anatomy.胎盘位置和结构异常的发生。
Acta Obstet Gynecol Scand. 2020 Aug;99(8):983-993. doi: 10.1111/aogs.13834. Epub 2020 Mar 18.
7
FIGO classification for the clinical diagnosis of placenta accreta spectrum disorders.FIGO 分类用于胎盘部位滋养细胞肿瘤的临床诊断。
Int J Gynaecol Obstet. 2019 Jul;146(1):20-24. doi: 10.1002/ijgo.12761.
8
MRI prognosticators for adverse maternal and neonatal clinical outcome in patients at high risk for placenta accreta spectrum (PAS) disorders.MRI 预测指标在胎盘部位滋养细胞疾病谱(PAS)高危患者中对母婴不良临床结局的影响。
J Magn Reson Imaging. 2019 Aug;50(2):602-618. doi: 10.1002/jmri.26592. Epub 2018 Dec 21.
9
Placenta Praevia and Placenta Accreta: Diagnosis and Management: Green-top Guideline No. 27a.前置胎盘和胎盘植入:诊断与管理:绿帽指南第27a号
BJOG. 2019 Jan;126(1):e1-e48. doi: 10.1111/1471-0528.15306. Epub 2018 Sep 27.
10
MRI Features Predictive of Invasive Placenta With Extrauterine Spread in High-Risk Gravid Patients: A Prospective Evaluation.MRI 特征预测高危孕妇中具有宫外播散的侵袭性胎盘:一项前瞻性评估。
AJR Am J Roentgenol. 2018 Sep;211(3):701-711. doi: 10.2214/AJR.17.19303. Epub 2018 Jul 11.