Suppr超能文献

液体衰减反转恢复序列上的额下回沟高信号与通过假定的脑膜淋巴管的脑脊液清除有关。

Inferior Frontal Sulcal Hyperintensity on Fluid-Attenuated Inversion Recovery Is Related to Cerebrospinal Fluid Clearance via Putative Meningeal Lymphatics.

作者信息

Zhou Ziyu, Zhou Ying, Ran Wang, Yan Shenqiang, Zhu Xiao, Luo Zhongyu, Ke Huihong, Zhang Kemeng, Fang Mengmeng, Sun Jianzhong, Lou Min

机构信息

Department of Neurology, Second Affiliated Hospital of Zhejiang University, School of Medicine, Hangzhou, China.

Department of Radiology, Second Affiliated Hospital of Zhejiang University, School of Medicine, Hangzhou, China.

出版信息

Aging Dis. 2024 Apr 15;16(2):1169-1179. doi: 10.14336/AD.2024.0415.

Abstract

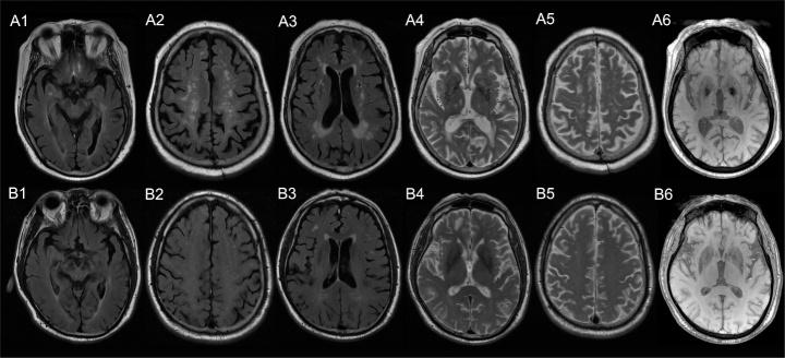
Inferior frontal sulcal hyperintensity (IFSH) on FLAIR sequence may indicate elevated cerebrospinal fluid (CSF) wastes. The objective of this study was to investigate its association with the clearance function of putative meningeal lymphatic vessels (mLVs). We included patients who underwent FLAIR sequence and dynamic contrast MRI with intrathecal administration of contrast agent. The visibility of IFSH was quantitatively assessed by measuring the mean signal intensity of inferior frontal sulci on 2D FLAIR. The clearance function of putative mLVs was defined as the percentage change of signal unite ratio in the parasagittal dura from baseline to 4.5, 15 and 39 hours after intrathecal injection on dynamic contrast MRI. Additionally, imaging markers of cerebral small vessel disease, including white matter hyperintensities and enlarged perivascular spaces, were measured. Correlation analysis and linear regression were employed to verify the association of IFSH with the clearance function of mLVs. A total of 76 patients were included in the study. The visibility of IFSH was found to be associated with the percentage change of signal unite ratio in parasagittal dura from baseline to 15 and 39 hours in adjusted analyses. Furthermore, the visibility of IFSH was positively related to the age, scores of both periventricular and deep white matter hyperintensities, and the grade of enlarged perivascular spaces in centrum semiovale. These findings suggest that the visibility of IFSH on 2D FLAIR may serve as an indicator of clearance dysfunction of mLVs and may be implicated in the development of cerebral small vessel disease.

摘要

液体衰减反转恢复(FLAIR)序列上的额下回沟高信号(IFSH)可能提示脑脊液(CSF)废物增加。本研究的目的是探讨其与假定的脑膜淋巴管(mLVs)清除功能的关联。我们纳入了接受FLAIR序列和鞘内注射造影剂的动态对比MRI检查的患者。通过测量二维FLAIR上额下回沟的平均信号强度对IFSH的可见性进行定量评估。假定的mLVs的清除功能定义为动态对比MRI上鞘内注射后4.5、15和39小时矢状窦旁硬脑膜信号单位比值相对于基线的变化百分比。此外,还测量了脑小血管病的影像学标志物,包括白质高信号和血管周围间隙增宽。采用相关分析和线性回归来验证IFSH与mLVs清除功能的关联。本研究共纳入76例患者。在调整分析中,发现IFSH的可见性与矢状窦旁硬脑膜信号单位比值从基线到15和39小时的变化百分比相关。此外,IFSH的可见性与年龄、脑室周围和深部白质高信号评分以及半卵圆中心血管周围间隙增宽程度呈正相关。这些发现表明,二维FLAIR上IFSH的可见性可能作为mLVs清除功能障碍的指标,并可能与脑小血管病的发生有关。

https://cdn.ncbi.nlm.nih.gov/pmc/blobs/da81/11964441/b49c18cc7df7/AD-16-2-1169-g1.jpg

文献检索

告别复杂PubMed语法,用中文像聊天一样搜索,搜遍4000万医学文献。AI智能推荐,让科研检索更轻松。

立即免费搜索

文件翻译

保留排版,准确专业,支持PDF/Word/PPT等文件格式,支持 12+语言互译。

免费翻译文档

深度研究

AI帮你快速写综述,25分钟生成高质量综述,智能提取关键信息,辅助科研写作。

立即免费体验