• 文献检索
  • 文档翻译
  • 深度研究
  • 学术资讯
  • Suppr Zotero 插件Zotero 插件
  • 邀请有礼
  • 套餐&价格
  • 历史记录
应用&插件
Suppr Zotero 插件Zotero 插件浏览器插件Mac 客户端Windows 客户端微信小程序
定价
高级版会员购买积分包购买API积分包
服务
文献检索文档翻译深度研究API 文档MCP 服务
关于我们
关于 Suppr公司介绍联系我们用户协议隐私条款
关注我们

Suppr 超能文献

核心技术专利:CN118964589B侵权必究
粤ICP备2023148730 号-1Suppr @ 2026

文献检索

告别复杂PubMed语法,用中文像聊天一样搜索,搜遍4000万医学文献。AI智能推荐,让科研检索更轻松。

立即免费搜索

文件翻译

保留排版,准确专业,支持PDF/Word/PPT等文件格式,支持 12+语言互译。

免费翻译文档

深度研究

AI帮你快速写综述,25分钟生成高质量综述,智能提取关键信息,辅助科研写作。

立即免费体验

对药物有反应的淀粉样变性巨大鞍区-鞍旁催乳素瘤

Medically responsive amyloidogenic giant sellar-parasellar prolactinoma.

作者信息

Singh Anoop Kumar, Kumari Gayatri, Tangri Rajiv

机构信息

Department of Neurosurgery, Lifeline Hospital and Research Center, Azamgarh, Uttar Pradesh, India.

Department of Pathology, Dr Lal path Labs, National Reference Laboratory, New Delhi, Delhi, India.

出版信息

Surg Neurol Int. 2024 Apr 12;15:129. doi: 10.25259/SNI_150_2024. eCollection 2024.

DOI:10.25259/SNI_150_2024
PMID:38741982
原文链接:https://pmc.ncbi.nlm.nih.gov/articles/PMC11090579/
Abstract

BACKGROUND

Giant prolactinomas are rare; among them, the amyloidogenic variant, prolactinomas with extensive spherical amyloid deposits, are rare, with only 30 cases reported with recommendations of surgical management contrary to the routine prolactinoma's medical management.

CASE DESCRIPTION

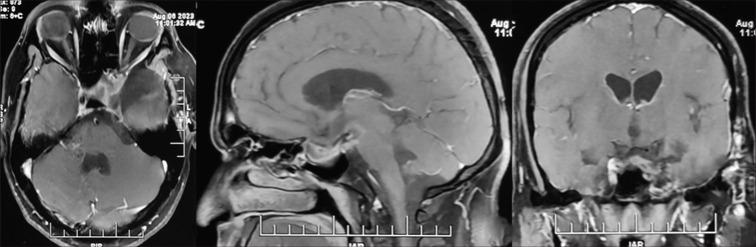
We report here a case of giant amyloidogenic prolactinoma in a 32-year-old male patient who had a very atypical presentation in terms of clinical, radiological, and pathological features and responded to dopamine agonist therapy like a normal prolactinoma.

CONCLUSION

Amyloidogenic giant prolactinomas are rare. Contrary to usual belief, even they remain medically responsive; however, more literature is required to decide their ideal management.

摘要

背景

巨大泌乳素瘤较为罕见;其中,具有淀粉样变性的变异型,即伴有广泛球形淀粉样沉积物的泌乳素瘤,更是罕见,仅有30例报道,其手术治疗建议与常规泌乳素瘤的药物治疗相反。

病例描述

我们在此报告一例32岁男性患者的巨大淀粉样变性泌乳素瘤病例,该病例在临床、影像学和病理学特征方面具有非常不典型的表现,并且对多巴胺激动剂治疗的反应与正常泌乳素瘤相同。

结论

淀粉样变性巨大泌乳素瘤罕见。与通常的看法相反,即使是这类肿瘤对药物治疗仍有反应;然而,需要更多文献来确定其理想的治疗方法。

https://cdn.ncbi.nlm.nih.gov/pmc/blobs/1717/11090579/93e43970dfb8/SNI-15-129-g004.jpg
https://cdn.ncbi.nlm.nih.gov/pmc/blobs/1717/11090579/f4cf20474d07/SNI-15-129-g001.jpg
https://cdn.ncbi.nlm.nih.gov/pmc/blobs/1717/11090579/9ad67cc390a5/SNI-15-129-g002.jpg
https://cdn.ncbi.nlm.nih.gov/pmc/blobs/1717/11090579/4b68528abeb1/SNI-15-129-g003.jpg
https://cdn.ncbi.nlm.nih.gov/pmc/blobs/1717/11090579/93e43970dfb8/SNI-15-129-g004.jpg
https://cdn.ncbi.nlm.nih.gov/pmc/blobs/1717/11090579/f4cf20474d07/SNI-15-129-g001.jpg
https://cdn.ncbi.nlm.nih.gov/pmc/blobs/1717/11090579/9ad67cc390a5/SNI-15-129-g002.jpg
https://cdn.ncbi.nlm.nih.gov/pmc/blobs/1717/11090579/4b68528abeb1/SNI-15-129-g003.jpg
https://cdn.ncbi.nlm.nih.gov/pmc/blobs/1717/11090579/93e43970dfb8/SNI-15-129-g004.jpg

相似文献

1
Medically responsive amyloidogenic giant sellar-parasellar prolactinoma.对药物有反应的淀粉样变性巨大鞍区-鞍旁催乳素瘤
Surg Neurol Int. 2024 Apr 12;15:129. doi: 10.25259/SNI_150_2024. eCollection 2024.
2
Giant Prolactinoma Causing Hydrocephalus and Intracranial Hypertension as First Manifestations of Multiple Endocrine Neoplasia Type 1.巨大泌乳素瘤导致脑积水和颅内高压作为多发性内分泌腺瘤病1型的首发表现
Front Endocrinol (Lausanne). 2019 Aug 28;10:582. doi: 10.3389/fendo.2019.00582. eCollection 2019.
3
Occurrence of extensive spherical amyloid deposits in a prolactin-secreting pituitary macroadenoma: a radiologic-pathologic correlation.分泌催乳素的垂体大腺瘤中广泛球形淀粉样物质沉积的发生:放射病理相关性。
Ann Diagn Pathol. 2013 Aug;17(4):361-6. doi: 10.1016/j.anndiagpath.2013.03.001. Epub 2013 Apr 17.
4
The importance of measuring prolactin prior to surgical management of a pituitary lesion: An illustrative case.垂体病变手术治疗前检测催乳素的重要性:一个实例
Radiol Case Rep. 2023 Aug 26;18(11):3889-3893. doi: 10.1016/j.radcr.2023.08.047. eCollection 2023 Nov.
5
Pituitary Prolactinoma with Amyloid Deposits: Surgery or Dopamine Agonists? Review of Previous Reports and New Recommendations for Management.伴有淀粉样沉积的垂体泌乳素瘤:手术还是多巴胺激动剂?既往报告回顾及新的管理建议
Asian J Neurosurg. 2019 Jul-Sep;14(3):754-758. doi: 10.4103/ajns.AJNS_127_19.
6
A rare case of a giant prolactinoma with atypical histological features: 5 years of follow-up.罕见的具有非典型组织学特征的巨大泌乳素瘤病例:5 年随访。
Hormones (Athens). 2022 Jun;21(2):323-327. doi: 10.1007/s42000-022-00350-5. Epub 2022 Feb 10.
7
A novel surgical approach for the management of giant invasive prolactinoma compressing the brainstem.一种用于治疗压迫脑干的巨大侵袭性催乳素瘤的新型手术方法。
Endocrinol Diabetes Metab Case Rep. 2016;2016:150103. doi: 10.1530/EDM-15-0103. Epub 2015 Dec 2.
8
Giant prolactinomas: clinical management and long-term follow up.巨大泌乳素瘤:临床管理与长期随访
J Neurosurg. 2002 Aug;97(2):299-306. doi: 10.3171/jns.2002.97.2.0299.
9
Treatment Strategy for Giant Invasive Macroprolactinoma with Spontaneous Cerebrospinal Fluid Rhinorrhea: A Case Report and Literature Review.自发性脑脊液鼻漏的巨大侵袭性泌乳素瘤的治疗策略:病例报告及文献复习。
World Neurosurg. 2020 Dec;144:19-23. doi: 10.1016/j.wneu.2020.08.129. Epub 2020 Aug 24.
10
Giant prolactinomas, a detailed analysis of 196 adult cases.巨大泌乳素腺瘤:196 例成人病例的详细分析。
Pituitary. 2023 Oct;26(5):529-537. doi: 10.1007/s11102-023-01337-0. Epub 2023 Aug 7.

本文引用的文献

1
Diagnosis and management of prolactin-secreting pituitary adenomas: a Pituitary Society international Consensus Statement.催乳素分泌型垂体腺瘤的诊断和治疗:垂体学会国际共识声明。
Nat Rev Endocrinol. 2023 Dec;19(12):722-740. doi: 10.1038/s41574-023-00886-5. Epub 2023 Sep 5.
2
A giant invasive macroprolactinoma with recurrent nasal bleeding as the first clinical presentation: case report and review of literature.巨大侵袭性泌乳素大腺瘤首诊为反复鼻出血:病例报告及文献复习。
BMC Endocr Disord. 2023 May 12;23(1):107. doi: 10.1186/s12902-023-01345-y.
3
Spherical amyloid deposition in prolactinoma.
催乳素瘤中的球形淀粉样沉积。
Indian J Pathol Microbiol. 2020 Jul-Sep;63(3):491-492. doi: 10.4103/IJPM.IJPM_178_19.
4
Diagnosis and Treatment of Parasellar Lesions.鞍旁病变的诊断与治疗。
Neuroendocrinology. 2020;110(9-10):728-739. doi: 10.1159/000506905. Epub 2020 Mar 4.
5
Pituitary Prolactinoma with Amyloid Deposits: Surgery or Dopamine Agonists? Review of Previous Reports and New Recommendations for Management.伴有淀粉样沉积的垂体泌乳素瘤:手术还是多巴胺激动剂?既往报告回顾及新的管理建议
Asian J Neurosurg. 2019 Jul-Sep;14(3):754-758. doi: 10.4103/ajns.AJNS_127_19.
6
Giant Prolactinoma in Men: Clinical Features and Therapeutic Outcomes.男性巨大泌乳素瘤:临床特征与治疗结果
Horm Metab Res. 2018 Nov;50(11):791-796. doi: 10.1055/a-0752-0741. Epub 2018 Nov 5.
7
Occurrence of extensive spherical amyloid deposits in a prolactin-secreting pituitary macroadenoma: a radiologic-pathologic correlation.分泌催乳素的垂体大腺瘤中广泛球形淀粉样物质沉积的发生:放射病理相关性。
Ann Diagn Pathol. 2013 Aug;17(4):361-6. doi: 10.1016/j.anndiagpath.2013.03.001. Epub 2013 Apr 17.
8
Spherical amyloid deposition in a prolactin-producing pituitary adenoma.分泌催乳素的垂体腺瘤中的球形淀粉样沉积。
Neuropathology. 2009 Feb;29(1):81-4. doi: 10.1111/j.1440-1789.2008.00922.x. Epub 2008 May 21.
9
MR imaging characteristics of amyloid deposits in pituitary adenoma.垂体腺瘤中淀粉样沉积物的磁共振成像特征
AJNR Am J Neuroradiol. 2002 Mar;23(3):368-70.
10
Amyloid deposits in a prolactin-producing pituitary adenoma.分泌催乳素的垂体腺瘤中的淀粉样沉积物。
J Endocrinol Invest. 1993 May;16(5):339-43. doi: 10.1007/BF03348851.