Suppr超能文献

巨大侵袭性泌乳素大腺瘤首诊为反复鼻出血:病例报告及文献复习。

A giant invasive macroprolactinoma with recurrent nasal bleeding as the first clinical presentation: case report and review of literature.

机构信息

Division of Endocrinology and Metabolism, West China Hospital of Sichuan University, Chengdu, 610041, P.R. China.

Department of Health Management, Health Management Center, General Practice Center, West China Hospital of Sichuan University, Chengdu, 610041, P.R. China.

出版信息

BMC Endocr Disord. 2023 May 12;23(1):107. doi: 10.1186/s12902-023-01345-y.

Abstract

BACKGROUND

Giant prolactinoma (> 4 cm in dimension) is a rare disorder. Invasive macroprolactinoma has the potential to cause base of skull erosion and extend into the nasal cavity or even the sphenoid sinus. Nasal bleeding caused by intranasal tumor extension is a rare complication associated with invasive giant prolactinoma. We report a case of giant invasive macroprolactinoma with repeated nasal bleeding as the initial symptom.

CASE PRESENTATION

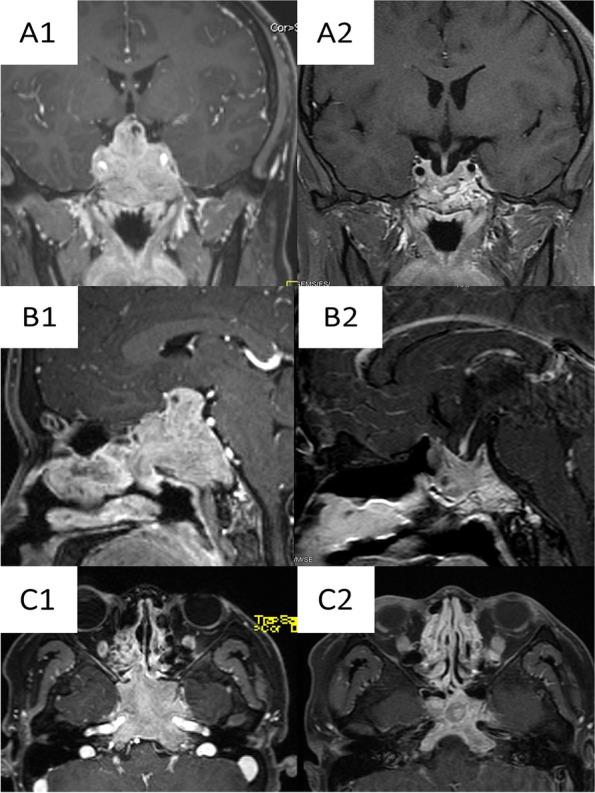
A 24-year-old man with an invasive giant prolactinoma in the nasal cavity and sellar region who presented with nasal bleeding as the initial symptom, misdiagnosed as olfactory neuroblastoma. However, markedly elevated serum prolactin levels (4700 ng/mL), and a 7.8-cm invasive sellar mass confirmed the diagnosis of invasive giant prolactinoma. He was treated with oral bromocriptine. Serum prolactin was reduced to near normal after 6 months of treatment. Follow-up magnetic resonance imaging showed that the sellar lesion had disappeared completely and the skull base lesions were reduced.

CONCLUSION

This case is notable in demonstrating the aggressive nature of untreated invasive giant prolactinomas which can cause a diagnostic difficulty with potential serious consequences. Early detection of hormonal levels can avoid unnecessary nasal biopsy. Early identification of pituitary adenoma with nasal bleeding as the first symptom is particularly important.

摘要

背景

巨大泌乳素瘤(>4 厘米)是一种罕见的疾病。侵袭性大泌乳素瘤有可能导致颅底骨质侵蚀,并向鼻腔甚至蝶窦扩展。由于肿瘤向鼻腔内扩展导致的鼻出血是与侵袭性巨大泌乳素瘤相关的罕见并发症。我们报告了一例以鼻出血为首发症状的巨大侵袭性大泌乳素瘤病例。

病例介绍

一名 24 岁男性,患有鼻腔和蝶鞍区侵袭性巨大泌乳素瘤,以鼻出血为首发症状,误诊为嗅神经母细胞瘤。然而,明显升高的血清泌乳素水平(4700ng/mL)和 7.8 厘米侵袭性鞍区肿块证实了侵袭性巨大泌乳素瘤的诊断。他接受了口服溴隐亭治疗。治疗 6 个月后,血清泌乳素降至接近正常。随访磁共振成像显示鞍区病变完全消失,颅底病变减少。

结论

本例突出了未经治疗的侵袭性巨大泌乳素瘤的侵袭性特征,这可能导致诊断困难,并可能产生严重后果。早期检测激素水平可以避免不必要的鼻腔活检。早期识别以鼻出血为首发症状的垂体腺瘤尤为重要。

https://cdn.ncbi.nlm.nih.gov/pmc/blobs/cb27/10176701/56bf75fda463/12902_2023_1345_Fig1_HTML.jpg

文献AI研究员

20分钟写一篇综述,助力文献阅读效率提升50倍。

立即体验

用中文搜PubMed

大模型驱动的PubMed中文搜索引擎

马上搜索

文档翻译

学术文献翻译模型,支持多种主流文档格式。

立即体验