Suppr超能文献

眼睑小汗腺汗孔瘤:一例报告及文献复习

Eyelid Eccrine Poroma: A Case Report and Literature Review.

作者信息

Pérez-Trigo Silvia, López-Ladrón-García-Borbolla Regina-María, Mencía-Gutiérrez Enrique, Garrido-Ruíz María, Bengoa-González Álvaro

机构信息

Ophthalmology, 12 de Octubre Hospital, Complutense University, Madrid, ESP.

Pathology, 12 de Octubre Hospital, Complutense University, Madrid, ESP.

出版信息

Cureus. 2024 May 15;16(5):e60316. doi: 10.7759/cureus.60316. eCollection 2024 May.

Abstract

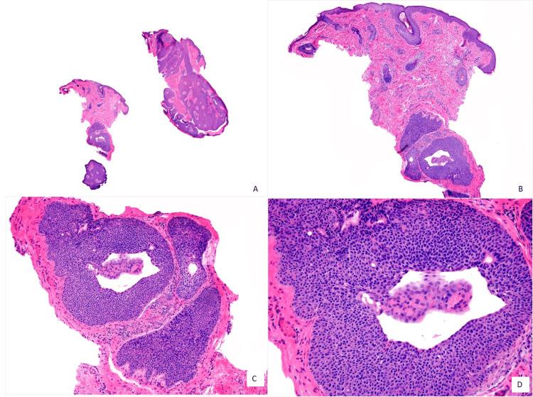
Eccrine poroma is a rare benign adnexal tumor arising from intradermal cells of eccrine sweat ducts. At least two-thirds of eccrine poromas present on the extremities, most commonly on the palms and soles. They are scarcely found on the face; to date, only 11 cases of eyelid poromas have been reported in PubMed. Biopsy excision with a free margin is necessary to distinguish it from malignant lesions and avoid recurrence with possible transformation to porocarcinoma. We present the case of a 23-year-old male with a histopathological confirmation of poroma using staining with hematoxylin-eosin on the eyelid, previously clinically diagnosed with molluscum contagiosum. After four years, he has not experienced a recurrence.

摘要

小汗腺汗孔瘤是一种罕见的良性附属器肿瘤,起源于小汗腺导管的真皮内细胞。至少三分之二的小汗腺汗孔瘤出现在四肢,最常见于手掌和足底。面部很少见;迄今为止,PubMed上仅报道了11例眼睑汗孔瘤。为了将其与恶性病变区分开来并避免可能转化为汗孔癌的复发,需要进行切缘阴性的活检切除。我们报告了一例23岁男性病例,其眼睑经苏木精-伊红染色组织病理学确诊为汗孔瘤,此前临床诊断为传染性软疣。四年后,他未出现复发。

https://cdn.ncbi.nlm.nih.gov/pmc/blobs/4322/11094528/65af38fd5948/cureus-0016-00000060316-i01.jpg

文献AI研究员

20分钟写一篇综述,助力文献阅读效率提升50倍。

立即体验

用中文搜PubMed

大模型驱动的PubMed中文搜索引擎

马上搜索

文档翻译

学术文献翻译模型,支持多种主流文档格式。

立即体验