Department of Zoology, College of Science, King Saud University, Riyadh, Saudi Arabia.
Department of Zoology and Entomology, Faculty of Science, Helwan University, Cairo, Egypt.
Front Immunol. 2024 May 1;15:1404297. doi: 10.3389/fimmu.2024.1404297. eCollection 2024.
Recently, the use of botanicals as an alternative to coccidiostats has been an appealing approach for controlling coccidiosis. Therefore, this study was conducted to evaluate the potential role of aqueous methanolic extract (200 mg/kg) of (roots) (KLRE) against infection induced by .
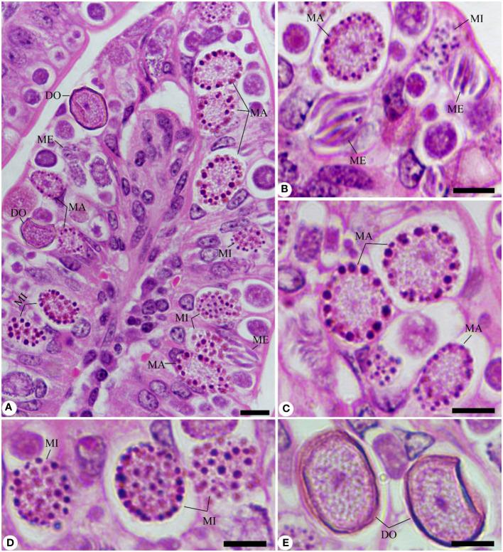
A total of 25 male C57BL/6 mice were divided into five groups (I, II, III, IV, and V). On 1 day of the experiment, all groups except groups I (control) and II (non-infected-treated group with KLRE), were inoculated orally with 10 sporulated oocysts. On the day of infection, group IV was treated with KLRE. Group V served as an infected-treated group and was treated with amprolium (coccidiostat).
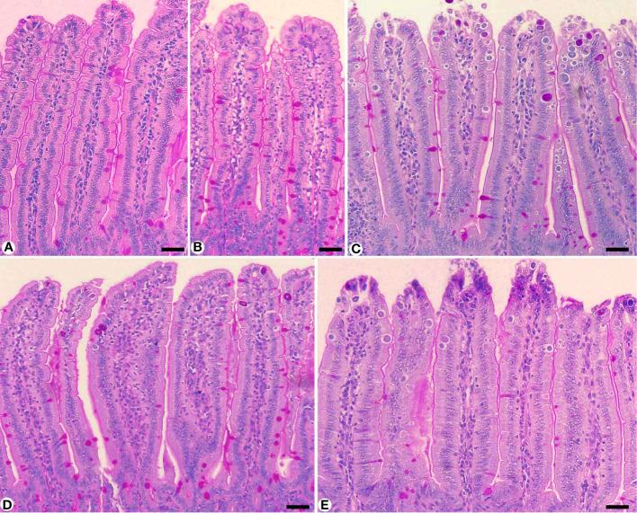
Treatment with extract and coccidiostat was continued for five consecutive days. While not reaching the efficacy level of the reference drug (amprolium), KLRE exhibited notable anticoccidial activity as assessed by key criteria, including oocyst suppression rate, total parasitic stages, and maintenance of nutrient homeostasis. The presence of phenolic and flavonoid compounds in KLRE is thought to be responsible for its positive effects. The infection increased the oxidative damage in the jejunum. KLRE treatment significantly increased the activity of catalase and superoxide dismutase. On the contrary, KLRE decreased the level of malondialdehyde and nitric oxide. Moreover, KLRE treatment decreased macrophage infiltration in the mice jejunal tissue, as well as the extent of CD4 T cells and NFkB. caused a state of systemic inflammatory response as revealed by the upregulation of inducible nitric oxide synthase ()-mRNA. Upon treatment with KLRE, the activity of was reduced from 3.63 to 1.46 fold. Moreover, KLRE was able to downregulate the expression of pro-inflammatory cytokines interferon-γ, nuclear factor kappa B, and interleukin-10 -mRNA by 1.63, 1.64, and 1.38 fold, respectively. Moreover, KLRE showed a significant reduction in the expression of IL-10 protein level from 104.27 ± 8.41 pg/ml to 62.18 ± 3.63 pg/ml.
Collectively, is a promising herbal medicine that could ameliorate the oxidative stress and inflammation of jejunum, induced by infection in mice.
最近,使用植物药作为球虫抑制剂的替代品来控制球虫病是一种很有吸引力的方法。因此,本研究旨在评估 (根部)(KLRE)的水甲醇提取物(200mg/kg)对 感染的潜在作用。
总共 25 只雄性 C57BL/6 小鼠被分为五组(I、II、III、IV 和 V)。在实验的第 1 天,除了第 I 组(对照组)和第 II 组(用 KLRE 处理的非感染组)之外,所有组都通过口服接种 10 个孢子化的 卵囊进行感染。在感染当天,第 IV 组用 KLRE 治疗。第 V 组作为感染治疗组,用安普罗姆(球虫抑制剂)治疗。
提取物和抗球虫药的治疗连续进行了 5 天。虽然没有达到参考药物(安普罗姆)的疗效水平,但 KLRE 表现出显著的抗球虫活性,其关键标准包括卵囊抑制率、总寄生阶段和维持营养平衡。KLRE 中存在酚类和类黄酮化合物被认为是其产生积极效果的原因。感染导致空肠中的氧化损伤增加。KLRE 处理显著增加了过氧化氢酶和超氧化物歧化酶的活性。相反,KLRE 降低了丙二醛和一氧化氮的水平。此外,KLRE 处理减少了小鼠空肠组织中的巨噬细胞浸润以及 CD4 T 细胞和 NFkB 的程度。感染导致诱导型一氧化氮合酶(iNOS)-mRNA 上调,引起全身炎症反应状态。用 KLRE 处理后,iNOS 的活性从 3.63 降低到 1.46 倍。此外,KLRE 能够分别下调促炎细胞因子干扰素-γ、核因子 kappa B 和白细胞介素-10 -mRNA 的表达 1.63、1.64 和 1.38 倍。此外,KLRE 显著降低了 IL-10 蛋白水平,从 104.27±8.41pg/ml 降低至 62.18±3.63pg/ml。
总的来说,KLRE 是一种很有前途的草药,可以改善由 感染引起的小鼠空肠氧化应激和炎症。