• 文献检索
  • 文档翻译
  • 深度研究
  • 学术资讯
  • Suppr Zotero 插件Zotero 插件
  • 邀请有礼
  • 套餐&价格
  • 历史记录
应用&插件
Suppr Zotero 插件Zotero 插件浏览器插件Mac 客户端Windows 客户端微信小程序
定价
高级版会员购买积分包购买API积分包
服务
文献检索文档翻译深度研究API 文档MCP 服务
关于我们
关于 Suppr公司介绍联系我们用户协议隐私条款
关注我们

Suppr 超能文献

核心技术专利:CN118964589B侵权必究
粤ICP备2023148730 号-1Suppr @ 2026

文献检索

告别复杂PubMed语法,用中文像聊天一样搜索,搜遍4000万医学文献。AI智能推荐,让科研检索更轻松。

立即免费搜索

文件翻译

保留排版,准确专业,支持PDF/Word/PPT等文件格式,支持 12+语言互译。

免费翻译文档

深度研究

AI帮你快速写综述,25分钟生成高质量综述,智能提取关键信息,辅助科研写作。

立即免费体验

一种罕见的混合性甲状腺癌:手术及病理学上的罕见病例。

An Unusual Mixed Thyroid Carcinoma: A Surgical and Pathological Rarity.

作者信息

Selvaraj Karthikeyan, Shankar Aiswerya, Johnson Thanka, M Preethi

机构信息

General Surgery, Sree Balaji Medical College and Hospital, Chennai, IND.

Pathology, Sree Balaji Medical College and Hospital, Chennai, IND.

出版信息

Cureus. 2024 Apr 15;16(4):e58291. doi: 10.7759/cureus.58291. eCollection 2024 Apr.

DOI:10.7759/cureus.58291
PMID:38752032
原文链接:https://pmc.ncbi.nlm.nih.gov/articles/PMC11094661/
Abstract

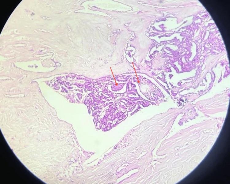
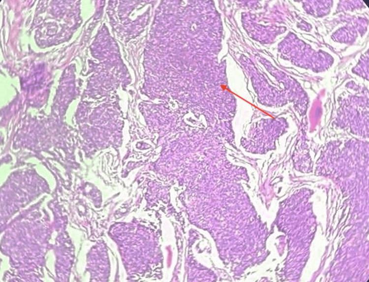
The incidence of mixed thyroid carcinoma of poorly differentiated thyroid carcinoma (PDTC) and papillary carcinoma thyroid is very unusual. PDTC exhibits a high degree of dedifferentiation and histopathological confirmation is done based on Turin's criteria. This type of carcinoma has a poor prognosis and the survival rates at five and ten years post-diagnosis are significantly lower compared to well-differentiated thyroid carcinomas. Surgery is the best mode of treatment at present. This is a case of a 71-year-old female who underwent total thyroidectomy with modified radical neck dissection which yielded a histopathological variant comprising PDTC and papillary thyroid carcinoma. The patient was followed up with a serial thyroglobulin antibody test and ultrasound of the neck at six months and one year, and both were found to be normal.

摘要

低分化甲状腺癌(PDTC)与甲状腺乳头状癌混合性甲状腺癌的发病率非常罕见。PDTC表现出高度的去分化,组织病理学诊断依据都灵标准进行。这种类型的癌预后较差,与高分化甲状腺癌相比,诊断后5年和10年的生存率显著降低。目前手术是最佳治疗方式。这是一例71岁女性患者,接受了全甲状腺切除术及改良根治性颈清扫术,术后病理结果为PDTC与甲状腺乳头状癌的组织病理学变异型。对该患者在术后6个月和1年进行了系列甲状腺球蛋白抗体检测及颈部超声检查进行随访,结果均正常。

https://cdn.ncbi.nlm.nih.gov/pmc/blobs/1122/11094661/f8375ad57db2/cureus-0016-00000058291-i12.jpg
https://cdn.ncbi.nlm.nih.gov/pmc/blobs/1122/11094661/617a4d4bf86e/cureus-0016-00000058291-i01.jpg
https://cdn.ncbi.nlm.nih.gov/pmc/blobs/1122/11094661/d350a0e0c045/cureus-0016-00000058291-i02.jpg
https://cdn.ncbi.nlm.nih.gov/pmc/blobs/1122/11094661/230af31cb356/cureus-0016-00000058291-i03.jpg
https://cdn.ncbi.nlm.nih.gov/pmc/blobs/1122/11094661/5aa657177e56/cureus-0016-00000058291-i04.jpg
https://cdn.ncbi.nlm.nih.gov/pmc/blobs/1122/11094661/76057c35a0e7/cureus-0016-00000058291-i05.jpg
https://cdn.ncbi.nlm.nih.gov/pmc/blobs/1122/11094661/06c26768131e/cureus-0016-00000058291-i06.jpg
https://cdn.ncbi.nlm.nih.gov/pmc/blobs/1122/11094661/fc0fb9f6fe68/cureus-0016-00000058291-i07.jpg
https://cdn.ncbi.nlm.nih.gov/pmc/blobs/1122/11094661/c49ad65f8f17/cureus-0016-00000058291-i08.jpg
https://cdn.ncbi.nlm.nih.gov/pmc/blobs/1122/11094661/510ba3079b9a/cureus-0016-00000058291-i09.jpg
https://cdn.ncbi.nlm.nih.gov/pmc/blobs/1122/11094661/0fb5aa18709f/cureus-0016-00000058291-i10.jpg
https://cdn.ncbi.nlm.nih.gov/pmc/blobs/1122/11094661/ada8e6bfb9cb/cureus-0016-00000058291-i11.jpg
https://cdn.ncbi.nlm.nih.gov/pmc/blobs/1122/11094661/f8375ad57db2/cureus-0016-00000058291-i12.jpg
https://cdn.ncbi.nlm.nih.gov/pmc/blobs/1122/11094661/617a4d4bf86e/cureus-0016-00000058291-i01.jpg
https://cdn.ncbi.nlm.nih.gov/pmc/blobs/1122/11094661/d350a0e0c045/cureus-0016-00000058291-i02.jpg
https://cdn.ncbi.nlm.nih.gov/pmc/blobs/1122/11094661/230af31cb356/cureus-0016-00000058291-i03.jpg
https://cdn.ncbi.nlm.nih.gov/pmc/blobs/1122/11094661/5aa657177e56/cureus-0016-00000058291-i04.jpg
https://cdn.ncbi.nlm.nih.gov/pmc/blobs/1122/11094661/76057c35a0e7/cureus-0016-00000058291-i05.jpg
https://cdn.ncbi.nlm.nih.gov/pmc/blobs/1122/11094661/06c26768131e/cureus-0016-00000058291-i06.jpg
https://cdn.ncbi.nlm.nih.gov/pmc/blobs/1122/11094661/fc0fb9f6fe68/cureus-0016-00000058291-i07.jpg
https://cdn.ncbi.nlm.nih.gov/pmc/blobs/1122/11094661/c49ad65f8f17/cureus-0016-00000058291-i08.jpg
https://cdn.ncbi.nlm.nih.gov/pmc/blobs/1122/11094661/510ba3079b9a/cureus-0016-00000058291-i09.jpg
https://cdn.ncbi.nlm.nih.gov/pmc/blobs/1122/11094661/0fb5aa18709f/cureus-0016-00000058291-i10.jpg
https://cdn.ncbi.nlm.nih.gov/pmc/blobs/1122/11094661/ada8e6bfb9cb/cureus-0016-00000058291-i11.jpg
https://cdn.ncbi.nlm.nih.gov/pmc/blobs/1122/11094661/f8375ad57db2/cureus-0016-00000058291-i12.jpg

相似文献

1
An Unusual Mixed Thyroid Carcinoma: A Surgical and Pathological Rarity.一种罕见的混合性甲状腺癌:手术及病理学上的罕见病例。
Cureus. 2024 Apr 15;16(4):e58291. doi: 10.7759/cureus.58291. eCollection 2024 Apr.
2
Poorly differentiated carcinoma of thyroid: Case report of an uncommon entity.甲状腺低分化癌:一种罕见实体的病例报告。
J Cancer Res Ther. 2018 Jul-Sep;14(5):1142-1144. doi: 10.4103/0973-1482.187239.
3
Robotic total thyroidectomy with modified radical neck dissection via unilateral retroauricular approach.经单侧耳后入路机器人辅助全甲状腺切除术并改良根治性颈清扫术
Ann Surg Oncol. 2014 Nov;21(12):3872-5. doi: 10.1245/s10434-014-3896-y. Epub 2014 Sep 17.
4
Robot-assisted Sistrunk's operation, total thyroidectomy, and neck dissection via a transaxillary and retroauricular (TARA) approach in papillary carcinoma arising in thyroglossal duct cyst and thyroid gland.经腋后(TARA)入路机器人辅助施行 Sistrunk 手术、甲状腺全切除术和颈淋巴结清扫术治疗甲状舌管囊肿和甲状腺起源的乳头状癌
Ann Surg Oncol. 2012 Dec;19(13):4259-61. doi: 10.1245/s10434-012-2674-y. Epub 2012 Oct 16.
5
Mouse Model of Thyroid Cancer Progression and Dedifferentiation Driven by STRN-ALK Expression and Loss of p53: Evidence for the Existence of Two Types of Poorly Differentiated Carcinoma.由 STRN-ALK 表达和 p53 缺失驱动的甲状腺癌进展和去分化的小鼠模型:两种低分化癌存在的证据。
Thyroid. 2019 Oct;29(10):1425-1437. doi: 10.1089/thy.2019.0284. Epub 2019 Aug 16.
6
Insular thyroid carcinoma in a young Moroccan man: Case report and review of the literature.一名年轻摩洛哥男性的岛叶甲状腺癌:病例报告及文献综述
Ann Med Surg (Lond). 2022 Apr 6;77:103592. doi: 10.1016/j.amsu.2022.103592. eCollection 2022 May.
7
Insular variant of poorly differentiated thyroid carcinoma.岛状型低分化甲状腺癌。
Endocr Pract. 2011 Jan-Feb;17(1):115-21. doi: 10.4158/EP09368.RA.
8
Clinical characteristics of poorly differentiated thyroid carcinomas compared with those of classical papillary thyroid carcinomas.低分化甲状腺癌与经典型乳头状甲状腺癌的临床特征比较。
Clin Endocrinol (Oxf). 2007 Feb;66(2):224-8. doi: 10.1111/j.1365-2265.2006.02712.x.
9
Poorly differentiated thyroid carcinoma in a 9-year-old boy: case report.一名9岁男孩的低分化甲状腺癌:病例报告
J Pediatr Endocrinol Metab. 2011;24(9-10):783-6.
10
The coexistence of papillary thyroid carcinoma, anaplastic thyroid carcinoma (squamous cell carcinoma subtype) and poorly differentiated thyroid carcinoma: a case report.乳头状甲状腺癌、间变性甲状腺癌(鳞状细胞癌亚型)和低分化甲状腺癌并存:一例报告
AME Case Rep. 2024 Apr 7;8:47. doi: 10.21037/acr-23-192. eCollection 2024.

本文引用的文献

1
A Rare Case of Papillary Thyroid Carcinoma in the Thyroglossal Duct Cyst of a 14-Year-Old Female Patient With Left Thyroid Hemiagenesis.一名14岁左甲状腺半侧发育不全女性患者甲状舌管囊肿内发生甲状腺乳头状癌的罕见病例。
Cureus. 2023 Nov 30;15(11):e49712. doi: 10.7759/cureus.49712. eCollection 2023 Nov.
2
The impact of thyroid tumor features on lymph node metastasis in papillary thyroid carcinoma patients in head and neck department at KAMC: A retrospective cross-sectional study.喀土穆军事学院头颈科甲状腺乳头状癌患者甲状腺肿瘤特征对淋巴结转移的影响:一项回顾性横断面研究。
Ann Med Surg (Lond). 2021 Mar 22;64:102217. doi: 10.1016/j.amsu.2021.102217. eCollection 2021 Apr.
3
Predictive factors of outcome in poorly differentiated thyroid carcinomas.
低分化甲状腺癌预后的预测因素。
Eur J Cancer. 2018 Mar;92:40-47. doi: 10.1016/j.ejca.2017.12.027. Epub 2018 Feb 3.
4
Changes of Clinicopathologic Characteristics and Survival Outcomes of Anaplastic and Poorly Differentiated Thyroid Carcinoma.间变性和低分化甲状腺癌的临床病理特征变化及生存结局。
Thyroid. 2016 Mar;26(3):404-13. doi: 10.1089/thy.2015.0316. Epub 2015 Dec 14.
5
Outcomes in patients with poorly differentiated thyroid carcinoma.低分化甲状腺癌患者的预后。
J Clin Endocrinol Metab. 2014 Apr;99(4):1245-52. doi: 10.1210/jc.2013-3842. Epub 2014 Feb 10.
6
The clinical course of poorly differentiated thyroid carcinoma (insular carcinoma) - own observations.未分化甲状腺癌(胰岛细胞癌)的临床病程- 自身观察。
Endokrynol Pol. 2010 Sep-Oct;61(5):467-73.
7
Poorly differentiated thyroid carcinoma: a cytologic-histologic review.低分化甲状腺癌:细胞病理学与组织病理学回顾
Adv Anat Pathol. 2009 Sep;16(5):283-9. doi: 10.1097/PAP.0b013e3181b50640.
8
Cytomorphologic features of poorly differentiated thyroid carcinoma: a multi-institutional analysis of 40 cases.
Cancer. 2009 Jun 25;117(3):185-94. doi: 10.1002/cncy.20023.
9
Poorly differentiated thyroid carcinoma: the Turin proposal for the use of uniform diagnostic criteria and an algorithmic diagnostic approach.低分化甲状腺癌:都灵关于使用统一诊断标准和算法诊断方法的提议。
Am J Surg Pathol. 2007 Aug;31(8):1256-64. doi: 10.1097/PAS.0b013e3180309e6a.
10
An evidence-based review of poorly differentiated thyroid cancer.低分化甲状腺癌的循证综述
World J Surg. 2007 May;31(5):934-45. doi: 10.1007/s00268-007-9033-3.