Suppr超能文献

乳头状甲状腺癌、间变性甲状腺癌(鳞状细胞癌亚型)和低分化甲状腺癌并存:一例报告

The coexistence of papillary thyroid carcinoma, anaplastic thyroid carcinoma (squamous cell carcinoma subtype) and poorly differentiated thyroid carcinoma: a case report.

作者信息

Zhang Ying, Liu Qinguo, Ma Deshou, Maimaiti Yusufu, Ma Zhijun

机构信息

Qinghai University College of Clinical Medicine, Xining, China.

Department of Oncology Surgery, Qinghai University Affiliated Hospital, Xining, China.

出版信息

AME Case Rep. 2024 Apr 7;8:47. doi: 10.21037/acr-23-192. eCollection 2024.

Abstract

BACKGROUND

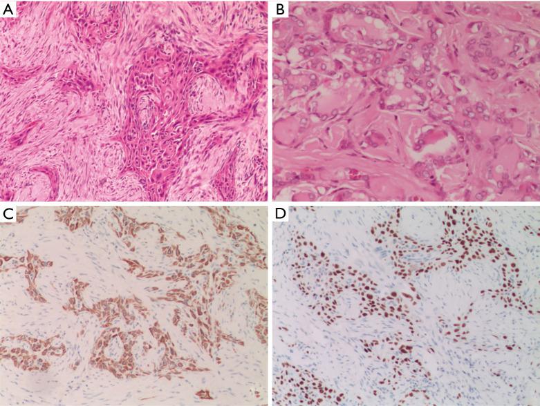
Papillary thyroid carcinoma (PTC) accounts for about 60% of adult thyroid carcinoma and generally has an excellent prognosis. Primary squamous cell carcinoma of thyroid (PSCCT) is a rare thyroid tumor with high malignancy and poor prognosis. In 2022, the 5 edition of World Health Organization (WHO) has classified it as a subtype of anaplastic thyroid carcinoma (ATC), abbreviated as ATC-squamous cell carcinoma (SCC) subtype. Poorly differentiated thyroid carcinoma (PDTC) is a kind of follicular-derived malignancy, which is prone to recurrence and distant metastasis. Here, we report a rare case of the coexistence of PTC, ATC-SCC subtype and PDTC.

CASE DESCRIPTION

We herein report a case of 69-year-old female who initially presented with a history of left neck mass for one month. Comprehensive auxiliary examinations and postoperative pathology confirmed the diagnosis of PTC combined with ATC-SCC subtype, and PDTC. Total thyroidectomy with radical left cervical lymph node dissection was performed, followed by thyroid-stimulating hormone (TSH) suppressive therapy, I, radiotherapy and chemotherapy. The patient showed no tumor recurrence or metastasis after a 5-month postoperative follow-up.

CONCLUSIONS

The simultaneous occurrence of PTC, ATC-SCC subtype, and PDTC is extremely rare in clinical terms or literature reports. The treatment has not been standardized, and early radical surgery is the first choice. In addition, the combination of adjuvant therapies such as TSH suppressive therapy, radiotherapy, chemotherapy and I may further improve the prognosis of the patient.

摘要

背景

乳头状甲状腺癌(PTC)约占成人甲状腺癌的60%,总体预后良好。甲状腺原发性鳞状细胞癌(PSCCT)是一种罕见的甲状腺肿瘤,恶性程度高,预后差。2022年,世界卫生组织(WHO)第5版将其归类为未分化甲状腺癌(ATC)的一种亚型,简称为ATC-鳞状细胞癌(SCC)亚型。低分化甲状腺癌(PDTC)是一种滤泡源性恶性肿瘤,易复发和远处转移。在此,我们报告1例罕见的PTC、ATC-SCC亚型和PDTC并存病例。

病例描述

我们在此报告1例69岁女性患者,最初表现为左颈部肿块1个月病史。综合辅助检查及术后病理确诊为PTC合并ATC-SCC亚型及PDTC。行全甲状腺切除术加左侧颈淋巴结根治性清扫术,随后进行促甲状腺激素(TSH)抑制治疗、碘-131放疗及化疗。术后5个月随访,患者未见肿瘤复发或转移。

结论

PTC、ATC-SCC亚型和PDTC同时出现,无论在临床还是文献报道中都极为罕见。治疗尚未规范化,早期根治性手术是首选。此外,TSH抑制治疗、放疗、化疗及碘-131等辅助治疗联合应用可能进一步改善患者预后。

https://cdn.ncbi.nlm.nih.gov/pmc/blobs/fe94/11071005/edeb053142e5/acr-08-23-192-f1.jpg

文献检索

告别复杂PubMed语法,用中文像聊天一样搜索,搜遍4000万医学文献。AI智能推荐,让科研检索更轻松。

立即免费搜索

文件翻译

保留排版,准确专业,支持PDF/Word/PPT等文件格式,支持 12+语言互译。

免费翻译文档

深度研究

AI帮你快速写综述,25分钟生成高质量综述,智能提取关键信息,辅助科研写作。

立即免费体验