Suppr超能文献

肾上腺神经母细胞瘤手术后发生的肝脏炎性肌纤维母细胞瘤:一例报告

Inflammatory myofibroblastic tumor of the liver after adrenal neuroblastoma surgery: a case report.

作者信息

Shen Qiyang, Liu Xingyu, Zhang Lijie, Li Tao, Zhou Jianfeng

机构信息

Department of Pediatric Surgery, Children's Hospital of Nanjing Medical University, Nanjing, Jiangsu, China.

Department of Pediatric Surgery, First Affiliated Hospital of Bengbu Medical College, Bengbu, Anhui, China.

出版信息

Discov Oncol. 2024 May 18;15(1):174. doi: 10.1007/s12672-024-01039-4.

Abstract

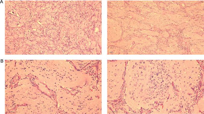
A boy aged 55 months was diagnosed with stage IV Neuroblastoma (NB) of the right adrenal gland 2 years ago. Preoperative chemotherapy was given and he was then treated with retroperitoneal tumor resection and lymph node dissection. After surgery, the children were transferred to the Hemato-Oncology Department for chemotherapy according to the high-risk group NB, with outpatient follow-up every 6 months. In the second postoperative year, abdominal computed tomography (CT) scan revealed a rounded hypodense area in the upper part of the right posterior lobe of the liver, with marked inhomogeneous enhancement in the venous phase after enhancement, which was surgically resected, and postoperative pathology confirmed inflammatory myofibroblastic tumor (IMT) of liver. The patient was not given any special treatment after surgery. In this study, whole transcriptome sequencing was performed on the postoperative specimen of adrenal NB and the specimen of IMT of liver. This unusual case emphasizes the need for close monitoring of second tumor development in NB survivors even in the absence of known predisposing factors.

摘要

一名55个月大的男孩于2年前被诊断为右肾上腺IV期神经母细胞瘤(NB)。术前进行了化疗,随后接受了腹膜后肿瘤切除术和淋巴结清扫术。术后,该患儿根据高危组NB被转至血液肿瘤科进行化疗,每6个月门诊随访一次。术后第二年,腹部计算机断层扫描(CT)显示肝脏右后叶上部有一个圆形低密度区,增强后静脉期有明显不均匀强化,手术切除后,术后病理证实为肝脏炎性肌纤维母细胞瘤(IMT)。术后未给予该患者任何特殊治疗。在本研究中,对肾上腺NB术后标本和肝脏IMT标本进行了全转录组测序。这个不寻常的病例强调,即使在没有已知易感因素的情况下,也需要密切监测NB幸存者的第二肿瘤发生情况。

https://cdn.ncbi.nlm.nih.gov/pmc/blobs/b3d2/11102410/700ec3590b69/12672_2024_1039_Fig1_HTML.jpg

文献AI研究员

20分钟写一篇综述,助力文献阅读效率提升50倍。

立即体验

用中文搜PubMed

大模型驱动的PubMed中文搜索引擎

马上搜索

文档翻译

学术文献翻译模型,支持多种主流文档格式。

立即体验