State Key Laboratory of Animal Biotech Breeding, College of Biological Sciences, China Agricultural University, Beijing, 100193, China.
College of Basic Medicine, Guizhou Medical University, Guiyang, Guizhou Province, 550025, China.
Cell Mol Life Sci. 2024 May 20;81(1):221. doi: 10.1007/s00018-024-05251-x.
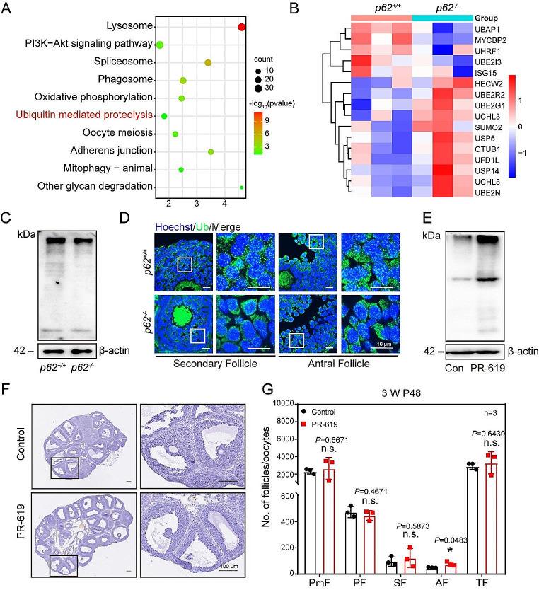
In females, the pathophysiological mechanism of poor ovarian response (POR) is not fully understood. Considering the expression level of p62 was significantly reduced in the granulosa cells (GCs) of POR patients, this study focused on identifying the role of the selective autophagy receptor p62 in conducting the effect of follicle-stimulating hormone (FSH) on antral follicles (AFs) formation in female mice. The results showed that p62 in GCs was FSH responsive and that its level increased to a peak and then decreased time-dependently either in ovaries or in GCs after gonadotropin induction in vivo. GC-specific deletion of p62 resulted in subfertility, a significantly reduced number of AFs and irregular estrous cycles, which were same as pathophysiological symptom of POR. By conducting mass spectrum analysis, we found the ubiquitination of proteins was decreased, and autophagic flux was blocked in GCs. Specifically, the level of nonubiquitinated Wilms tumor 1 homolog (WT1), a transcription factor and negative controller of GC differentiation, increased steadily. Co-IP results showed that p62 deletion increased the level of ubiquitin-specific peptidase 5 (USP5), which blocked the ubiquitination of WT1. Furthermore, a joint analysis of RNA-seq and the spatial transcriptome sequencing data showed the expression of steroid metabolic genes and FSH receptors pivotal for GCs differentiation decreased unanimously. Accordingly, the accumulation of WT1 in GCs deficient of p62 decreased steroid hormone levels and reduced FSH responsiveness, while the availability of p62 in GCs simultaneously ensured the degradation of WT1 through the ubiquitin‒proteasome system and autophagolysosomal system. Therefore, p62 in GCs participates in GC differentiation and AF formation in FSH induction by dynamically controlling the degradation of WT1. The findings of the study contributes to further study the pathology of POR.
在女性中,卵巢反应不良(POR)的病理生理机制尚未完全阐明。鉴于颗粒细胞(GCs)中 p62 的表达水平明显降低,本研究重点研究了选择性自噬受体 p62 在调节卵泡刺激素(FSH)对雌性小鼠腔前卵泡(AFs)形成的作用中的作用。结果表明,GCs 中的 p62 对 FSH 有反应,其水平在体内促性腺激素诱导后无论是在卵巢还是在 GC 中均呈时间依赖性增加至峰值,然后下降。GC 特异性缺失 p62 导致生育力下降,AFs 数量明显减少,动情周期不规则,这与 POR 的病理生理学症状相同。通过进行质谱分析,我们发现蛋白质的泛素化减少,GC 中的自噬通量受阻。具体而言,非泛素化的 Wilms 肿瘤 1 同源物(WT1)的水平持续稳定增加,WT1 是 GC 分化的转录因子和负调控因子。Co-IP 结果表明,p62 缺失增加了泛素特异性肽酶 5(USP5)的水平,USP5 阻断了 WT1 的泛素化。此外,RNA-seq 和空间转录组测序数据的联合分析表明,与 GC 分化至关重要的类固醇代谢基因和 FSH 受体的表达一致降低。因此,p62 在缺乏 p62 的 GC 中的积累减少了类固醇激素水平并降低了 FSH 反应性,而 p62 在 GC 中的可用性同时通过泛素-蛋白酶体系统和自噬溶酶体系统确保了 WT1 的降解。因此,GC 中的 p62 通过动态控制 WT1 的降解参与 FSH 诱导的 GC 分化和 AF 形成。该研究的发现有助于进一步研究 POR 的病理学。