• 文献检索
  • 文档翻译
  • 深度研究
  • 学术资讯
  • Suppr Zotero 插件Zotero 插件
  • 邀请有礼
  • 套餐&价格
  • 历史记录
应用&插件
Suppr Zotero 插件Zotero 插件浏览器插件Mac 客户端Windows 客户端微信小程序
定价
高级版会员购买积分包购买API积分包
服务
文献检索文档翻译深度研究API 文档MCP 服务
关于我们
关于 Suppr公司介绍联系我们用户协议隐私条款
关注我们

Suppr 超能文献

核心技术专利:CN118964589B侵权必究
粤ICP备2023148730 号-1Suppr @ 2026

文献检索

告别复杂PubMed语法,用中文像聊天一样搜索,搜遍4000万医学文献。AI智能推荐,让科研检索更轻松。

立即免费搜索

文件翻译

保留排版,准确专业,支持PDF/Word/PPT等文件格式,支持 12+语言互译。

免费翻译文档

深度研究

AI帮你快速写综述,25分钟生成高质量综述,智能提取关键信息,辅助科研写作。

立即免费体验

一名患有高血压、II型糖尿病及相关视网膜病变的中年患者发生自发性脉络膜上腔出血。

Spontaneous Expulsive Suprachoroidal Hemorrhage in a Middle-Aged Patient With Hypertension, Type II Diabetes, and Associated Retinopathy.

作者信息

Honzawa Koki, Horiguchi Hiroshi, Nakamura Masaki, Katagiri Satoshi, Gunji Hisato, Nakano Tadashi

机构信息

Department of Ophthalmology, The Jikei University School of Medicine, Tokyo, JPN.

出版信息

Cureus. 2024 Apr 19;16(4):e58579. doi: 10.7759/cureus.58579. eCollection 2024 Apr.

DOI:10.7759/cureus.58579
PMID:38765406
原文链接:https://pmc.ncbi.nlm.nih.gov/articles/PMC11102601/
Abstract

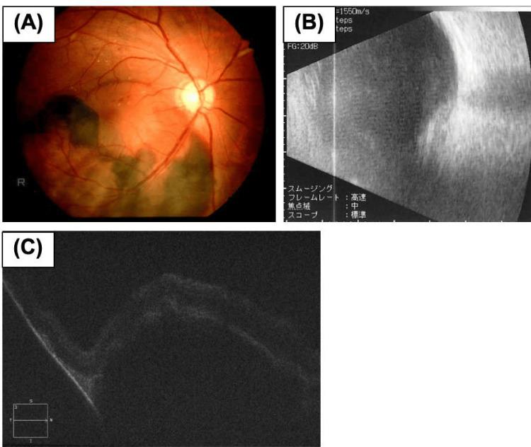
We report the clinical course of spontaneous expulsive suprachoroidal hemorrhage (SESCH) in a middle-aged man. A 50-year-old man with a history of uncontrolled hypertension and type II diabetes presented with massive preretinal hemorrhage in the posterior pole of the right eye (RE). Two weeks later, he presented with elevated intraocular pressure (IOP) and a nearly obliterated anterior chamber with coagulated blood behind the lens in the RE. We performed two rounds of surgery, including cataract surgery, vitrectomy, and sclerotomy. The choroidal detachment was clearly visible behind the posterior capsule during the cataract surgery. The surgical intervention successfully lowered the IOP and alleviated the pain. In rare cases of SESCH, maintaining awareness when patients show vulnerability in their choroidal vessels is of high importance.

摘要

我们报告了一名中年男性自发性脉络膜上腔出血(SESCH)的临床病程。一名有高血压控制不佳和II型糖尿病病史的50岁男性,右眼后极部出现大量视网膜前出血。两周后,他右眼眼压升高,前房几乎消失,晶状体后有凝血。我们进行了两轮手术,包括白内障手术、玻璃体切除术和巩膜切开术。白内障手术期间,后囊膜后可见明显的脉络膜脱离。手术干预成功降低了眼压并缓解了疼痛。在SESCH的罕见病例中,当患者脉络膜血管出现脆弱性时保持警惕非常重要。

https://cdn.ncbi.nlm.nih.gov/pmc/blobs/a977/11102601/da0067601de8/cureus-0016-00000058579-i02.jpg
https://cdn.ncbi.nlm.nih.gov/pmc/blobs/a977/11102601/88f121ee9c74/cureus-0016-00000058579-i01.jpg
https://cdn.ncbi.nlm.nih.gov/pmc/blobs/a977/11102601/da0067601de8/cureus-0016-00000058579-i02.jpg
https://cdn.ncbi.nlm.nih.gov/pmc/blobs/a977/11102601/88f121ee9c74/cureus-0016-00000058579-i01.jpg
https://cdn.ncbi.nlm.nih.gov/pmc/blobs/a977/11102601/da0067601de8/cureus-0016-00000058579-i02.jpg

相似文献

1
Spontaneous Expulsive Suprachoroidal Hemorrhage in a Middle-Aged Patient With Hypertension, Type II Diabetes, and Associated Retinopathy.一名患有高血压、II型糖尿病及相关视网膜病变的中年患者发生自发性脉络膜上腔出血。
Cureus. 2024 Apr 19;16(4):e58579. doi: 10.7759/cureus.58579. eCollection 2024 Apr.
2
Spontaneous Expulsive Suprachoroidal Hemorrhage.自发性脉络膜上腔出血性驱逐
Am J Emerg Med. 2023 Aug;70:210.e1-210.e3. doi: 10.1016/j.ajem.2023.06.008. Epub 2023 Jun 8.
3
Pseudomonas keratitis complicated with spontaneous expulsive suprachoroidal hemorrhage: A case report.绿脓杆菌角膜炎并发自发性驱逐性脉络膜上腔出血:病例报告。
Medicine (Baltimore). 2022 Feb 11;101(6):e28825. doi: 10.1097/MD.0000000000028825.
4
Spontaneous expulsive suprachoroidal haemorrhage in an asymptomatic elderly patient: a case report.一名无症状老年患者的自发性脉络膜上腔出血:病例报告
Int Ophthalmol. 2019 Jan;39(1):203-206. doi: 10.1007/s10792-017-0774-1. Epub 2017 Dec 2.
5
[Choroidal effusion and expulsive hemorrhage in penetrating interventions--lesson from 26 patients].[穿透性干预中的脉络膜积液和暴发性出血——来自26例患者的经验教训]
Klin Monbl Augenheilkd. 1993 Mar;202(3):224-37. doi: 10.1055/s-2008-1045587.
6
Intraocular Hemorrhage眼内出血
7
Globe Rupture Secondary to a Spontaneous Suprachoroidal Hemorrhage in a Blind Glaucomatous Eye: A Case Report.一例盲性青光眼眼中自发性脉络膜上腔出血继发眼球破裂:病例报告
J Curr Ophthalmol. 2023 Dec 21;35(2):199-202. doi: 10.4103/joco.joco_270_22. eCollection 2023 Apr-Jun.
8
Spontaneous expulsive suprachoroidal hemorrhage.自发性脉络膜上腔出血性驱逐
Cornea. 2001 Nov;20(8):893-6. doi: 10.1097/00003226-200111000-00025.
9
Spontaneous expulsive suprachoroidal hemorrhage caused by decompensated liver disease.代偿失调性肝病引起的自发性脉络膜上腔出血。
Indian J Ophthalmol. 2013 Feb;61(2):78-9. doi: 10.4103/0301-4738.107201.
10
Expulsive choroidal hemorrhage in rabbits. A histopathologic study.兔脉络膜出血性驱逐。一项组织病理学研究。
Arch Ophthalmol. 1989 Nov;107(11):1648-53. doi: 10.1001/archopht.1989.01070020726036.

本文引用的文献

1
Globe Rupture Secondary to a Spontaneous Suprachoroidal Hemorrhage in a Blind Glaucomatous Eye: A Case Report.一例盲性青光眼眼中自发性脉络膜上腔出血继发眼球破裂:病例报告
J Curr Ophthalmol. 2023 Dec 21;35(2):199-202. doi: 10.4103/joco.joco_270_22. eCollection 2023 Apr-Jun.
2
Massive Spontaneous Suprachoroidal Hemorrhage in a Patient With Type 1 Chronic Myeloid Leukemia and Lymphoplasmacytic Lymphoma: Case Report and Review of the Literature.1型慢性髓性白血病合并淋巴浆细胞性淋巴瘤患者的大量自发性脉络膜上腔出血:病例报告及文献复习
J Vitreoretin Dis. 2022 May 25;6(3):214-220. doi: 10.1177/24741264221074799. eCollection 2022 May-Jun.
3
Spontaneous suprachoroidal and orbital hemorrhage in an older woman associated with prophylactic antiplatelet therapy: A case report and literature review.
一名老年女性自发性脉络膜上腔和眼眶出血与预防性抗血小板治疗相关:病例报告及文献综述
Heliyon. 2022 Nov 11;8(11):e11511. doi: 10.1016/j.heliyon.2022.e11511. eCollection 2022 Nov.
4
Bilateral Spontaneous Suprachoroidal Hemorrhage after Systemic Tissue Plasminogen Activator.全身应用组织型纤溶酶原激活剂后双侧自发性脉络膜上腔出血
Ophthalmol Retina. 2022 Jun;6(6):519. doi: 10.1016/j.oret.2022.03.023.
5
Spontaneous suprachoroidal haemorrhage in haemophilia coincident with ChAdOx1 nCoV-19 vaccine.血友病患者自发性脉络膜上腔出血与ChAdOx1 nCoV-19疫苗接种同时发生。
Eur J Ophthalmol. 2023 Jul;33(4):NP59-NP61. doi: 10.1177/11206721221098207. Epub 2022 Apr 28.
6
Valsalva-Induced Spontaneous Suprachoroidal Hemorrhage: A Case Report and Review of the Literature.Valsalva 诱发自发性脉络膜上腔出血:病例报告及文献复习。
Klin Monbl Augenheilkd. 2022 Apr;239(4):559-564. doi: 10.1055/a-1785-4912. Epub 2022 Apr 26.
7
Pseudomonas keratitis complicated with spontaneous expulsive suprachoroidal hemorrhage: A case report.绿脓杆菌角膜炎并发自发性驱逐性脉络膜上腔出血:病例报告。
Medicine (Baltimore). 2022 Feb 11;101(6):e28825. doi: 10.1097/MD.0000000000028825.
8
Suprachoroidal haemhorrage and vortex vein varix: A potential association.脉络膜上腔出血和涡静脉瘤:一种潜在的关联。
Eur J Ophthalmol. 2022 Jan;32(1):NP130-NP133. doi: 10.1177/1120672120964033. Epub 2020 Nov 2.
9
Spontaneous suprachoroidal hemorrhage in a high myopia patient with rhegmatogenous retinal detachment: a case report and literature review.高度近视合并孔源性视网膜脱离患者的自发性脉络膜上腔出血:一例报告及文献复习
Biosci Rep. 2019 Jun 25;39(6). doi: 10.1042/BSR20181454. Print 2019 Jun 28.
10
Massive suprachoroidal hemorrhage: Surgical management and outcome.大量脉络膜上腔出血:手术治疗及预后
GMS Ophthalmol Cases. 2015 Oct 23;5:Doc10. doi: 10.3205/oc000032. eCollection 2015.