Suppr超能文献

罕见病原体:全膝关节置换术后木糖氧化无色杆菌感染

Uncommon Pathogen: Achromobacter xylosoxidans Infection Following Total Knee Arthroplasty.

作者信息

Ojha Mukund Madhav, Ansari Mohd Akhtar Ali, Janardhanan Ritvik, Kumar Vijay

机构信息

Department of Orthopaedic, AIIMS, New Delhi, India.

出版信息

J Orthop Case Rep. 2024 May;14(5):28-31. doi: 10.13107/jocr.2024.v14.i05.4422.

Abstract

INTRODUCTION

Achromobacter xylosoxidans is an uncommon opportunistic organism, mainly causing infection in immune-compromised hosts. A. xylosoxidans is a non-fermenting Gram-negative bacillus. Being closely associated with Alcaligenes species was also called A. xylosoxidans.

CASE REPORT

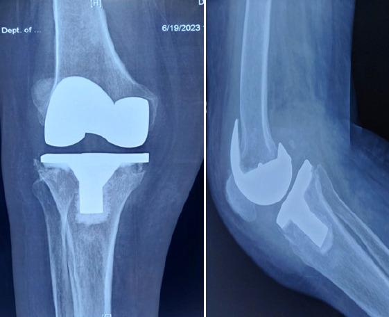
A few cases of periprosthetic infection by A. xylosoxidans have been reported outside India. A periprosthetic infection with A. xylosoxidans following a total knee arthroplasty is reported in a female.

CONCLUSION

A. xylosoxidans is a pathogen capable of causing prosthetic joint infection even in immunocompetent patients. Thorough debridement and appropriate antibiotic treatment is essential for the success of revision surgery.

摘要

引言

木糖氧化无色杆菌是一种不常见的机会致病菌,主要在免疫功能低下的宿主中引起感染。木糖氧化无色杆菌是一种非发酵革兰氏阴性杆菌。它与产碱杆菌属密切相关,也曾被称为木糖氧化无色杆菌。

病例报告

印度以外地区已报道了几例木糖氧化无色杆菌引起的假体周围感染病例。本文报道了一名女性在全膝关节置换术后发生木糖氧化无色杆菌假体周围感染的病例。

结论

木糖氧化无色杆菌是一种即使在免疫功能正常的患者中也能引起人工关节感染的病原体。彻底清创和适当的抗生素治疗对于翻修手术的成功至关重要。

https://cdn.ncbi.nlm.nih.gov/pmc/blobs/c28f/11111229/5595145bb769/JOCR-14-28-g001.jpg

文献AI研究员

20分钟写一篇综述,助力文献阅读效率提升50倍。

立即体验

用中文搜PubMed

大模型驱动的PubMed中文搜索引擎

马上搜索

文档翻译

学术文献翻译模型,支持多种主流文档格式。

立即体验