Suppr超能文献

TLR-2 在致命性 COVID-19 疾病中的作用:涉及微血栓形成机制中的骨髓和肺固有巨核细胞上调。

The Role of TLR-2 in Lethal COVID-19 Disease Involving Medullary and Resident Lung Megakaryocyte Up-Regulation in the Microthrombosis Mechanism.

机构信息

Department of Clinical and Experimental Medicine, University of Foggia, Viale L.Pinto 1, 71122 Foggia, Italy.

Department of Medical and Surgical Sciences, University of Foggia, Viale L.Pinto 1, 71122 Foggia, Italy.

出版信息

Cells. 2024 May 17;13(10):854. doi: 10.3390/cells13100854.

Abstract

UNLABELLED

Patients with COVID-19 have coagulation and platelet disorders, with platelet alterations and thrombocytopenia representing negative prognostic parameters associated with severe forms of the disease and increased lethality.

METHODS

The aim of this study was to study the expression of platelet glycoprotein IIIa (CD61), playing a critical role in platelet aggregation, together with TRL-2 as a marker of innate immune activation.

RESULTS

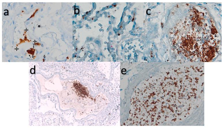
A total of 25 patients were investigated, with the majority (24/25, 96%) having co-morbidities and dying from a fatal form of SARS-CoV-2(+) infection (COVID-19+), with 13 men and 12 females ranging in age from 45 to 80 years. When compared to a control group of SARS-CoV-2 (-) negative lungs (COVID-19-), TLR-2 expression was up-regulated in a subset of patients with deadly COVID-19 fatal lung illness. The proportion of Spike-1 (+) patients found by PCR and ISH correlates to the proportion of Spike-S1-positive cases as detected by digital pathology examination. Furthermore, CD61 expression was considerably higher in the lungs of deceased patients. In conclusion, we demonstrate that innate immune prolonged hyperactivation is related to platelet/megakaryocyte over-expression in the lung.

CONCLUSIONS

Microthrombosis in deadly COVID-19+ lung disease is associated with an increase in the number of CD61+ platelets and megakaryocytes in the pulmonary interstitium, as well as their functional activation; this phenomenon is associated with increased expression of innate immunity TLR2+ cells, which binds the SARS-CoV-2 E protein, and significantly with the persistence of the Spike-S1 viral sequence.

摘要

目的

本研究旨在研究血小板糖蛋白 IIIa(CD61)的表达,该蛋白在血小板聚集中起关键作用,以及 TRL-2 作为固有免疫激活的标志物。

结果

共研究了 25 例患者,其中大多数(24/25,96%)患有合并症,并死于致命形式的 SARS-CoV-2(+)感染(COVID-19+),男性 13 例,女性 12 例,年龄 45 至 80 岁。与 SARS-CoV-2(-)阴性肺(COVID-19-)的对照组相比,TLR-2 在一组致死性 COVID-19 致命性肺病患者中呈上调表达。通过 PCR 和ISH 发现的 Spike-1(+)患者的比例与通过数字病理学检查检测到的 Spike-S1 阳性病例的比例相关。此外,死亡患者的 CD61 表达明显更高。总之,我们证明固有免疫的持续过度激活与肺部血小板/巨核细胞表达增加有关。

结论

致命性 COVID-19+肺部疾病中的微血栓形成与肺间质中 CD61+血小板和巨核细胞数量的增加以及它们的功能激活有关;这种现象与固有免疫 TLR2+细胞的表达增加有关,该细胞与 SARS-CoV-2 E 蛋白结合,并且与 Spike-S1 病毒序列的持续存在显著相关。

https://cdn.ncbi.nlm.nih.gov/pmc/blobs/949a/11120208/6a882d47d7f3/cells-13-00854-g001.jpg

文献AI研究员

20分钟写一篇综述,助力文献阅读效率提升50倍。

立即体验

用中文搜PubMed

大模型驱动的PubMed中文搜索引擎

马上搜索

文档翻译

学术文献翻译模型,支持多种主流文档格式。

立即体验