Unit of Oral and Maxillofacial Surgery, Ca' Foncello Hospital, Piazzale Ospedale, 1, 31100 Treviso, Italy.
Medicina (Kaunas). 2024 May 16;60(5):822. doi: 10.3390/medicina60050822.
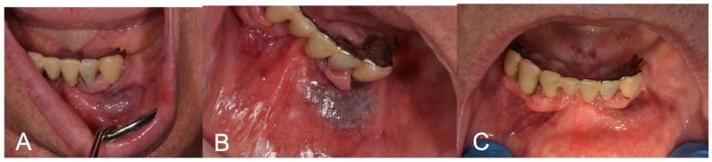
: Low-flow vascular lesions are commonly encountered in the oral cavity and may require removal due to aesthetic concerns, repeated bleeding or a cluttering sensation. Laser devices represent an excellent aid due to their affinity with blood and to their biostimulating properties and have been substituting traditional excision in selected cases. : In this study, 30 patients presenting with low-flow oral vascular lesions were included. The lesions were clinically evaluated as follows: lesion's site, reason for treatment, lesion's dimensions, confirmation of positive diascopy via compression with a glass slide and photograph. The lesions were treated with laser forced dehydration (LFD) and then followed-up after 3 weeks, 6 months and 1 year. The laser source was a K-Laser Blu Derma (Eltech, K-Laser S.r.l., Via Castagnole, 20/H, Treviso, Italy). In the case of incomplete healing, a further protocol was performed at the three-week follow-up, and a further follow-up was scheduled for three weeks after. The following aspects were evaluated at each appointment: pain, using a Numeric Rating Scale (NRS) from 0 to 10 (0 = no pain, 10 = worst pain ever); the need to take painkillers (day of intervention and during follow-up); bleeding (yes/no); scar formation. : Complete regression was obtained in all patients, with no side effects. Only one patient required a second LFD protocol. NRS was 0 for all patients for the whole duration of the follow-up. None of the patients took painkillers on the day of the intervention and during the follow-up. One patient declared slight bleeding the day of the intervention, which she easily managed at home. One patient showed a small non-retracting and non-painful scar at the three-week follow-up. No recurrences were found after six months and one year. : LFD targets endogenous chromophores, minimizing damage to adjacent tissue and limiting side effects. LFD is effective and could be considered a conservative alternative to traditional excision in low-flow lesions.
: 口腔中常见低流量血管病变,由于美观问题、反复出血或阻塞感,可能需要切除。激光设备因其对血液的亲和力以及生物刺激特性,成为一种极好的辅助手段,在某些情况下已替代传统切除术。: 本研究纳入 30 例口腔低流量血管病变患者。病变的临床评估如下:病变部位、治疗原因、病变尺寸、通过用载玻片压迫进行阳性透照确认,以及拍照。使用激光强制脱水(LFD)治疗病变,然后在 3 周、6 个月和 1 年时进行随访。激光源为 K-Laser Blu Derma(Eltech,K-Laser S.r.l.,Via Castagnole,20/H,特雷维索,意大利)。如果未完全愈合,则在 3 周随访时进行进一步的方案,然后在 3 周后再次进行随访。每次就诊时评估以下方面:疼痛,使用 0 到 10 的数字评分量表(NRS)(0 = 无痛,10 = 最痛);止痛药的需求(干预日和随访期间);出血(是/否);瘢痕形成。: 所有患者均获得完全消退,无副作用。仅 1 例患者需要进行第二次 LFD 方案。所有患者在整个随访期间 NRS 均为 0。无患者在干预日和随访期间服用止痛药。1 例患者在干预日出现轻微出血,在家中轻松处理。1 例患者在 3 周随访时出现小的非收缩性、无痛性瘢痕。6 个月和 1 年后未发现复发。: LFD 靶向内源性色团,最大限度地减少对相邻组织的损伤并限制副作用。LFD 有效,可被视为低流量病变传统切除术的保守替代方案。