Suppr超能文献

影响活体供者右半肝切除术后肝脏再生速率的临床因素

Clinical Factors Affecting the Rate of Liver Regeneration in Living Donors after Right Hepatectomy.

作者信息

Kim Minkyoung, Suh Suk-Won, Lee Eun Sun, Suh Sanggyun, Lee Seung Eun, Choi Yoo Shin

机构信息

Department of Surgery, College of Medicine, Chung-Ang University, Seoul 156-755, Republic of Korea.

Department of Radiology, College of Medicine, Chung-Ang University, Seoul 156-755, Republic of Korea.

出版信息

J Pers Med. 2024 Apr 26;14(5):458. doi: 10.3390/jpm14050458.

Abstract

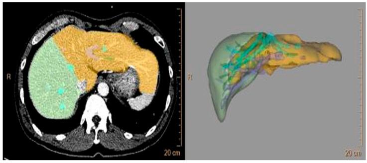
Sufficient liver regeneration after a right hepatectomy is important in living donors for preventing postoperative hepatic insufficiency; however, it differs for each living donor so we investigated the clinical factors affecting the rate of liver regeneration after hepatic resection. This retrospective case-control study investigated fifty-four living donors who underwent a right hepatectomy from July 2015 to March 2023. Patients were classified into 2 groups by the remnant/total volume ratio (RTVR): Group A (RTVR < 30%, n = 9) and Group B (RTVR ≥ 30%, n = 45). The peak postoperative level of total bilirubin was more elevated in Group A than in Group B (3.0 ± 1.1 mg/dL vs. 2.3 ± 0.8 mg/dL, = 0.046); however, no patients had hepatic insufficiency or major complications. The rates of residual liver volume (RLV) growth at Postoperative Week 1 (89.1 ± 26.2% vs. 53.5 ± 23.7%, < 0.001) were significantly greater in Group A, and its significant predictors were RTVR (β = -0.478, < 0.001, variance inflation factor (VIF) = 1.188) and intraoperative blood loss (β = 0.247, = 0.038, VIF = 1.182). In conclusion, as the RLV decreases, compensatory liver regeneration after hepatic resection becomes more prominent, resulting in comparable operative outcomes. Further studies are required to investigate the relationship between hematopoiesis and the rate of liver regeneration.

摘要

对于活体供肝者而言,右半肝切除术后充分的肝脏再生对于预防术后肝功能不全至关重要;然而,每个活体供肝者的情况有所不同,因此我们研究了影响肝切除术后肝脏再生率的临床因素。这项回顾性病例对照研究纳入了2015年7月至2023年3月期间接受右半肝切除术的54名活体供肝者。根据残余/总体积比(RTVR)将患者分为两组:A组(RTVR < 30%,n = 9)和B组(RTVR≥30%,n = 45)。A组术后总胆红素峰值高于B组(3.0±1.1mg/dL对2.3±0.8mg/dL,P = 0.046);然而,没有患者出现肝功能不全或严重并发症。A组术后第1周残余肝体积(RLV)增长率(89.1±26.2%对53.5±23.7%,P < 0.001)显著更高,其显著预测因素为RTVR(β = -0.478,P < 0.001,方差膨胀因子(VIF)= 1.188)和术中失血量(β = 0.247,P = 0.038,VIF = 1.182)。总之,随着RLV降低,肝切除术后代偿性肝脏再生更为显著,从而使手术结局相当。需要进一步研究来探讨造血与肝脏再生率之间的关系。

https://cdn.ncbi.nlm.nih.gov/pmc/blobs/7aa1/11122560/29b732115bdc/jpm-14-00458-g001.jpg

文献检索

告别复杂PubMed语法,用中文像聊天一样搜索,搜遍4000万医学文献。AI智能推荐,让科研检索更轻松。

立即免费搜索

文件翻译

保留排版,准确专业,支持PDF/Word/PPT等文件格式,支持 12+语言互译。

免费翻译文档

深度研究

AI帮你快速写综述,25分钟生成高质量综述,智能提取关键信息,辅助科研写作。

立即免费体验