Suppr超能文献

表现为小肠梗阻的可卡因诱发的慢性肠缺血

Cocaine-Induced Chronic Bowel Ischemia Manifesting As Small Bowel Obstruction.

作者信息

Perysinakis Iraklis, Saridakis Georgios, Giannarakis Miltiadis, Kritikou Georgia, de Bree Eelco

机构信息

Department of Surgical Oncology, University Hospital of Heraklion, Heraklion, GRC.

Department of Gastroenterology, University Hospital of Heraklion, Heraklion, GRC.

出版信息

Cureus. 2024 Apr 24;16(4):e58964. doi: 10.7759/cureus.58964. eCollection 2024 Apr.

Abstract

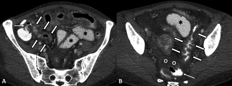
Cocaine represents one of the most frequently used recreational drugs worldwide. Cocaine-related disorders mostly affect the nervous and cardiovascular system, although gastrointestinal complications are not negligible and sometimes life-threatening. The most common gastrointestinal manifestations of cocaine abuse are ulceration, infarction, perforation, ischemic enterocolitis, and rarely hemorrhage, with mesenteric ischemia being the underlying pathophysiological mechanism. Herein, we report a rare case of cocaine-induced small bowel obstruction in a young female patient, caused by chronic mesenteric ischemia and excessive intestinal wall fibrosis.

摘要

可卡因是全球最常用的消遣性毒品之一。与可卡因相关的疾病主要影响神经和心血管系统,尽管胃肠道并发症也不容忽视,有时甚至会危及生命。可卡因滥用最常见的胃肠道表现是溃疡、梗死、穿孔、缺血性小肠结肠炎,很少有出血情况,肠系膜缺血是潜在的病理生理机制。在此,我们报告一例年轻女性患者罕见的可卡因诱发的小肠梗阻病例,其病因是慢性肠系膜缺血和肠壁过度纤维化。

https://cdn.ncbi.nlm.nih.gov/pmc/blobs/649e/11126889/a17c2d395b24/cureus-0016-00000058964-i01.jpg

文献AI研究员

20分钟写一篇综述,助力文献阅读效率提升50倍。

立即体验

用中文搜PubMed

大模型驱动的PubMed中文搜索引擎

马上搜索

文档翻译

学术文献翻译模型,支持多种主流文档格式。

立即体验