Suppr超能文献

抗反流黏膜切除术治疗胃食管反流病:疗效及作用机制

Antireflux mucosectomy for gastroesophageal reflux disease: efficacy and the mechanism of action.

作者信息

Kuipers Thijs, Oude Nijhuis Renske A B, Pouw Roos E, Bredenoord Albert J

机构信息

Gastroenterology and Hepatology, Amsterdam UMC Location AMC, Amsterdam, Netherlands.

Gastroenterology, Amsterdam Gastroenterology Endocrinology Metabolism, Amsterdam, Netherlands.

出版信息

Endoscopy. 2024 Dec;56(12):897-905. doi: 10.1055/a-2333-5232. Epub 2024 May 27.

Abstract

BACKGROUND

Previous studies suggested that antireflux mucosectomy (ARMS) is effective in reducing reflux symptoms and total acid exposure, although the mechanism is unknown. Our objective was to investigate the effect of ARMS on reflux parameters and its mechanism of action.

METHODS

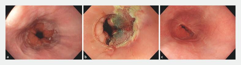
Gastroesophageal reflux disease (GERD) patients with insufficient symptom control despite a twice-daily proton pump inhibitor (PPI) underwent a piecemeal multiband mucosectomy of 50% of the circumference of the esophagogastric junction (EGJ), extending 2 cm into the cardia. The primary end point was the total number of reflux episodes during 24-hour pH-impedance studies.

RESULTS

11 patients (8 men; median age 37 [interquartile range (IQR) 32-57] years) were treated, with one patient subsequently lost to follow-up. ARMS reduced the median (IQR) number of total reflux episodes (74 [60-82] vs. 37 [28-66]; P = 0.008) and total acid exposure time (8.7% [6.4%-12.7%] vs. 5.3% [3.5%-6.7%]; P = 0.03). Treatment reduced the median (IQR) number of transient lower esophageal sphincter relaxations (TLESRs) during a 90-minute postprandial period (4 [1-8] vs. 2 [1-4]; P = 0.03) and reflux symptom scores (3.6 [3.6-3.9] vs. 1.6 [0.7-2.7]; = 0.005). Treatment did not increase the mean (SD) dysphagia scores (8.2 [7.3] vs. 8.5 [6.5]) or change the EGJ distensibility on impedance planimetry (4.4 [2.1] vs. 4.3 [2.2] mm2/mmHg). One delayed post-procedural bleed requiring repeat endoscopy occurred (10%); no strictures developed.

CONCLUSION

ARMS is an effective treatment option in PPI-refractory GERD, reducing acid exposure, reflux episodes, and symptoms. While its working mechanism could not be explained by a difference in distensibility, a reduction in TLESRs might play a role.

摘要

背景

既往研究表明,抗反流黏膜切除术(ARMS)在减轻反流症状和降低总酸暴露方面有效,但其机制尚不清楚。我们的目的是研究ARMS对反流参数的影响及其作用机制。

方法

尽管每天服用两次质子泵抑制剂(PPI),但症状控制不佳的胃食管反流病(GERD)患者接受了食管胃交界部(EGJ)周长50%的逐段多环黏膜切除术,向贲门延伸2 cm。主要终点是24小时pH阻抗监测期间反流发作的总数。

结果

治疗了11例患者(8例男性;中位年龄37岁[四分位间距(IQR)32 - 57岁]),1例患者随后失访。ARMS降低了总反流发作的中位数(IQR)(74次[60 - 82次]对37次[28 - 66次];P = 0.008)和总酸暴露时间(8.7%[6.4% - 12.7%]对5.3%[3.5% - 6.7%];P = 0.03)。治疗降低了餐后90分钟内食管下括约肌短暂松弛(TLESRs)的中位数(IQR)(4次[1 - 8次]对2次[1 - 4次];P = 0.03)和反流症状评分(3.6分[3.6 - 3.9分]对1.6分[0.7 - 2.7分];P = 0.005)。治疗未增加平均(标准差)吞咽困难评分(8.2分[7.3分]对8.5分[6.5分]),也未改变阻抗平面测量法测得的EGJ扩张性(4.4 mm²/mmHg[2.1]对4.3 mm²/mmHg[2.2])。发生1例术后延迟出血,需再次内镜检查(10%);未出现狭窄。

结论

ARMS是治疗PPI难治性GERD的有效选择,可减少酸暴露、反流发作和症状。虽然其作用机制不能用扩张性差异来解释,但TLESRs的减少可能起了作用。

https://cdn.ncbi.nlm.nih.gov/pmc/blobs/7364/11716543/144178f50bf6/10-1055-a-2333-5232_23504459.jpg

文献检索

告别复杂PubMed语法,用中文像聊天一样搜索,搜遍4000万医学文献。AI智能推荐,让科研检索更轻松。

立即免费搜索

文件翻译

保留排版,准确专业,支持PDF/Word/PPT等文件格式,支持 12+语言互译。

免费翻译文档

深度研究

AI帮你快速写综述,25分钟生成高质量综述,智能提取关键信息,辅助科研写作。

立即免费体验