Suppr超能文献

对一种从 palate 采集结缔组织移植物的新型去上皮化方法的组织学评估。尸体实验研究。

Histological assessment of a novel de-epithelialization method for connective tissue grafts harvested from the palate. An experimental study in cadavers.

机构信息

Dental and Maxillofacial Institute. Hospital Universitari Sagrat Cor, Grupo Quirónsalud, Barcelona, Spain.

Department of Oral Surgery and Implantology, Faculty of Medicine and Health Sciences, University of Barcelona, C/ Feixa Llarga S/N; Pavelló Govern, 2a Planta, Despatx 2.9, L'Hospitalet de Llobregat, 08907, Barcelona, Spain.

出版信息

Clin Oral Investig. 2024 May 28;28(6):343. doi: 10.1007/s00784-024-05734-y.

Abstract

OBJECTIVES

This study aims to compare the histological outcomes of three distinct de-epithelialization methods used in (connective tissue grafts) CTG harvested from the palate.

MATERIALS AND METHODS

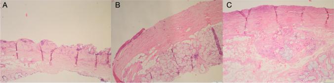
An experimental study using nine cadaver head specimens was carried out to compare 3 different de-epithelialization techniques for CTG. Eighteen samples were randomly allocated to three study groups: bone scraper, diamond bur and extraoral removal with a scalpel. The main outcome variable was the graft surface percentage without epithelium remains. Additionally, the time employed, and the graft thickness were also measured.

RESULTS

Sixteen CTGs were analyzed. The extraoral scalpel group presented a total surface area with no epithelium of 58.84% (22.68) and a mean de-epithelialization time of 3.7 min; the intraoral diamond bur group had 88.24% (41.3) of the surface with no epithelium and took 1.455 min, and the intraoral bone scraper showed 97.98% (5.99) of surface without epithelium and a mean time of 0.815 min (P < 0.05). Histological analysis showed significant differences between the bone scraper and the extraoral group (P = 0.009).

CONCLUSION

The de-epithelialization technique with a bone scraper seems to be the most effective and fastest de-epithelialization technique for CTG. These findings need to be confirmed in future clinical studies with larger samples.

CLINICAL RELEVANCE

The use of bone scrapers, could be a simple, effective and fast technique to de-epithelialize connective tissue grafts harvested from the palatal area for both novice and experienced surgeons.

摘要

目的

本研究旨在比较三种不同的去上皮化方法在(结缔组织移植物)CTG 取自 palate 时的组织学结果。

材料和方法

一项使用九个尸体头颅标本的实验研究用于比较三种不同的 CTG 去上皮化技术。将 18 个样本随机分配到三组研究中:骨刮刀、钻石 bur 和手术刀外切除。主要观察变量是无上皮残留的移植物表面百分比。此外,还测量了时间和移植物厚度。

结果

分析了 16 个 CTG。外手术刀组的总上皮面积为 58.84%(22.68),无上皮去上皮化时间为 3.7 分钟;口腔内钻石 bur 组的上皮面积为 88.24%(41.3),用时 1.455 分钟,口腔内骨刮刀显示 97.98%(5.99)的表面无上皮,平均时间为 0.815 分钟(P<0.05)。组织学分析显示骨刮刀和外切组之间有显著差异(P=0.009)。

结论

骨刮刀去上皮化技术似乎是 CTG 最有效和最快的去上皮化技术。这些发现需要在未来更大样本的临床研究中得到证实。

临床意义

骨刮刀的使用可能是一种简单、有效、快速的技术,可用于去上皮化 palatal 区域采集的结缔组织移植物,适用于新手和有经验的外科医生。

https://cdn.ncbi.nlm.nih.gov/pmc/blobs/36ee/11129995/96584a721e0b/784_2024_5734_Fig1_HTML.jpg

文献AI研究员

20分钟写一篇综述,助力文献阅读效率提升50倍。

立即体验

用中文搜PubMed

大模型驱动的PubMed中文搜索引擎

马上搜索

文档翻译

学术文献翻译模型,支持多种主流文档格式。

立即体验