• 文献检索
  • 文档翻译
  • 深度研究
  • 学术资讯
  • Suppr Zotero 插件Zotero 插件
  • 邀请有礼
  • 套餐&价格
  • 历史记录
应用&插件
Suppr Zotero 插件Zotero 插件浏览器插件Mac 客户端Windows 客户端微信小程序
定价
高级版会员购买积分包购买API积分包
服务
文献检索文档翻译深度研究API 文档MCP 服务
关于我们
关于 Suppr公司介绍联系我们用户协议隐私条款
关注我们

Suppr 超能文献

核心技术专利:CN118964589B侵权必究
粤ICP备2023148730 号-1Suppr @ 2026

文献检索

告别复杂PubMed语法,用中文像聊天一样搜索,搜遍4000万医学文献。AI智能推荐,让科研检索更轻松。

立即免费搜索

文件翻译

保留排版,准确专业,支持PDF/Word/PPT等文件格式,支持 12+语言互译。

免费翻译文档

深度研究

AI帮你快速写综述,25分钟生成高质量综述,智能提取关键信息,辅助科研写作。

立即免费体验

诊断性腹腔镜检查时皮肤纹身墨水作为子宫内膜异位症样病变的模拟物

Cutaneous Tattoo Ink as a Mimicker of Endometriosis-Like Lesions on Diagnostic Laparoscopy.

作者信息

Tannous Andrew M, Bastow Brittney D

机构信息

Obstetrics and Gynecology, Saint Joseph Hospital, Denver, USA.

Obstetrics and Gynecology, Kaiser Permanente, Denver, USA.

出版信息

Cureus. 2024 Apr 28;16(4):e59212. doi: 10.7759/cureus.59212. eCollection 2024 Apr.

DOI:10.7759/cureus.59212
PMID:38807789
原文链接:https://pmc.ncbi.nlm.nih.gov/articles/PMC11131970/
Abstract

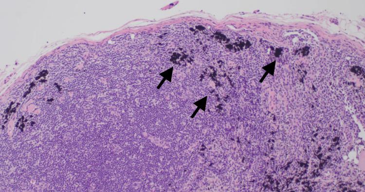
This paper presents the case of a 28-year-old with a history of chronic pelvic pain suspicious of endometriosis. She underwent a diagnostic laparoscopy and biopsy of lesions along the posterior cul-de-sac and right sidewall near the external iliac artery. Histopathological examination revealed no evidence of endometriosis but did comment on benign lymph node tissue with tattoo-like pigment. These findings correspond to the patient's tattoos located along the lower extremities. It is suspected there was cutaneous tattoo ink migration causing intra-abdominal lymphadenopathy, which visually mimicked endometriosis on diagnostic laparoscopy. Surgeons should become familiar with and recognize this phenomenon, as it can be misleading in the setting of endometriosis and diagnostic laparoscopy. Surgeons undertaking these cases must be able to identify and safely excise abnormal-appearing lesions in many different locations to prevent a missed or delayed diagnosis of endometriosis.

摘要

本文介绍了一名28岁有慢性盆腔疼痛病史、怀疑患有子宫内膜异位症的患者。她接受了诊断性腹腔镜检查,并对后穹窿和靠近髂外动脉的右侧壁病变进行了活检。组织病理学检查未发现子宫内膜异位症的证据,但提到了有纹身样色素沉着的良性淋巴结组织。这些发现与患者下肢的纹身相对应。怀疑是皮肤纹身墨水迁移导致腹腔内淋巴结病,在诊断性腹腔镜检查中在视觉上模仿了子宫内膜异位症。外科医生应熟悉并认识到这种现象,因为它在子宫内膜异位症和诊断性腹腔镜检查中可能会产生误导。处理这些病例的外科医生必须能够识别并安全切除许多不同部位外观异常的病变,以防止子宫内膜异位症的漏诊或延迟诊断。

https://cdn.ncbi.nlm.nih.gov/pmc/blobs/e8cb/11131970/c06913260b00/cureus-0016-00000059212-i03.jpg
https://cdn.ncbi.nlm.nih.gov/pmc/blobs/e8cb/11131970/3fd18081b8e3/cureus-0016-00000059212-i01.jpg
https://cdn.ncbi.nlm.nih.gov/pmc/blobs/e8cb/11131970/a784211eefa9/cureus-0016-00000059212-i02.jpg
https://cdn.ncbi.nlm.nih.gov/pmc/blobs/e8cb/11131970/c06913260b00/cureus-0016-00000059212-i03.jpg
https://cdn.ncbi.nlm.nih.gov/pmc/blobs/e8cb/11131970/3fd18081b8e3/cureus-0016-00000059212-i01.jpg
https://cdn.ncbi.nlm.nih.gov/pmc/blobs/e8cb/11131970/a784211eefa9/cureus-0016-00000059212-i02.jpg
https://cdn.ncbi.nlm.nih.gov/pmc/blobs/e8cb/11131970/c06913260b00/cureus-0016-00000059212-i03.jpg

相似文献

1
Cutaneous Tattoo Ink as a Mimicker of Endometriosis-Like Lesions on Diagnostic Laparoscopy.诊断性腹腔镜检查时皮肤纹身墨水作为子宫内膜异位症样病变的模拟物
Cureus. 2024 Apr 28;16(4):e59212. doi: 10.7759/cureus.59212. eCollection 2024 Apr.
2
Flat Warts (Verrucae Planae) Confined to the Pigment of a Tattoo: A Rare Tattoo-associated Complication.局限于纹身色素的扁平疣(平状寻常疣):一种罕见的与纹身相关的并发症。
Acta Dermatovenerol Croat. 2023 Nov;31(2):112-114.
3
Peritoneal Retraction Pocket Defects and Their Important Relationship with Pelvic Pain and Endometriosis.腹膜退缩袋缺陷及其与盆腔痛和子宫内膜异位症的重要关系。
J Minim Invasive Gynecol. 2021 Feb;28(2):168-169. doi: 10.1016/j.jmig.2020.05.020. Epub 2020 May 28.
4
Colonoscopic tattoo dye spillage mimics endometriosis on laparoscopy.结肠镜检查时纹身染料外溢在腹腔镜检查中酷似子宫内膜异位症。
J Minim Invasive Gynecol. 2014 Jul-Aug;21(4):704-7. doi: 10.1016/j.jmig.2014.01.017. Epub 2014 Jan 25.
5
Surgical Management of Superficial Peritoneal Adolescent Endometriosis.浅表性腹膜青少年子宫内膜异位症的手术治疗
J Pediatr Adolesc Gynecol. 2019 Jun;32(3):339-341. doi: 10.1016/j.jpag.2019.01.005. Epub 2019 Jan 29.
6
Intraperitoneal India ink deposits appearing as endometriosis in a patient with chronic pelvic pain.在一名慢性盆腔疼痛患者中,腹腔内印度墨水沉积物表现为子宫内膜异位症。
Obstet Gynecol. 2008 Aug;112(2 Pt 2):448-50. doi: 10.1097/AOG.0b013e31816c484e.
7
Indocyanine Green-Assisted Retrograde Ureterolysis in Robotic Transvaginal NOTES for the Management of Stage IV Endometriosis with Obliterated Cul-de-sac.吲哚菁绿辅助逆行输尿管松解术在机器人经阴道NOTES治疗Ⅳ期子宫后陷凹闭塞型子宫内膜异位症中的应用
J Minim Invasive Gynecol. 2023 Apr;30(4):266-267. doi: 10.1016/j.jmig.2023.02.005. Epub 2023 Feb 9.
8
Distribution of Tattoo Pigment in Lymph Nodes Dissected for Gynecological Malignancy.妇科恶性肿瘤手术切除淋巴结中纹身色素的分布情况。
Int J Surg Pathol. 2019 Oct;27(7):773-777. doi: 10.1177/1066896919846395. Epub 2019 May 2.
9
Endometriosis of the posterior cul-de-sac: clinical presentation and findings at transvaginal ultrasound.阴道后穹窿子宫内膜异位症:临床表现及经阴道超声检查结果
AJR Am J Roentgenol. 2009 Jun;192(6):1618-24. doi: 10.2214/AJR.08.1807.
10
Rectovaginal Splenosis: An Unexpected Cause of Dyspareunia Approached by Laparoscopy.直肠阴道脾种植症:腹腔镜检查发现的导致性交困难的意外病因
J Minim Invasive Gynecol. 2017 Jul-Aug;24(5):715-716. doi: 10.1016/j.jmig.2016.12.006. Epub 2016 Dec 19.

本文引用的文献

1
Tattoo pigment mimicking axillary lymph node calcifications on mammography.乳腺钼靶检查中类似腋窝淋巴结钙化的纹身色素。
Radiol Case Rep. 2020 Jun 9;15(8):1194-1196. doi: 10.1016/j.radcr.2020.05.014. eCollection 2020 Aug.
2
Distribution of Tattoo Pigment in Lymph Nodes Dissected for Gynecological Malignancy.妇科恶性肿瘤手术切除淋巴结中纹身色素的分布情况。
Int J Surg Pathol. 2019 Oct;27(7):773-777. doi: 10.1177/1066896919846395. Epub 2019 May 2.
3
What Is the Color of Your Lymph Node?你的淋巴结是什么颜色的?
Plast Reconstr Surg Glob Open. 2018 Dec 13;6(12):e1990. doi: 10.1097/GOX.0000000000001990. eCollection 2018 Dec.
4
Clinical diagnosis of endometriosis: a call to action.子宫内膜异位症的临床诊断:行动呼吁。
Am J Obstet Gynecol. 2019 Apr;220(4):354.e1-354.e12. doi: 10.1016/j.ajog.2018.12.039. Epub 2019 Jan 6.
5
A new high-throughput method to make a quality control on tattoo inks.一种用于纹身墨水质量控制的高通量新方法。
Spectrochim Acta A Mol Biomol Spectrosc. 2019 Jan 5;206:547-551. doi: 10.1016/j.saa.2018.08.037. Epub 2018 Aug 21.
6
Endometriosis: Epidemiology, Diagnosis and Clinical Management.子宫内膜异位症:流行病学、诊断与临床管理
Curr Obstet Gynecol Rep. 2017 Mar;6(1):34-41. doi: 10.1007/s13669-017-0187-1. Epub 2017 Jan 27.
7
Synchrotron-based ν-XRF mapping and μ-FTIR microscopy enable to look into the fate and effects of tattoo pigments in human skin.基于同步加速器的 ν-XRF 成像和 μ-FTIR 显微镜可用于观察纹身颜料在人体皮肤中的命运和影响。
Sci Rep. 2017 Sep 12;7(1):11395. doi: 10.1038/s41598-017-11721-z.
8
The importance of tattoo pigment in sentinel lymph nodes.纹身色素在前哨淋巴结中的重要性。
Breast Dis. 2017;37(2):73-76. doi: 10.3233/BD-170282.
9
Epidemiology of tattoos in industrialized countries.工业化国家纹身的流行病学。
Curr Probl Dermatol. 2015;48:6-20. doi: 10.1159/000369175. Epub 2015 Mar 26.
10
Colonoscopic tattoo dye spillage mimics endometriosis on laparoscopy.结肠镜检查时纹身染料外溢在腹腔镜检查中酷似子宫内膜异位症。
J Minim Invasive Gynecol. 2014 Jul-Aug;21(4):704-7. doi: 10.1016/j.jmig.2014.01.017. Epub 2014 Jan 25.