Department of Dentistry, Oral and Maxillofacial Surgery, Clinical Center, Medical School, University of Pécs, Pécs, Hungary.
Department of Medical Genetics, Clinical Center, Medical School, University of Pécs, Pécs, Hungary.
Pathol Oncol Res. 2024 May 14;30:1611768. doi: 10.3389/pore.2024.1611768. eCollection 2024.
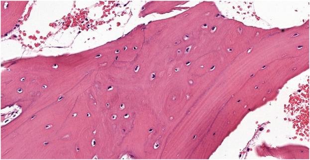
Gardner syndrome is a rare genetic cancer predisposition disorder characterized by intestinal polyposis, multiple osteomas, and soft and hard tissue tumors. Dental anomalies are present in approximately 30%-70% of patients with Gardner syndrome and can be discovered during routine dental examinations. However, sometimes the diagnosis is challenging due to the high clinical variability and incomplete clinical picture. Herein, we report a family with various dental and bone anomalies, in which the definitive diagnosis was established with the help of a comprehensive genetic analysis based on state-of-the-art next-generation sequencing technology. A 17-year-old female index patient presented with dental (caries, impacted, retained and anteriorly located teeth) and atypical bone anomalies not resembling Gardner syndrome. She was first referred to our Genetic Counselling Unit at the age of 11 due to an atypical bone abnormality identified by a panoramic X-ray. Tooth 3.6 was surgically removed and the histopathology report revealed a Paget's disease-like bone metabolic disorder with mixed osteoblastic and osteoclastic activity of the mandible. A small lumbar subcutaneous tumor was discovered by physical examination. Ultrasound examination of the tumor raised the possibility of a soft tissue propagation of chondromatosis. Her sister, 2 years younger at the age of 14, had some benign tumors (multiple exostoses, odontomas, epidermoid cysts) and impacted teeth. Their mother had also skeletal symptoms. Her lower teeth did not develop, the 9th-10th ribs were fused, and she complained of intermittent jaw pain. A cranial CT scan showed fibrous dysplasia on the cranial bones. Whole exome sequencing identified a heterozygous pathogenic nonsense mutation (c.4700C>G; p.Ser1567*) in the gene in the index patient's DNA. Targeted sequencing revealed the same variant in the DNA of the other affected family members (the sister and the mother). Early diagnosis of this rare, genetically determined syndrome is very important, because of the potentially high malignant transformation of intestinal polyps. Dentists should be familiar with the typical maxillofacial features of this disorder, to be able to refer patients to genetic counseling. Dental anomalies often precede the intestinal polyposis and facilitate the early diagnosis, thereby increasing the patients' chances of survival. Genetic analysis may be necessary in patients with atypical phenotypic signs.
Gardner 综合征是一种罕见的遗传性癌症易感性疾病,其特征为肠息肉、多发性骨瘤以及软组织和硬组织肿瘤。大约 30%-70%的 Gardner 综合征患者存在牙齿异常,并可在常规牙科检查中发现。然而,由于临床表现高度多变且不完整,有时诊断具有挑战性。在此,我们报告了一个具有多种牙齿和骨骼异常的家族,通过基于最先进的下一代测序技术的全面遗传分析,最终明确了诊断。
一名 17 岁的女性先证者存在牙齿(龋齿、阻生、滞留和前牙)和非典型骨骼异常,这些异常与 Gardner 综合征不相似。她因全景 X 射线发现的一种非典型骨骼异常,于 11 岁时首次被转诊至我们的遗传咨询部门。3.6 号牙被手术切除,组织病理学报告显示下颌骨存在类似于 Paget 病的骨代谢紊乱,表现为混合性成骨和破骨活性。体格检查发现腰部有一个小的皮下肿瘤。肿瘤的超声检查提示可能存在软骨瘤病的软组织播散。她的妹妹年龄小她 2 岁,14 岁时患有一些良性肿瘤(多发性外生骨疣、牙瘤、表皮样囊肿)和阻生牙。其母亲也有骨骼症状。她的下牙未萌出,第 9-10 肋骨融合,并间歇性下颌疼痛。头颅 CT 扫描显示颅骨纤维结构不良。全外显子组测序发现先证者的 DNA 中存在杂合的致病性无义突变(c.4700C>G;p.Ser1567*)。靶向测序显示其他受影响的家族成员(妹妹和母亲)的 DNA 中也存在相同的变异。
早期诊断这种罕见的遗传性疾病非常重要,因为肠息肉有潜在的恶性转化。牙医应该熟悉这种疾病的典型颌面特征,以便能够将患者转介至遗传咨询部门。牙齿异常通常先于肠息肉出现,有助于早期诊断,从而提高患者的生存机会。对于具有非典型表型特征的患者,可能需要进行遗传分析。