Suppr超能文献

使用对比增强内镜超声观察到的伴有胰腺肿大的 Erdheim-Chester 病。

Erdheim-Chester Disease with Pancreatic Enlargement Observed Using Contrast-enhanced Endoscopic Ultrasonography.

作者信息

Maruyama Akihiro, Nishikawa Takahiro, Nagura Asuka, Kurobe Takuya, Yashika Jun, Nimura Yuho, Ko Raimei, Yamaguchi Tomohiro, Saito Kazuki, Yoshida Kazuhiro, Kojima Iori, Nonogaki Koji

机构信息

Department of Gastroenterology, Daido Hospital, Japan.

Department of Pathology, Daido Hospital, Japan.

出版信息

Intern Med. 2025 Jan 15;64(2):231-236. doi: 10.2169/internalmedicine.3864-24. Epub 2024 May 30.

Abstract

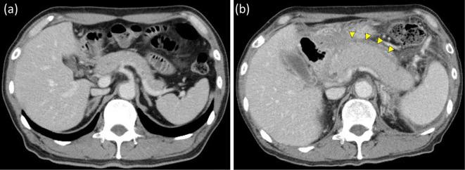
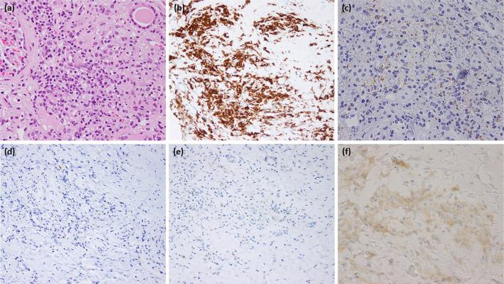
We herein report an unusual case of Erdheim-Chester disease (ECD), a rare non-Langerhans cell histiocytosis, and emphasize its unique presentation and diagnostic challenges. Our patient exhibited uncommon symptoms and significant organ involvement, particularly pancreatic enlargement that is not typically associated with ECD. Contrast-enhanced harmonic endoscopic ultrasonography (CEH-EUS) and EUS-fine needle aspiration (EUS-FNA) play crucial roles in the comprehensive assessment of the disease, demonstrating their superiority in identifying and characterizing elusive ECD lesions. This is the first report to document pancreatic lesions in patients with ECD evaluated using CEH-EUS. EUS-FNA is valuable for diagnosing rare diseases, including ECD, with diffuse pancreatic enlargement.

摘要

我们在此报告一例罕见的非朗格汉斯细胞组织细胞增多症——厄德里希-切斯特病(ECD)的不寻常病例,并强调其独特的临床表现和诊断挑战。我们的患者表现出不常见的症状和显著的器官受累,特别是胰腺肿大,而这在ECD中通常并不常见。对比增强谐波内镜超声检查(CEH-EUS)和超声内镜引导下细针穿刺活检(EUS-FNA)在该疾病的综合评估中发挥着关键作用,显示出它们在识别和表征难以捉摸的ECD病变方面的优势。这是第一份记录使用CEH-EUS评估的ECD患者胰腺病变的报告。EUS-FNA对于诊断包括ECD在内的伴有弥漫性胰腺肿大的罕见疾病很有价值。

https://cdn.ncbi.nlm.nih.gov/pmc/blobs/6d8a/11802210/0a1fb0467dfd/1349-7235-64-0231-g001.jpg

文献AI研究员

20分钟写一篇综述,助力文献阅读效率提升50倍。

立即体验

用中文搜PubMed

大模型驱动的PubMed中文搜索引擎

马上搜索

文档翻译

学术文献翻译模型,支持多种主流文档格式。

立即体验