Suppr超能文献

良性孤立性腹膜后神经鞘瘤的影像学与组织学相关性:图文综述

Correlation between imaging and histology in benign solitary retroperitoneal nerve sheath tumors: a pictorial review.

作者信息

Carone Luisa, Messana Gaia, Vanoli Alessandro, Pugliese Luigi, Gallotti Anna, Preda Lorenzo

机构信息

Radiology 1 Unit, IRCCS San Matteo Hospital Foundation, Viale Camillo Golgi, 19, 27100, Pavia, Italy.

Diagnostic Imaging and Radiotherapy Unit, Department of Clinical, Surgical, Diagnostic, and Pediatric Sciences, University of Pavia, Viale Brambilla, 74, 27100, Pavia, Italy.

出版信息

Insights Imaging. 2024 May 31;15(1):132. doi: 10.1186/s13244-024-01709-5.

Abstract

BACKGROUND

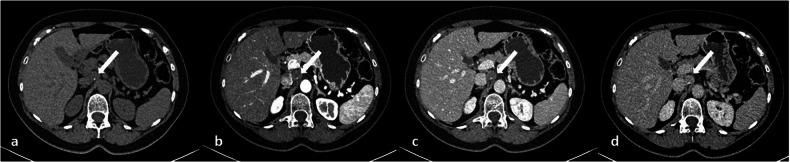
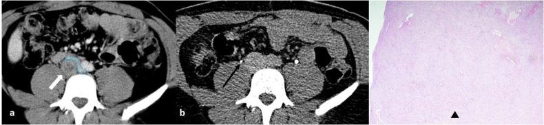
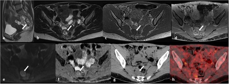
Benign nerve sheath tumors presenting as solitary retroperitoneal masses (RBNSTs) pose a complex diagnostic challenge for multidisciplinary teams regarding differential diagnosis, staging, and treatment planning. This article reviews the role played by different imaging techniques in assessing RBNSTs and elucidates their typical pathological features with a particular emphasis on the correlation between imaging and histological findings. Furthermore, some examples of retroperitoneal tumors that merit consideration in the process of differential diagnosis based on cross-sectional investigations (CSIs) are reported. The correlation between tissue architecture and appearance on imaging can help increase the accuracy of differential diagnosis with other retroperitoneal neoplasms at CSIs.

CRITICAL RELEVANCE STATEMENT

This educational review critically examines the correlation between imaging and histological features in solitary retroperitoneal benign nerve sheath tumors, offering valuable insights for improving the accuracy of differential diagnosis in clinical radiology.

KEY POINTS

RBNSTs are challenging to diagnose because they lack specific radiological features. Differential diagnosis of RBNSTs from other retroperitoneal neoplasms on imaging is complex. Surgical removal of RBNSTs is recommended for an accurate diagnosis.

摘要

背景

表现为孤立性腹膜后肿块的良性神经鞘瘤(RBNSTs)对多学科团队在鉴别诊断、分期和治疗规划方面构成了复杂的诊断挑战。本文回顾了不同成像技术在评估RBNSTs中所起的作用,并阐明了其典型的病理特征,特别强调了成像与组织学结果之间的相关性。此外,还报告了一些在基于横断面检查(CSI)进行鉴别诊断过程中值得考虑的腹膜后肿瘤实例。组织结构与成像表现之间的相关性有助于提高CSI时与其他腹膜后肿瘤鉴别诊断的准确性。

关键相关性声明

本教育性综述批判性地审视了孤立性腹膜后良性神经鞘瘤成像与组织学特征之间的相关性,为提高临床放射学鉴别诊断的准确性提供了有价值的见解。

要点

RBNSTs难以诊断,因为它们缺乏特异性放射学特征。在成像上,将RBNSTs与其他腹膜后肿瘤进行鉴别诊断很复杂。建议手术切除RBNSTs以进行准确诊断。

https://cdn.ncbi.nlm.nih.gov/pmc/blobs/df10/11139841/bfb7462f5921/13244_2024_1709_Fig1_HTML.jpg

文献AI研究员

20分钟写一篇综述,助力文献阅读效率提升50倍。

立即体验

用中文搜PubMed

大模型驱动的PubMed中文搜索引擎

马上搜索

文档翻译

学术文献翻译模型,支持多种主流文档格式。

立即体验