Suppr超能文献

终末期肾病患者中,继发性甲状旁腺功能亢进所致棕色瘤酷似转移性肾细胞癌

Brown Tumor From Secondary Hyperparathyroidism Mimicking Metastatic Renal Cell Carcinoma in a Patient With End-Stage Renal Disease.

作者信息

Fogwe Leslie, Ganipisetti Venu M, Naha Kushal

机构信息

Internal Medicine, University of Missouri School of Medicine, Columbia, USA.

Hospital Medicine, Baystate Medical Center, Springfield, USA.

出版信息

Cureus. 2024 Apr 30;16(4):e59376. doi: 10.7759/cureus.59376. eCollection 2024 Apr.

Abstract

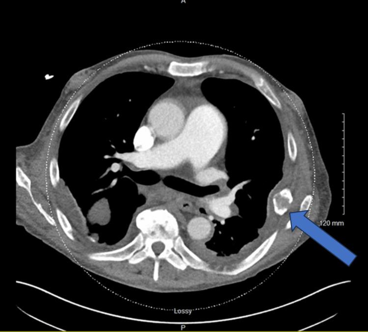
Brown tumors (also known as osteitis fibrosa cystica) are rare complications of end-stage renal disease (ESRD) and secondary hyperparathyroidism (HPT), characterized by focal bone lesions that resemble neoplasms. They are often misdiagnosed as metastatic bone disease, especially in patients with a history of malignancy. We present a case of a 60-year-old man with a history of renal cell carcinoma (RCC), and ESRD on hemodialysis (HD), who developed diffuse bone lesions on imaging with osteolytic/osteoblastic appearance concerning metastases, but on further workup was found to have brown tumors. We discuss the treatment and outcome and briefly review the relevant medical literature.

摘要

棕色瘤(也称为纤维囊性骨炎)是终末期肾病(ESRD)和继发性甲状旁腺功能亢进(HPT)的罕见并发症,其特征为类似肿瘤的局灶性骨病变。它们常被误诊为骨转移瘤,尤其是在有恶性肿瘤病史的患者中。我们报告一例60岁男性病例,该患者有肾细胞癌(RCC)病史,正在接受血液透析(HD)治疗的ESRD,影像学检查发现有弥漫性骨病变,呈溶骨/成骨表现,怀疑为转移瘤,但进一步检查发现是棕色瘤。我们讨论了治疗方法和结果,并简要回顾了相关医学文献。

https://cdn.ncbi.nlm.nih.gov/pmc/blobs/6b6c/11139052/8df4f9d4a566/cureus-0016-00000059376-i01.jpg

文献AI研究员

20分钟写一篇综述,助力文献阅读效率提升50倍。

立即体验

用中文搜PubMed

大模型驱动的PubMed中文搜索引擎

马上搜索

文档翻译

学术文献翻译模型,支持多种主流文档格式。

立即体验