Suppr超能文献

Post-Traumatic Chylous Wrist Effusion: A Case Report.

作者信息

Lee Je-Chan, Lee Sang Ki

机构信息

Department of Orthopedic Surgery, Eulji University College of Medicine, Daejeon, Korea.

出版信息

J Hand Surg Glob Online. 2024 Mar 22;6(3):425-429. doi: 10.1016/j.jhsg.2024.02.008. eCollection 2024 May.

Abstract

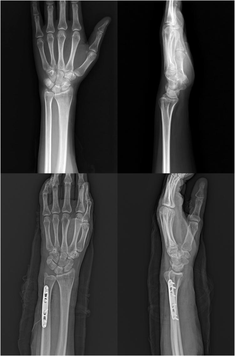
Chylous joint effusion is a rare condition characterized by the presence of a milky, viscous synovial fluid with abnormal lipid concentrations. The thorax is the most common site of involvement. Only a handful of cases have been reported in the field of orthopedic surgery and even fewer have been reported involving uncommon locations such as the knee. Treatment of chylous joint effusion may require surgical intervention along with the use of somatostatin or octreotide and a low-fat diet. We present herein a case of post-traumatic chylous effusion in the wrist treated with surgical incision and drainage, octreotide, and a low-fat diet. There have been few reports of chylous effusion in the knee; however, to our knowledge, this is the first report of post-traumatic chylous effusion in the wrist.

摘要
https://cdn.ncbi.nlm.nih.gov/pmc/blobs/5da5/11133889/a565136bdae1/gr1.jpg

相似文献

1
Post-Traumatic Chylous Wrist Effusion: A Case Report.
J Hand Surg Glob Online. 2024 Mar 22;6(3):425-429. doi: 10.1016/j.jhsg.2024.02.008. eCollection 2024 May.
2
Post-traumatic chylous knee effusion.
Knee. 2011 Mar;18(2):133-5. doi: 10.1016/j.knee.2010.02.009. Epub 2010 Mar 19.
3
Octreotide treatment in a neonate with non-chylous pleural effusion.
Afr J Paediatr Surg. 2013 Oct-Dec;10(4):374-6. doi: 10.4103/0189-6725.125452.
4
Additional Octreotide Therapy to Sirolimus Achieved a Decrease in Sirolimus-refractory Chylous Effusion Complicated with Lymphangioleiomyomatosis.
Intern Med. 2017 Dec 15;56(24):3327-3331. doi: 10.2169/internalmedicine.8645-16. Epub 2017 Oct 11.
5
Successful surgical treatment of congenital chylous ascites co-existed with congenital hypothyroidism: A rare case report.
Int J Surg Case Rep. 2023 Oct;111:108884. doi: 10.1016/j.ijscr.2023.108884. Epub 2023 Oct 2.
8
Chylous ascites: Case report of a rare presentation of blunt abdominal trauma.
Int J Surg Case Rep. 2020;77:799-802. doi: 10.1016/j.ijscr.2020.11.134. Epub 2020 Nov 30.
9
A case of spontaneous chylous pericardial effusion in Poland syndrome.
Gen Thorac Cardiovasc Surg. 2014 Jun;62(6):386-9. doi: 10.1007/s11748-013-0257-x. Epub 2013 Aug 6.
10
Chylous ascites: diagnosis, causes and treatment.
Acta Gastroenterol Belg. 2000 Jul-Sep;63(3):260-3.

本文引用的文献

1
An emerging player in knee osteoarthritis: the infrapatellar fat pad.
Arthritis Res Ther. 2013;15(6):225. doi: 10.1186/ar4422.
2
Post-traumatic chylous knee effusion.
Knee. 2011 Mar;18(2):133-5. doi: 10.1016/j.knee.2010.02.009. Epub 2010 Mar 19.
3
Pleural fluid characteristics of chylothorax.
Mayo Clin Proc. 2009 Feb;84(2):129-33. doi: 10.4065/84.2.129.
4
Chyle leaks: consensus on management?
Nutr Clin Pract. 2008 Oct-Nov;23(5):529-32. doi: 10.1177/0884533608323424.
5
Octreotide and chylothorax.
Curr Opin Pulm Med. 2006 Jul;12(4):264-7. doi: 10.1097/01.mcp.0000230629.73139.26.
6
Chylous knee effusion: is it septic arthritis? A case report and review of literature.
J Trauma. 2004 Nov;57(5):1121-4. doi: 10.1097/01.ta.0000124267.54630.0f.
7
CHYLOUS SYNOVIAL EFFUSION IN RHEUMATOID ARTHRITIS. CLINICAL AND PATHOGENETIC SIGNIFICANCE.
Am J Med. 1965 Jan;38:156-64. doi: 10.1016/0002-9343(65)90170-1.
8
Octreotide as a therapeutic option for management of chylothorax.
Ann Pharmacother. 2003 May;37(5):679-82. doi: 10.1345/aph.1C265.
9
Post-traumatic chylous joint effusion.
Arthritis Rheum. 1985 Nov;28(11):1303-6. doi: 10.1002/art.1780281116.
10
Traumatic chylous knee effusion.
Ann Rheum Dis. 1985 Nov;44(11):793-7. doi: 10.1136/ard.44.11.793.

文献AI研究员

20分钟写一篇综述,助力文献阅读效率提升50倍。

立即体验

用中文搜PubMed

大模型驱动的PubMed中文搜索引擎

马上搜索

文档翻译

学术文献翻译模型,支持多种主流文档格式。

立即体验