• 文献检索
  • 文档翻译
  • 深度研究
  • 学术资讯
  • Suppr Zotero 插件Zotero 插件
  • 邀请有礼
  • 套餐&价格
  • 历史记录
应用&插件
Suppr Zotero 插件Zotero 插件浏览器插件Mac 客户端Windows 客户端微信小程序
定价
高级版会员购买积分包购买API积分包
服务
文献检索文档翻译深度研究API 文档MCP 服务
关于我们
关于 Suppr公司介绍联系我们用户协议隐私条款
关注我们

Suppr 超能文献

核心技术专利:CN118964589B侵权必究
粤ICP备2023148730 号-1Suppr @ 2026

文献检索

告别复杂PubMed语法,用中文像聊天一样搜索,搜遍4000万医学文献。AI智能推荐,让科研检索更轻松。

立即免费搜索

文件翻译

保留排版,准确专业,支持PDF/Word/PPT等文件格式,支持 12+语言互译。

免费翻译文档

深度研究

AI帮你快速写综述,25分钟生成高质量综述,智能提取关键信息,辅助科研写作。

立即免费体验

热灭活罗伊氏乳杆菌 ATCC PTA 6475 可预防去卵巢小鼠的骨丢失:初步研究。

Heat-killed Limosilactobacillus reuteri ATCC PTA 6475 prevents bone loss in ovariectomized mice: A preliminary study.

机构信息

Department of Bioscience and Oral Diagnosis, Institute of Science and Technology of São José dos Campos (São Paulo State University-Unesp), São José dos Campos, São Paulo, Brazil.

Private Practice, São José dos Campos, São Paulo, Brazil.

出版信息

PLoS One. 2024 May 31;19(5):e0304358. doi: 10.1371/journal.pone.0304358. eCollection 2024.

DOI:10.1371/journal.pone.0304358
PMID:38820403
原文链接:https://pmc.ncbi.nlm.nih.gov/articles/PMC11142514/
Abstract

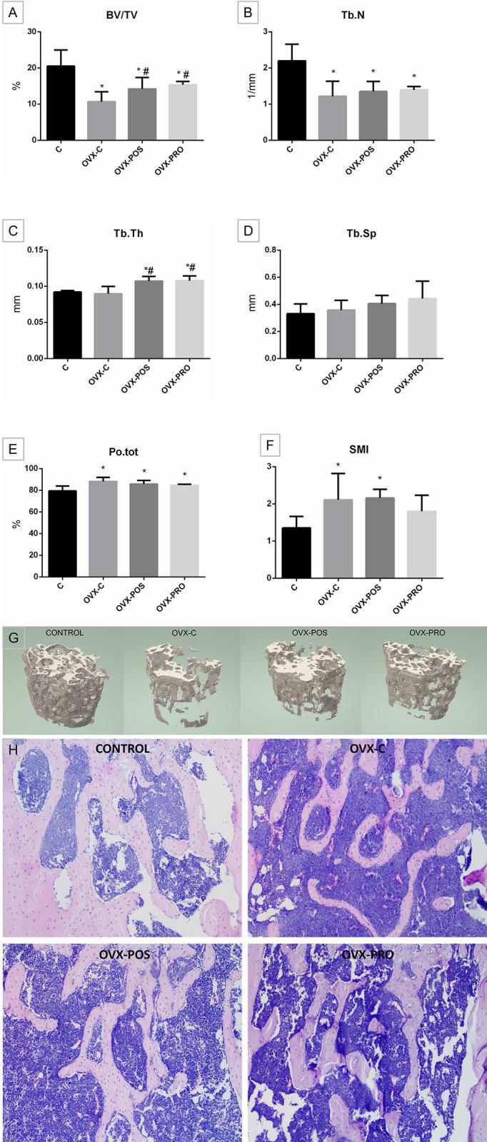
Osteoporosis is an important health problem that occurs due to an imbalance between bone formation and resorption. Hormonal deficiency post-menopause is a significant risk factor. The probiotic Limosilactobacillus reuteri has been reported to prevent ovariectomy (Ovx)-induced bone loss in mice and reduce bone loss in postmenopausal women. Despite the numerous health benefits of probiotics, as they are live bacteria, the administration is not risk-free for certain groups (e.g., neonates and immunosuppressed patients). We evaluated the effects of L. reuteri (ATCC PTA 6475) and its heat-killed (postbiotic) form on Ovx-induced bone loss. Adult female mice (BALB/c) were randomly divided into four groups: group C-control (sham); group OVX-C-Ovx; group OVX-POS-Ovx + heat-killed probiotic; group OVX-PRO-Ovx + probiotic. L. reuteri or the postbiotic was administered to the groups (1.3x109 CFU/day) by gavage. Bacterial morphology after heat treatment was accessed by scanning electron microscopy (SEM). The treatment started one week after Ovx and lasted 28 days (4 weeks). The animals were euthanized at the end of the treatment period. Bone microarchitecture and ileum Occludin and pro-inflammatory cytokines gene expression were evaluated by computed microtomography and qPCR techniques, respectively. The Ovx groups had lower percentage of bone volume (BV/TV) and number of bone trabeculae as well as greater total porosity compared to the control group. Treatment with live and heat-killed L. reuteri resulted in higher BV/TV and trabecular thickness than the Ovx group. The heat treatment caused some cell surface disruptions, but its structure resembled that of the live probiotic in SEM analysis. There were no statistical differences in Occludin, Il-6 and Tnf-α gene expression. Both viable and heat-killed L. reuteri prevented bone loss on ovariectomized mice, independently of gut Occludin and intestinal Il-6 and Tnf-α gene expression.

摘要

骨质疏松症是一种由于骨形成和吸收之间失衡而引起的重要健康问题。绝经后激素缺乏是一个重要的危险因素。已报道益生菌罗伊氏乳杆菌可预防去卵巢(Ovx)诱导的小鼠骨丢失,并减少绝经后妇女的骨丢失。尽管益生菌具有许多健康益处,但由于它们是活菌,因此对于某些人群(例如新生儿和免疫抑制患者),使用并非没有风险。我们评估了罗伊氏乳杆菌(ATCC PTA 6475)及其热灭活(后生元)形式对 Ovx 诱导的骨丢失的影响。成年雌性小鼠(BALB/c)随机分为四组:C 组-对照(假手术);OVX-C-Ovx 组;OVX-POS-Ovx + 热灭活益生菌组;OVX-PRO-Ovx + 益生菌组。通过灌胃向各组(1.3x109CFU/天)给予罗伊氏乳杆菌或后生元。细菌经热处理后的形态通过扫描电子显微镜(SEM)进行评估。Ovx 后一周开始治疗,持续 28 天(4 周)。治疗结束时处死动物。通过计算微断层扫描和 qPCR 技术分别评估骨微结构和回肠 Occludin 和促炎细胞因子基因表达。与对照组相比,Ovx 组的骨体积百分比(BV/TV)和骨小梁数量较低,总孔隙率较高。与 Ovx 组相比,活的和热灭活的 L. reuteri 治疗导致更高的 BV/TV 和小梁厚度。热处理导致一些细胞表面破裂,但在 SEM 分析中,其结构类似于活益生菌。Occludin、Il-6 和 Tnf-α基因表达无统计学差异。活的和热灭活的 L. reuteri 均可预防去卵巢小鼠的骨丢失,与肠道 Occludin 以及肠内 Il-6 和 Tnf-α基因表达无关。

https://cdn.ncbi.nlm.nih.gov/pmc/blobs/a562/11142514/5174b6259dea/pone.0304358.g004.jpg
https://cdn.ncbi.nlm.nih.gov/pmc/blobs/a562/11142514/99b6deb8aeae/pone.0304358.g001.jpg
https://cdn.ncbi.nlm.nih.gov/pmc/blobs/a562/11142514/3f2b3999ccf8/pone.0304358.g002.jpg
https://cdn.ncbi.nlm.nih.gov/pmc/blobs/a562/11142514/4ed3ace86263/pone.0304358.g003.jpg
https://cdn.ncbi.nlm.nih.gov/pmc/blobs/a562/11142514/5174b6259dea/pone.0304358.g004.jpg
https://cdn.ncbi.nlm.nih.gov/pmc/blobs/a562/11142514/99b6deb8aeae/pone.0304358.g001.jpg
https://cdn.ncbi.nlm.nih.gov/pmc/blobs/a562/11142514/3f2b3999ccf8/pone.0304358.g002.jpg
https://cdn.ncbi.nlm.nih.gov/pmc/blobs/a562/11142514/4ed3ace86263/pone.0304358.g003.jpg
https://cdn.ncbi.nlm.nih.gov/pmc/blobs/a562/11142514/5174b6259dea/pone.0304358.g004.jpg

相似文献

1
Heat-killed Limosilactobacillus reuteri ATCC PTA 6475 prevents bone loss in ovariectomized mice: A preliminary study.热灭活罗伊氏乳杆菌 ATCC PTA 6475 可预防去卵巢小鼠的骨丢失:初步研究。
PLoS One. 2024 May 31;19(5):e0304358. doi: 10.1371/journal.pone.0304358. eCollection 2024.
2
Probiotic L. reuteri treatment prevents bone loss in a menopausal ovariectomized mouse model.罗伊氏乳杆菌治疗可预防绝经后去卵巢小鼠模型的骨质流失。
J Cell Physiol. 2014 Nov;229(11):1822-30. doi: 10.1002/jcp.24636.
3
Effects of Lactobacillus acidophilus and L. reuteri on bone mass and gut microbiota in ovariectomized mice.嗜酸乳杆菌和罗伊氏乳杆菌对去卵巢小鼠骨量和肠道微生物群的影响。
Cell Mol Biol (Noisy-le-grand). 2023 Sep 30;69(9):43-51. doi: 10.14715/cmb/2023.69.9.7.
4
Supportive Role of Probiotic Strains in Protecting Rats from Ovariectomy-Induced Cortical Bone Loss.益生菌菌株在保护大鼠免受卵巢切除诱导的皮质骨丢失中的支持作用。
Probiotics Antimicrob Proteins. 2019 Dec;11(4):1145-1154. doi: 10.1007/s12602-018-9443-6.
5
Live and heat-killed Lactobacillus reuteri reduce alveolar bone loss on induced periodontitis in rats.活的和热灭活的罗伊氏乳杆菌可减少诱导性牙周炎大鼠的牙槽骨丧失。
Arch Oral Biol. 2020 Nov;119:104894. doi: 10.1016/j.archoralbio.2020.104894. Epub 2020 Sep 8.
6
Mild stimulatory effect of a probiotic mix on bone mass when treatment is initiated 1.5 weeks after ovariectomy in mice.在小鼠卵巢切除术后1.5周开始治疗时,益生菌混合物对骨量有轻微刺激作用。
Am J Physiol Endocrinol Metab. 2021 Mar 1;320(3):E591-E597. doi: 10.1152/ajpendo.00412.2020. Epub 2021 Feb 1.
7
The beneficial effects of simultaneous supplementation of Lactobacillus reuteri and calcium fluoride nanoparticles on ovariectomy-induced osteoporosis.同时补充罗伊氏乳杆菌和氟化钙纳米粒子对去卵巢诱导骨质疏松症的有益影响。
BMC Complement Med Ther. 2023 Sep 26;23(1):340. doi: 10.1186/s12906-023-04167-6.
8
Probiotics enhance alveolar bone microarchitecture, intestinal morphology and estradiol levels in osteoporotic animals.益生菌可改善骨质疏松动物的牙槽骨微结构、肠道形态及雌二醇水平。
J Periodontal Res. 2024 Aug;59(4):758-770. doi: 10.1111/jre.13256. Epub 2024 May 3.
9
Lactobacillus reuteri 6475 Increases Bone Density in Intact Females Only under an Inflammatory Setting.仅在炎症环境下,罗伊氏乳杆菌6475可增加未切除卵巢雌性大鼠的骨密度。
PLoS One. 2016 Apr 8;11(4):e0153180. doi: 10.1371/journal.pone.0153180. eCollection 2016.
10
Probiotic use decreases intestinal inflammation and increases bone density in healthy male but not female mice.益生菌的使用可降低健康雄性小鼠而非雌性小鼠的肠道炎症和增加骨密度。
J Cell Physiol. 2013 Aug;228(8):1793-8. doi: 10.1002/jcp.24340.

引用本文的文献

1
Anti-osteoporotic potential of a probiotic mixture containing Limosilactobacillus reuteri and Weissella cibaria in ovariectomized rats.含罗伊氏乳杆菌和西巴韦氏菌的益生菌混合物对去卵巢大鼠的抗骨质疏松潜力
Sci Rep. 2025 May 27;15(1):18586. doi: 10.1038/s41598-025-02089-6.
2
Progress of research on the gut microbiome and its metabolite short-chain fatty acids in postmenopausal osteoporosis: a literature review.肠道微生物群及其代谢产物短链脂肪酸在绝经后骨质疏松症中的研究进展:文献综述
Front Med. 2025 May 10. doi: 10.1007/s11684-025-1129-3.

本文引用的文献

1
Relationship between different body composition and bone mineral density in Qinhuangdao city.秦皇岛市不同身体成分与骨密度的关系。
Rev Assoc Med Bras (1992). 2022 Apr;68(4):445-449. doi: 10.1590/1806-9282.20210669.
2
The Concept of Postbiotics.后生元的概念。
Foods. 2022 Apr 8;11(8):1077. doi: 10.3390/foods11081077.
3
Heat-Killed GMNL-653 Exerts Antiosteoporotic Effects by Restoring the Gut Microbiota Dysbiosis in Ovariectomized Mice.热灭活的GMNL-653通过恢复去卵巢小鼠的肠道微生物群失调发挥抗骨质疏松作用。
Front Nutr. 2022 Feb 4;9:804210. doi: 10.3389/fnut.2022.804210. eCollection 2022.
4
"Osteomicrobiology": The Nexus Between Bone and Bugs.“骨微生物学”:骨骼与细菌之间的联系
Front Microbiol. 2022 Jan 25;12:812466. doi: 10.3389/fmicb.2021.812466. eCollection 2021.
5
Diagnostic, treatment, and follow-up of osteoporosis-position statement of the Latin American Federation of Endocrinology.骨质疏松症的诊断、治疗和随访——拉丁美洲内分泌学会立场声明
Arch Osteoporos. 2021 Jul 24;16(1):114. doi: 10.1007/s11657-021-00974-x.
6
Cell-free culture supernatant of Lactobacillus curvatus Wikim38 inhibits RANKL-induced osteoclast differentiation and ameliorates bone loss in ovariectomized mice.卷曲乳杆菌 Wikim38 的无细胞培养上清液抑制 RANKL 诱导的破骨细胞分化,并改善去卵巢小鼠的骨丢失。
Lett Appl Microbiol. 2021 Sep;73(3):383-391. doi: 10.1111/lam.13525. Epub 2021 Jul 7.
7
Modulation of the Gut Microbiota Structure with Probiotics and Isoflavone Alleviates Metabolic Disorder in Ovariectomized Mice.益生菌和异黄酮调节肠道微生物群结构可缓解去卵巢小鼠的代谢紊乱。
Nutrients. 2021 May 25;13(6):1793. doi: 10.3390/nu13061793.
8
Exploring the bone sparing effects of postbiotics in the post-menopausal rat model.探讨后生元在绝经后大鼠模型中的保骨作用。
BMC Complement Med Ther. 2021 May 28;21(1):155. doi: 10.1186/s12906-021-03327-w.
9
Paraprobiotics: A New Perspective for Functional Foods and Nutraceuticals.后生元:功能性食品和营养保健品的新视角。
Nutrients. 2021 Apr 8;13(4):1225. doi: 10.3390/nu13041225.
10
The Role of Probiotics and Prebiotics in Osteolastogenesis and Immune Relevance.益生菌和益生元在成骨细胞生成和免疫相关性中的作用。
Curr Med Chem. 2021;28(25):5228-5247. doi: 10.2174/0929867328666210316115126.