Suppr超能文献

水温升高会导致斑点狼鲈眼部出现软骨生成反应。

Increased water temperature contributes to a chondrogenesis response in the eyes of spotted wolffish.

机构信息

Division of Biomedical Sciences, Faculty of Medicine, Memorial University, St. John's, NL, A1B 3V6, Canada.

Marine Microbial Pathogenesis and Vaccinology Lab, Department of Ocean Sciences, Memorial University, St. John's, NL, A1C 5S7, Canada.

出版信息

Sci Rep. 2024 May 31;14(1):12508. doi: 10.1038/s41598-024-63370-8.

Abstract

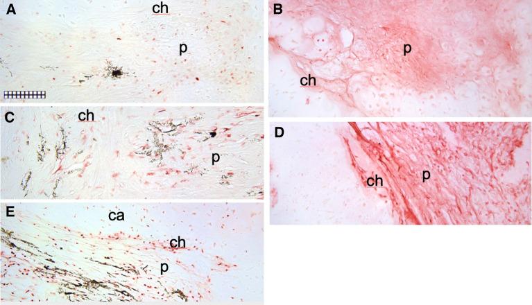
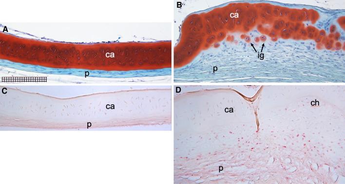
Adult vertebrate cartilage is usually quiescent. Some vertebrates possess ocular scleral skeletons composed of cartilage or bone. The morphological characteristics of the spotted wolffish (Anarhichas minor) scleral skeleton have not been described. Here we assessed the scleral skeletons of cultured spotted wolffish, a globally threatened marine species. The healthy spotted wolffish we assessed had scleral skeletons with a low percentage of cells staining for the chondrogenesis marker sex-determining region Y-box (Sox) 9, but harboured a population of intraocular cells that co-express immunoglobulin M (IgM) and Sox9. Scleral skeletons of spotted wolffish with grossly observable eye abnormalities displayed a high degree of perochondrial activation as evidenced by cellular morphology and expression of proliferating cell nuclear antigen (PCNA) and phosphotyrosine. Cells staining for cluster of differentiation (CD) 45 and IgM accumulated around sites of active chondrogenesis, which contained cells that strongly expressed Sox9. The level of scleral chondrogenesis and the numbers of scleral cartilage PCNA positive cells increased with the temperature of the water in which spotted wolffish were cultured. Our results provide new knowledge of differing Sox9 spatial tissue expression patterns during chondrogenesis in normal control and ocular insult paradigms. Our work also provides evidence that spotted wolffish possess an inherent scleral chondrogenesis response that may be sensitive to temperature. This work also advances the fundamental knowledge of teleost ocular skeletal systems.

摘要

成年脊椎动物的软骨通常处于静止状态。有些脊椎动物拥有由软骨或骨骼组成的眼部巩膜骨骼。斑点狼鱼(Anarhichas minor)巩膜骨骼的形态特征尚未被描述。在这里,我们评估了养殖斑点狼鱼的巩膜骨骼,斑点狼鱼是一种全球受到威胁的海洋物种。我们评估的健康斑点狼鱼的巩膜骨骼中,只有一小部分细胞对软骨形成标志物性别决定区 Y 盒(Sox)9 呈阳性染色,但却存在一群眼内细胞同时表达免疫球蛋白 M(IgM)和 Sox9。具有明显眼部异常的斑点狼鱼的巩膜骨骼表现出高度的软骨周活性,这表现在细胞形态和增殖细胞核抗原(PCNA)和磷酸酪氨酸的表达上。染色为分化簇(CD)45 和 IgM 的细胞聚集在活跃的软骨形成部位周围,这些部位含有强烈表达 Sox9 的细胞。巩膜软骨形成的程度和巩膜软骨 PCNA 阳性细胞的数量随着斑点狼鱼培养水温的升高而增加。我们的研究结果提供了关于在正常对照和眼部损伤模型中软骨形成过程中 Sox9 空间组织表达模式的新知识。我们的工作还提供了证据表明斑点狼鱼具有固有巩膜软骨形成反应,可能对温度敏感。这项工作还推进了硬骨鱼眼部骨骼系统的基础知识。

https://cdn.ncbi.nlm.nih.gov/pmc/blobs/c73b/11143355/6f7a0639ef85/41598_2024_63370_Fig1_HTML.jpg

文献AI研究员

20分钟写一篇综述,助力文献阅读效率提升50倍。

立即体验

用中文搜PubMed

大模型驱动的PubMed中文搜索引擎

马上搜索

文档翻译

学术文献翻译模型,支持多种主流文档格式。

立即体验