Suppr超能文献

陈旧性骨科手术切口处的嵌顿性切口疝:1例罕见病例报告及文献复习

Incarcerated incisional hernia on an old orthopedics incision, a rare case report and a review of the literature.

作者信息

Abu-Jeyyab Mohammad, Al-Jafari Mohammad, AlKhawaldeh Ibraheem M, Eddin Sadeen Zein, Tapanjeh Sophia Abu, Ja'Awin Mohannad, Aborajooh Emad, Nashwan Abdulqadir J

机构信息

Faculty of Medicine, Mutah University, Al-Karak 61710, Jordan.

Red Crescent Hospital, Amman, Jordan.

出版信息

J Surg Case Rep. 2024 May 31;2024(5):rjae369. doi: 10.1093/jscr/rjae369. eCollection 2024 May.

Abstract

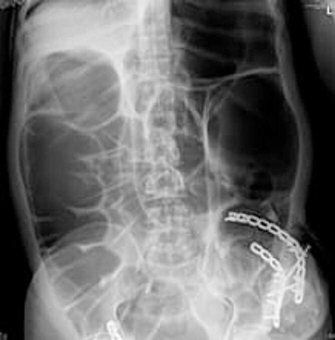
A previous surgical incision can lead to an abdominal wall defect known as an incisional hernia. The protrusion of abdominal viscera, particularly bowel loops, through this defect can result in various complications and affect organ function. Bowel loops are frequently involved and can lead to incarceration, obstruction or even strangulation. A 38-year-old male with a history of open reduction internal fixation for the left iliac wing presented with abdominal pain, vomiting and obstipation. Abdominal examination revealed a tender, distended abdominal area with swelling on the left hip. Radiological examination revealed bowel obstruction at the previous surgery site. During surgery, an incisional hernia was confirmed, and the bowel was found viable. Incisional hernias can occur even many years after primary surgery and may remain asymptomatic until complications arise. Elective hernial repair is recommended in some cases, such as the one presented here, as complications can be fatal.

摘要

既往手术切口可导致一种称为切口疝的腹壁缺损。腹腔内脏器,尤其是肠袢,通过该缺损突出可导致各种并发症并影响器官功能。肠袢常受累,可导致嵌顿、梗阻甚至绞窄。一名38岁男性,有左侧髂骨翼切开复位内固定病史,出现腹痛、呕吐和便秘。腹部检查发现腹部压痛、膨隆,左髋部肿胀。影像学检查显示既往手术部位肠梗阻。手术中证实为切口疝,发现肠管存活。切口疝甚至可在初次手术后多年发生,在并发症出现之前可能一直无症状。在某些情况下,如本文所述病例,建议择期进行疝修补术,因为并发症可能是致命的。

https://cdn.ncbi.nlm.nih.gov/pmc/blobs/94f8/11140507/14771ac26b49/rjae369f1.jpg

文献检索

告别复杂PubMed语法,用中文像聊天一样搜索,搜遍4000万医学文献。AI智能推荐,让科研检索更轻松。

立即免费搜索

文件翻译

保留排版,准确专业,支持PDF/Word/PPT等文件格式,支持 12+语言互译。

免费翻译文档

深度研究

AI帮你快速写综述,25分钟生成高质量综述,智能提取关键信息,辅助科研写作。

立即免费体验