Suppr超能文献

麻醉诱导期间发现的无症状声门下狭窄且术前评估未预测到:一例报告

Asymptomatic Subglottic Stenosis Discovered During Anesthesia Induction and Not Predicted by Preoperative Evaluation: A Case Report.

作者信息

Hibino Ayaka, Hibino Akinobu, Nishimaki Hironobu, Denda Sadahei

机构信息

Anesthesiology, Niigata University Medical and Dental Hospital, Niigata, JPN.

Anesthesiology and Pain Clinic Surgery, Niigata City General Hospital, Niigata, JPN.

出版信息

Cureus. 2024 May 2;16(5):e59543. doi: 10.7759/cureus.59543. eCollection 2024 May.

Abstract

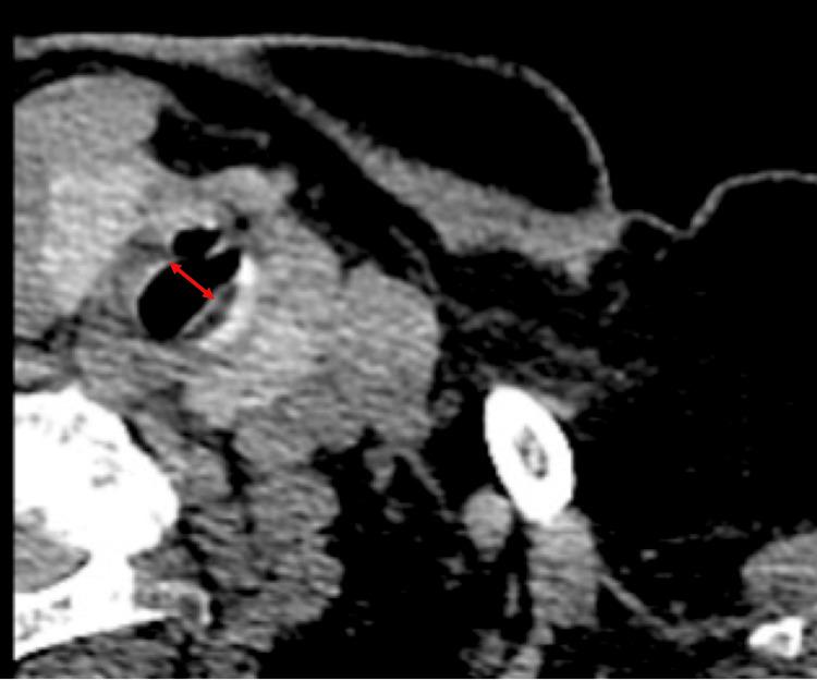
Subglottic stenosis (SGS) can be asymptomatic in cases with slow-growing granulomas. In this study, we report a case of SGS discovered during tracheal intubation for anesthesia induction. A 74-year-old woman was scheduled for surgery under general anesthesia for a left humeral fracture. Resistance was observed when the tracheal tube passed through the glottis, stopping the tube from advancing. We placed a laryngeal mask (LMA) to secure her airway and examined it using a bronchial fiber to detect circumferential stenosis of the subglottis due to granulation. The airway was secured using an LMA instead of intubation, and the patient was successfully managed under anesthesia. Asymptomatic SGS is difficult to detect preoperatively, and anesthesiologists may encounter unexpected intubation issues. LMA is an important tool for an effective strategy to manage intubation difficulties.

摘要

声门下狭窄(SGS)在肉芽肿生长缓慢的情况下可能无症状。在本研究中,我们报告了一例在麻醉诱导气管插管期间发现的SGS病例。一名74岁女性计划在全身麻醉下进行左肱骨骨折手术。当气管导管通过声门时观察到阻力,导致导管无法推进。我们放置了喉罩(LMA)以确保气道安全,并使用支气管纤维镜检查以检测由于肉芽组织导致的声门下环形狭窄。使用LMA而非插管确保了气道安全,患者在麻醉下成功完成手术。无症状性SGS术前难以检测,麻醉医生可能会遇到意外的插管问题。LMA是应对插管困难有效策略的重要工具。

https://cdn.ncbi.nlm.nih.gov/pmc/blobs/5dc9/11144586/04c04536c0e4/cureus-0016-00000059543-i01.jpg

相似文献

2
A comparison of fiberoptical guided tracheal intubation via laryngeal mask and laryngeal tube.
Saudi J Anaesth. 2015 Jan;9(1):37-41. doi: 10.4103/1658-354X.146285.
3
Laryngeal mask versus endotracheal tube in a ferret model.
Ann Otol Rhinol Laryngol. 2001 Sep;110(9):827-33. doi: 10.1177/000348940111000905.
6
[A comparison of various supraglottic airway devices for fiberoptical guided tracheal intubation].
Rev Bras Anestesiol. 2017 Mar-Apr;67(2):166-171. doi: 10.1016/j.bjan.2016.12.009. Epub 2017 Jan 12.
7
A comparison of various supraglottic airway devices for fiberoptical guided tracheal intubation.
Braz J Anesthesiol. 2017 Mar-Apr;67(2):166-171. doi: 10.1016/j.bjane.2015.09.007. Epub 2016 May 26.

本文引用的文献

1
How can we identify subglottic stenosis in patients with suspected obstructive disease?
Eur Arch Otorhinolaryngol. 2023 Nov;280(11):4995-5001. doi: 10.1007/s00405-023-08141-3. Epub 2023 Aug 4.
2
Delayed Diagnosis of Idiopathic Subglottic Stenosis.
Laryngoscope. 2022 Feb;132(2):413-418. doi: 10.1002/lary.29783. Epub 2021 Aug 9.
3
Idiopathic subglottic stenosis: a review.
J Thorac Dis. 2020 Mar;12(3):1100-1111. doi: 10.21037/jtd.2019.11.43.
4
Subglottic stenosis in pregnancy.
Br J Anaesth. 2008 Mar;100(3):385-8. doi: 10.1093/bja/aem391. Epub 2008 Jan 29.
5
Anesthetic management of emergent critical tracheal stenosis.
J Zhejiang Univ Sci B. 2007 Jul;8(7):522-5. doi: 10.1631/jzus.2007.B0522.
6
Dimensions of the normal human trachea.
AJR Am J Roentgenol. 1984 May;142(5):903-6. doi: 10.2214/ajr.142.5.903.

文献AI研究员

20分钟写一篇综述,助力文献阅读效率提升50倍。

立即体验

用中文搜PubMed

大模型驱动的PubMed中文搜索引擎

马上搜索

文档翻译

学术文献翻译模型,支持多种主流文档格式。

立即体验