Suppr超能文献

病理改变和碳氧血红蛋白评估作为兽医法医病理学中调查与火灾相关死亡的工具。

Pathological alterations and COHb evaluations as tools for investigating fire-related deaths in veterinary forensic pathology.

作者信息

Piegari Giuseppe, d'Aquino Ilaria, Salanti Giovanni Valerio, Russo Valeria, De Biase Davide, Caccia Giulia, Carfora Anna, Campobasso Carlo Pietro, Paciello Orlando

机构信息

Department of Veterinary Medicine and Animal Production, University of Naples Federico II, Naples, Italy.

Department of Pharmacy, University of Salerno, Fisciano, Salerno, Italy.

出版信息

Front Vet Sci. 2024 May 21;11:1396540. doi: 10.3389/fvets.2024.1396540. eCollection 2024.

Abstract

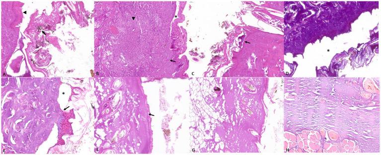
Fire-related deaths are usually a consequence of carbon monoxide (CO) poisoning or shock from thermal injuries. In humans, high levels of carboxyhemoglobin (COHb) concentrations in the blood can support a diagnosis of CO poisoning. In veterinary medicine, few studies investigated the pathological changes and blood COHb% in fire victims, and no data are available on post-mortem changes in blood gas composition due to fire. This study aims to investigate the pathological changes and COHb levels in both animal victims of fire and cadavers experimentally exposed to fire. For this purpose, dogs were selected and subdivided into three groups. Group A comprised 9 adult dogs, and Group B comprised 7 puppies that died under fire-related conditions. Group C was represented by 4 dog cadavers experimentally exposed to heat and smoke. A complete macroscopic, histological, and COHb evaluation were performed on each animal. Animals in Groups A and B showed cherry-red discoloration, thermal-injuries and soot deposits along the respiratory tract. Animals in Group C showed thermal injuries and soot deposits limited to the upper respiratory tract. The mean COHb% values in cadavers in Group C were lower than those observed in the other groups but higher compared to the values detected before the heat and smoke treatment. These findings suggest that both pathological changes and COHb analysis are valid tools for investigating fire-related deaths in dogs. However, the increase of COHb levels in cadavers exposed post-mortem to heat and smoke highlights how the COHb analysis should always be evaluated together with macroscopical and microscopical findings to avoid significant misjudgments in investigating fire-related fatalities in veterinary forensic practice.

摘要

与火灾相关的死亡通常是一氧化碳(CO)中毒或热损伤休克的结果。在人类中,血液中高浓度的碳氧血红蛋白(COHb)可支持一氧化碳中毒的诊断。在兽医学中,很少有研究调查火灾受害者的病理变化和血液中COHb%,也没有关于火灾导致的死后血气成分变化的数据。本研究旨在调查火灾动物受害者和实验性暴露于火灾的尸体的病理变化和COHb水平。为此,选择了狗并将其分为三组。A组包括9只成年狗,B组包括7只在与火灾相关的条件下死亡的幼犬。C组由4只实验性暴露于热和烟雾的狗尸体组成。对每只动物进行了完整的宏观、组织学和COHb评估。A组和B组的动物表现出樱桃红色变色、热损伤以及呼吸道有煤烟沉积。C组的动物热损伤和煤烟沉积仅限于上呼吸道。C组尸体的平均COHb%值低于其他组,但高于热和烟雾处理前检测到的值。这些发现表明,病理变化和COHb分析都是调查狗与火灾相关死亡的有效工具。然而,死后暴露于热和烟雾的尸体中COHb水平的升高凸显了在兽医法医实践中调查与火灾相关的死亡时,COHb分析应始终与宏观和微观发现一起评估,以避免重大误判。

https://cdn.ncbi.nlm.nih.gov/pmc/blobs/f06a/11148361/012c57611c6c/fvets-11-1396540-g001.jpg

相似文献

1
Pathological alterations and COHb evaluations as tools for investigating fire-related deaths in veterinary forensic pathology.
Front Vet Sci. 2024 May 21;11:1396540. doi: 10.3389/fvets.2024.1396540. eCollection 2024.
3
Fire deaths in Cape Town, South Africa: A retrospective review of medico-legal and toxicological findings (2006 - 2018).
Burns. 2024 May;50(4):1011-1023. doi: 10.1016/j.burns.2024.01.001. Epub 2024 Jan 12.
5
Swedish forensic data 1992-2009 suggest hydrogen cyanide as an important cause of death in fire victims.
Inhal Toxicol. 2012 Feb;24(3):194-9. doi: 10.3109/08958378.2012.660285.
6
Assessment of carboxyhemoglobin, hydrogen cyanide and methemoglobin in fire victims: a novel approach.
Forensic Sci Int. 2015 Nov;256:46-52. doi: 10.1016/j.forsciint.2015.08.010. Epub 2015 Aug 21.
8
Manner of Death Determination in Fire Fatalities: 5-Year Autopsy Data of Istanbul City.
Am J Forensic Med Pathol. 2017 Mar;38(1):59-68. doi: 10.1097/PAF.0000000000000292.
9
Epidemiology and forensic aspects of carbon monoxide intoxication in Portugal: A three years' analysis.
Forensic Sci Int. 2019 Jun;299:1-5. doi: 10.1016/j.forsciint.2019.03.016. Epub 2019 Mar 15.
10
Quantitative evaluation of volatile hydrocarbons in post-mortem blood in forensic autopsy cases of fire-related deaths.
Forensic Sci Int. 2012 Apr 10;217(1-3):71-5. doi: 10.1016/j.forsciint.2011.09.027. Epub 2011 Oct 22.

引用本文的文献

本文引用的文献

1
Autopsy findings in fire deaths in relation to manner of death: Analysis of autopsy records in Friuli, Italy (1993-2020).
Leg Med (Tokyo). 2024 Mar;67:102372. doi: 10.1016/j.legalmed.2023.102372. Epub 2023 Dec 21.
2
Homicides Disguised as Fire Deaths.
Acta Med Litu. 2023;30(1):86-96. doi: 10.15388/Amed.2023.30.1.10. Epub 2023 May 16.
3
Carboxyhemoglobin as a diagnostic and prognostic biomarker of hemolytic anemias in dogs.
J Vet Intern Med. 2023 Jan;37(1):110-116. doi: 10.1111/jvim.16617. Epub 2022 Dec 26.
4
Retrospective evaluation of carboxyhemoglobin and methemoglobin levels in dogs and cats with respiratory disease.
J Vet Emerg Crit Care (San Antonio). 2022 Sep;32(5):637-644. doi: 10.1111/vec.13202. Epub 2022 Apr 20.
5
Carbon Monoxide Poisoning.
Crit Care Clin. 2021 Jul;37(3):657-672. doi: 10.1016/j.ccc.2021.03.010.
6
Implication of the NLRP3 Inflammasome in Bovine Age-Related Sarcopenia.
Int J Mol Sci. 2021 Mar 30;22(7):3609. doi: 10.3390/ijms22073609.
7
Medical Examiner Review of the Characteristics of Fire-Related Homicides.
Acad Forensic Pathol. 2020 Jun;10(2):87-93. doi: 10.1177/1925362120964377. Epub 2020 Nov 25.
8
Diagnosis of Drowning and the Value of the Diatom Test in Veterinary Forensic Pathology.
Front Vet Sci. 2019 Nov 14;6:404. doi: 10.3389/fvets.2019.00404. eCollection 2019.
9
10
Investigation into the potential for post-mortem formation of carboxyhemoglobin in bodies retrieved from fires.
Forensic Sci Med Pathol. 2018 Sep;14(3):342-348. doi: 10.1007/s12024-018-9998-2. Epub 2018 Jul 4.

文献AI研究员

20分钟写一篇综述,助力文献阅读效率提升50倍。

立即体验

用中文搜PubMed

大模型驱动的PubMed中文搜索引擎

马上搜索

文档翻译

学术文献翻译模型,支持多种主流文档格式。

立即体验