Suppr超能文献

[肝脾结节病:刚果布拉柴维尔大学医院中心的一例病例描述]

[Hepatosplenic sarcoidosis: description of a case at the University hospital center of Brazzaville, Congo].

作者信息

Elira Dokekias Alexis, Adegbinni Akande M R, Galiba Atipotsiba Firmine Olivia, Ocini Ngolet Lydie, Mikouiyi Ngoulou Richard, Elira Samba Jennifer, Massamba Miabaou Didace, Moukassa Donatien

机构信息

Service d'hématologie clinique, CHU Brazzaville, et Centre national de référence de la drépanocytose « Antoinette SASSOU NGUESSO », Brazzaville, République du Congo.

Service de chirurgie digestive, CHU Brazzaville, République du Congo.

出版信息

Med Trop Sante Int. 2024 Feb 5;4(1). doi: 10.48327/mtsi.v4i1.2024.478. eCollection 2024 Mar 31.

Abstract

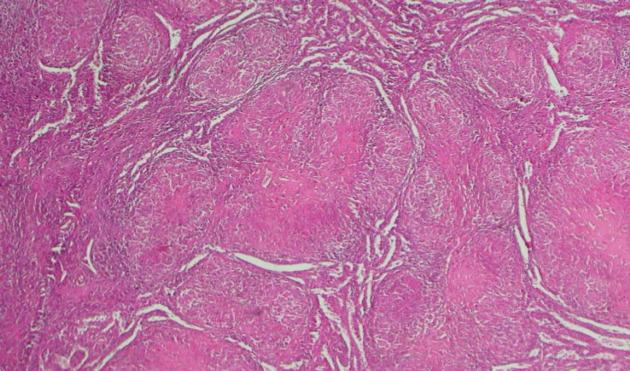
Sarcoidosis is a multisystem inflammatory disease of unknown etiology. The isolated extrapulmonary form is rare. We report the case of hepatosplenic sarcoidosis in a 29-year-old female patient.It is a patient with no notable medical history, who was seen in consultation for repeated epistaxis. Clinical examination noted nodular hepatomegaly associated with signs of portal hypertension and splenomegaly. Sedimentation rate, alkaline phosphatase, serum angiotensin converting enzyme, aminotransferases were high. Histological examination of the spleen and liver biopsy noted granulomatous inflammatory infiltration without cancerous lesion or tonsil stones.This picture is comparable with sarcoidosis, despite the absence of PET scans. The main challenge remains the differential diagnosis with other granulomatoses. Corticosteroid therapy is the first-line treatment, and after splenectomy the patient has achieved clinical and biological stability.

摘要

结节病是一种病因不明的多系统炎症性疾病。孤立的肺外形式较为罕见。我们报告一例29岁女性患者的肝脾结节病病例。该患者无明显病史,因反复鼻出血前来就诊。临床检查发现肝脏结节性肿大,并伴有门静脉高压和脾肿大的体征。血沉、碱性磷酸酶、血清血管紧张素转换酶、转氨酶均升高。脾脏和肝脏活检的组织学检查发现肉芽肿性炎症浸润,无癌性病变或扁桃体结石。尽管没有进行PET扫描,但此表现与结节病相符。主要挑战仍然是与其他肉芽肿病进行鉴别诊断。皮质类固醇疗法是一线治疗方法,脾切除术后患者已实现临床和生物学稳定。

https://cdn.ncbi.nlm.nih.gov/pmc/blobs/e902/11151900/68378c74a983/mtsi-04-5428-g001.jpg

文献AI研究员

20分钟写一篇综述,助力文献阅读效率提升50倍。

立即体验

用中文搜PubMed

大模型驱动的PubMed中文搜索引擎

马上搜索

文档翻译

学术文献翻译模型,支持多种主流文档格式。

立即体验