• 文献检索
  • 文档翻译
  • 深度研究
  • 学术资讯
  • Suppr Zotero 插件Zotero 插件
  • 邀请有礼
  • 套餐&价格
  • 历史记录
应用&插件
Suppr Zotero 插件Zotero 插件浏览器插件Mac 客户端Windows 客户端微信小程序
定价
高级版会员购买积分包购买API积分包
服务
文献检索文档翻译深度研究API 文档MCP 服务
关于我们
关于 Suppr公司介绍联系我们用户协议隐私条款
关注我们

Suppr 超能文献

核心技术专利:CN118964589B侵权必究
粤ICP备2023148730 号-1Suppr @ 2026

文献检索

告别复杂PubMed语法,用中文像聊天一样搜索,搜遍4000万医学文献。AI智能推荐,让科研检索更轻松。

立即免费搜索

文件翻译

保留排版,准确专业,支持PDF/Word/PPT等文件格式,支持 12+语言互译。

免费翻译文档

深度研究

AI帮你快速写综述,25分钟生成高质量综述,智能提取关键信息,辅助科研写作。

立即免费体验

上颌骨牙源性纤维黏液瘤的保守治疗:一例报告

Conservative Management of Odontogenic Fibromyxoma of the Maxilla: A Case Report.

作者信息

Hurkat Aditya, Sundaram Gidean A, Krishna Vinod K, Krishnan Murugesan, Kumar Santhosh P

机构信息

Oral and Maxillofacial Surgery, Saveetha Dental College and Hospitals, Saveetha Institute of Medical and Technical Sciences, Saveetha University, Chennai, IND.

出版信息

Cureus. 2024 May 6;16(5):e59763. doi: 10.7759/cureus.59763. eCollection 2024 May.

DOI:10.7759/cureus.59763
PMID:38846229
原文链接:https://pmc.ncbi.nlm.nih.gov/articles/PMC11153981/
Abstract

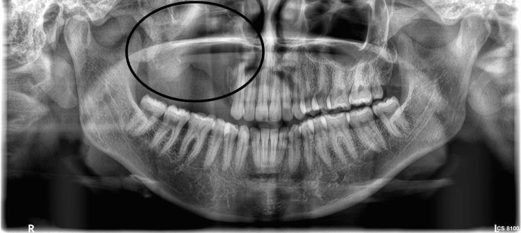
Odontogenic fibromyxoma typically presents as painless swelling in the jaw, and clinically, it grows slowly, becoming benign and asymptomatic. It causes the cortical plates to expand gradually, which leads to mobility and drifting of the teeth. Root resorption is also common. The tumor is locally aggressive in nature. It is also known to have a high recurrence rate. We present the case of a 30-year-old female patient who was diagnosed and treated for odontogenic fibromyxoma of the maxilla conservatively with enucleation. The radiograph showed a multilocular lesion, which can be confused with ameloblastoma, aneurysmal bone cyst, or odontogenic keratocyst. Hence, with proper clinical, radiographic, and histopathological examination, a correct diagnosis can be made and adequate treatment can be planned.

摘要

牙源性纤维黏液瘤通常表现为颌骨无痛性肿胀,临床上生长缓慢,呈良性且无症状。它导致皮质骨板逐渐扩张,进而引起牙齿松动和移位。牙根吸收也很常见。该肿瘤本质上具有局部侵袭性,且已知复发率高。我们报告一例30岁女性患者,她被诊断为上颌骨牙源性纤维黏液瘤,并通过摘除术进行了保守治疗。X线片显示为多房性病变,可能与成釉细胞瘤、动脉瘤样骨囊肿或牙源性角化囊肿相混淆。因此,通过适当的临床、影像学和组织病理学检查,可以做出正确诊断并制定适当的治疗方案。

https://cdn.ncbi.nlm.nih.gov/pmc/blobs/ae77/11153981/576b01b8d835/cureus-0016-00000059763-i09.jpg
https://cdn.ncbi.nlm.nih.gov/pmc/blobs/ae77/11153981/1ebdee13e380/cureus-0016-00000059763-i01.jpg
https://cdn.ncbi.nlm.nih.gov/pmc/blobs/ae77/11153981/73d7bc583702/cureus-0016-00000059763-i02.jpg
https://cdn.ncbi.nlm.nih.gov/pmc/blobs/ae77/11153981/59c720351856/cureus-0016-00000059763-i03.jpg
https://cdn.ncbi.nlm.nih.gov/pmc/blobs/ae77/11153981/b4893a774074/cureus-0016-00000059763-i04.jpg
https://cdn.ncbi.nlm.nih.gov/pmc/blobs/ae77/11153981/6aa885ca32e1/cureus-0016-00000059763-i05.jpg
https://cdn.ncbi.nlm.nih.gov/pmc/blobs/ae77/11153981/0184f631459d/cureus-0016-00000059763-i06.jpg
https://cdn.ncbi.nlm.nih.gov/pmc/blobs/ae77/11153981/bdc158e8ad64/cureus-0016-00000059763-i07.jpg
https://cdn.ncbi.nlm.nih.gov/pmc/blobs/ae77/11153981/211a613d3555/cureus-0016-00000059763-i08.jpg
https://cdn.ncbi.nlm.nih.gov/pmc/blobs/ae77/11153981/576b01b8d835/cureus-0016-00000059763-i09.jpg
https://cdn.ncbi.nlm.nih.gov/pmc/blobs/ae77/11153981/1ebdee13e380/cureus-0016-00000059763-i01.jpg
https://cdn.ncbi.nlm.nih.gov/pmc/blobs/ae77/11153981/73d7bc583702/cureus-0016-00000059763-i02.jpg
https://cdn.ncbi.nlm.nih.gov/pmc/blobs/ae77/11153981/59c720351856/cureus-0016-00000059763-i03.jpg
https://cdn.ncbi.nlm.nih.gov/pmc/blobs/ae77/11153981/b4893a774074/cureus-0016-00000059763-i04.jpg
https://cdn.ncbi.nlm.nih.gov/pmc/blobs/ae77/11153981/6aa885ca32e1/cureus-0016-00000059763-i05.jpg
https://cdn.ncbi.nlm.nih.gov/pmc/blobs/ae77/11153981/0184f631459d/cureus-0016-00000059763-i06.jpg
https://cdn.ncbi.nlm.nih.gov/pmc/blobs/ae77/11153981/bdc158e8ad64/cureus-0016-00000059763-i07.jpg
https://cdn.ncbi.nlm.nih.gov/pmc/blobs/ae77/11153981/211a613d3555/cureus-0016-00000059763-i08.jpg
https://cdn.ncbi.nlm.nih.gov/pmc/blobs/ae77/11153981/576b01b8d835/cureus-0016-00000059763-i09.jpg

相似文献

1
Conservative Management of Odontogenic Fibromyxoma of the Maxilla: A Case Report.上颌骨牙源性纤维黏液瘤的保守治疗:一例报告
Cureus. 2024 May 6;16(5):e59763. doi: 10.7759/cureus.59763. eCollection 2024 May.
2
Odontogenic fibromyxoma of maxilla: a rare case report.上颌骨牙源性纤维黏液瘤:1例罕见病例报告
Case Rep Dent. 2013;2013:345479. doi: 10.1155/2013/345479. Epub 2013 Mar 4.
3
Odontogenic fibromyxoma: A case report in myasthenia gravis patient and review of the literature.牙源性纤维黏液瘤:1例重症肌无力患者病例报告及文献复习
Int J Surg Case Rep. 2022 Jul;96:107306. doi: 10.1016/j.ijscr.2022.107306. Epub 2022 Jun 17.
4
A rare osteolytic lesion in the mandible: A diagnostic dilemma.下颌骨罕见的溶骨性病变:诊断难题。
J Oral Maxillofac Pathol. 2022 Jul-Sep;26(3):408-413. doi: 10.4103/jomfp.jomfp_385_21. Epub 2022 Oct 17.
5
Odontogenic myxoma of the maxilla: A report of a rare case and review on histogenetic and diagnostic concepts.上颌骨牙源性黏液瘤:1例罕见病例报告及组织发生学与诊断概念综述
Natl J Maxillofac Surg. 2011 Jul;2(2):189-95. doi: 10.4103/0975-5950.94480.
6
Odontogenic myxoma: An updated analysis of 1,692 cases reported in the literature.牙源性黏液瘤:文献中 1692 例病例的更新分析。
Oral Dis. 2019 Apr;25(3):676-683. doi: 10.1111/odi.12875. Epub 2018 Jun 8.
7
Report of a rare case of an odontogenic myxoma of the maxilla and review of literature.上颌骨牙源性黏液瘤1例罕见病例报告及文献复习
Ann Med Health Sci Res. 2014 Mar;4(Suppl 1):S45-8. doi: 10.4103/2141-9248.131716.
8
Odontogenic fibromyxoma of the maxilla: a case report and review of the literature.上颌骨牙源性纤维黏液瘤:一例病例报告及文献复习
Case Rep Med. 2011;2011:238712. doi: 10.1155/2011/238712. Epub 2011 May 2.
9
Central odontogenic fibroma of the maxilla.上颌骨中央性牙源性纤维瘤
Indian J Dent. 2015 Oct-Dec;6(4):217-20. doi: 10.4103/0975-962X.165051.
10
Odontogenic Myxoma of the Maxilla: A Report of Unusual Pediatric Case.上颌骨牙源性黏液瘤:一例罕见小儿病例报告。
Int J Clin Pediatr Dent. 2011 Sep-Dec;4(3):264-8. doi: 10.5005/jp-journals-10005-1123. Epub 2011 Apr 15.

引用本文的文献

1
Mandibular Odontogenic Fibromyxoma: A Case Report of Clinical and Radiographic Presentations.下颌牙源性纤维黏液瘤:临床及影像学表现病例报告
Cureus. 2025 Apr 9;17(4):e81981. doi: 10.7759/cureus.81981. eCollection 2025 Apr.
2
Conservative Management of Odontogenic Myxoma - A Case Report.牙源性黏液瘤的保守治疗——病例报告
Ann Maxillofac Surg. 2024 Jul-Dec;14(2):224-227. doi: 10.4103/ams.ams_38_24. Epub 2024 Aug 30.

本文引用的文献

1
Odontogenic Myxoma: Follow-Up of 13 cases after conservative surgical treatment and review of the literature.牙源性黏液瘤:13例保守性手术治疗后的随访及文献复习
J Clin Exp Dent. 2021 Jul 1;13(7):e637-e641. doi: 10.4317/jced.58080. eCollection 2021 Jul.
2
Maxillofacial Radiographic study of Gardner's syndrome presenting with odontogenic myxoma: A rare case report.以牙源性黏液瘤为表现的加德纳综合征的颌面放射学研究:1例罕见病例报告
Stomatologija. 2018;20(2):59-64.
3
Odontogenic myxoma: A causality dilemma - Report of a nonpareil case and review of literature.
牙源性黏液瘤:因果关系困境——1例罕见病例报告及文献综述
J Oral Maxillofac Pathol. 2018 Jan;22(Suppl 1):S2-S6. doi: 10.4103/jomfp.JOMFP_120_16.
4
Fibromyxoma of the Jaw: Case Report and Review of the Literature.颌骨纤维黏液瘤:病例报告及文献综述
Head Neck Pathol. 2018 Mar;12(1):44-51. doi: 10.1007/s12105-017-0823-0. Epub 2017 May 16.
5
Clinicopathologic analysis of 14 cases of odontogenic myxoma and review of the literature.14例牙源性黏液瘤的临床病理分析及文献复习
J Clin Exp Dent. 2017 Apr 1;9(4):e560-e563. doi: 10.4317/jced.52953. eCollection 2017 Apr.
6
Characteristic features of the odontogenic myxoma on cone beam computed tomography.锥形束计算机断层扫描上牙源性黏液瘤的特征
Dentomaxillofac Radiol. 2017 Feb;46(2):20160232. doi: 10.1259/dmfr.20160232. Epub 2016 Dec 12.
7
Central odontogenic fibromyxoma of mandible: an aggressive odontogenic pathology.下颌骨中央牙源性纤维黏液瘤:一种侵袭性牙源性病变。
BMJ Case Rep. 2016 Oct 28;2016:bcr2016217303. doi: 10.1136/bcr-2016-217303.
8
Multiple fibromyxomas of the jaws: A case report.颌骨多发性纤维黏液瘤:病例报告
Imaging Sci Dent. 2014 Sep;44(3):237-41. doi: 10.5624/isd.2014.44.3.237. Epub 2014 Sep 17.
9
Odontogenic fibromyxoma of maxilla: a rare case report.上颌骨牙源性纤维黏液瘤:1例罕见病例报告
Case Rep Dent. 2013;2013:345479. doi: 10.1155/2013/345479. Epub 2013 Mar 4.
10
Odontogenic fibromyxoma of the maxilla: a case report and review of the literature.上颌骨牙源性纤维黏液瘤:一例病例报告及文献复习
Case Rep Med. 2011;2011:238712. doi: 10.1155/2011/238712. Epub 2011 May 2.