• 文献检索
  • 文档翻译
  • 深度研究
  • 学术资讯
  • Suppr Zotero 插件Zotero 插件
  • 邀请有礼
  • 套餐&价格
  • 历史记录
应用&插件
Suppr Zotero 插件Zotero 插件浏览器插件Mac 客户端Windows 客户端微信小程序
定价
高级版会员购买积分包购买API积分包
服务
文献检索文档翻译深度研究API 文档MCP 服务
关于我们
关于 Suppr公司介绍联系我们用户协议隐私条款
关注我们

Suppr 超能文献

核心技术专利:CN118964589B侵权必究
粤ICP备2023148730 号-1Suppr @ 2026

文献检索

告别复杂PubMed语法,用中文像聊天一样搜索,搜遍4000万医学文献。AI智能推荐,让科研检索更轻松。

立即免费搜索

文件翻译

保留排版,准确专业,支持PDF/Word/PPT等文件格式,支持 12+语言互译。

免费翻译文档

深度研究

AI帮你快速写综述,25分钟生成高质量综述,智能提取关键信息,辅助科研写作。

立即免费体验

心脏结节病与巨细胞性心肌炎的临床与组织学交叉点

The Clinical and Histological Intersection of Cardiac Sarcoidosis and Giant Cell Myocarditis.

作者信息

Sharma Toishi, Wahlberg Kramer, Keating Friederike, Harhash Ahmed, Cooper Leslie T

机构信息

Cardiology, University of Vermont, Burlington, USA.

Internal Medicine, Mayo Clinic, Jacksonville, USA.

出版信息

Cureus. 2024 May 7;16(5):e59783. doi: 10.7759/cureus.59783. eCollection 2024 May.

DOI:10.7759/cureus.59783
PMID:38846240
原文链接:https://pmc.ncbi.nlm.nih.gov/articles/PMC11154654/
Abstract

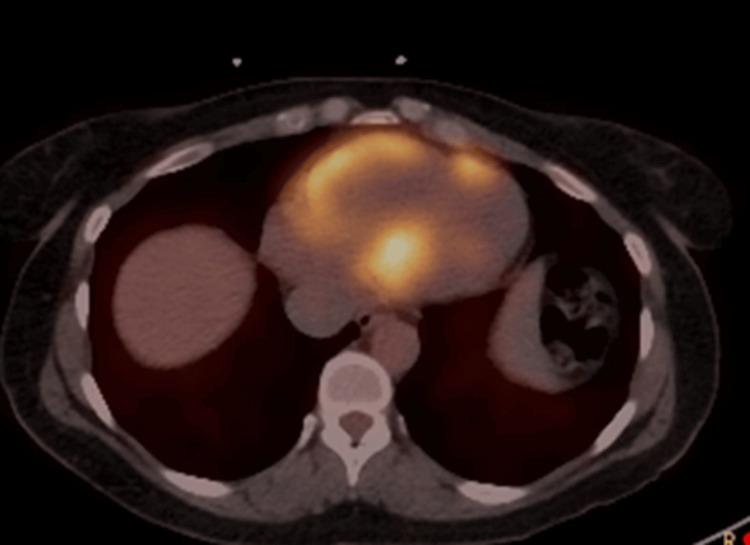
The clinical and imaging features of cardiac sarcoidosis (CS) and giant cell myocarditis (GCM) are occasionally indistinguishable. This is a case of heart block and ventricular tachycardia where cardiac MRI, fluorodeoxyglucose positron emission tomography (FDG-PET) and biopsy revealed intermediate clinicohistologic phenotype between CS and GCM. This highlights gaps in the management of overlap conditions.

摘要

心脏结节病(CS)和巨细胞性心肌炎(GCM)的临床及影像学特征有时难以区分。本文报告一例心脏传导阻滞和室性心动过速患者,心脏磁共振成像(MRI)、氟脱氧葡萄糖正电子发射断层扫描(FDG-PET)及活检显示其临床组织学表型介于CS和GCM之间。这凸显了重叠病症管理方面的差距。

https://cdn.ncbi.nlm.nih.gov/pmc/blobs/1333/11154654/381f8e5575d5/cureus-0016-00000059783-i04.jpg
https://cdn.ncbi.nlm.nih.gov/pmc/blobs/1333/11154654/4b81f05e0c00/cureus-0016-00000059783-i01.jpg
https://cdn.ncbi.nlm.nih.gov/pmc/blobs/1333/11154654/f93abacbcf69/cureus-0016-00000059783-i02.jpg
https://cdn.ncbi.nlm.nih.gov/pmc/blobs/1333/11154654/849bc53f52e8/cureus-0016-00000059783-i03.jpg
https://cdn.ncbi.nlm.nih.gov/pmc/blobs/1333/11154654/381f8e5575d5/cureus-0016-00000059783-i04.jpg
https://cdn.ncbi.nlm.nih.gov/pmc/blobs/1333/11154654/4b81f05e0c00/cureus-0016-00000059783-i01.jpg
https://cdn.ncbi.nlm.nih.gov/pmc/blobs/1333/11154654/f93abacbcf69/cureus-0016-00000059783-i02.jpg
https://cdn.ncbi.nlm.nih.gov/pmc/blobs/1333/11154654/849bc53f52e8/cureus-0016-00000059783-i03.jpg
https://cdn.ncbi.nlm.nih.gov/pmc/blobs/1333/11154654/381f8e5575d5/cureus-0016-00000059783-i04.jpg

相似文献

1
The Clinical and Histological Intersection of Cardiac Sarcoidosis and Giant Cell Myocarditis.心脏结节病与巨细胞性心肌炎的临床与组织学交叉点
Cureus. 2024 May 7;16(5):e59783. doi: 10.7759/cureus.59783. eCollection 2024 May.
2
Fulminant cardiac sarcoidosis resembling giant cell myocarditis: a case report.酷似巨细胞心肌炎的暴发性心脏结节病:一例报告
Eur Heart J Case Rep. 2021 Mar 10;5(3):ytab042. doi: 10.1093/ehjcr/ytab042. eCollection 2021 Mar.
3
Recurrent Cardiac Sarcoidosis and Giant Cell Myocarditis After Heart Transplant: A Case Report and Systematic Literature Review.心脏移植后复发性心脏结节病和巨细胞心肌炎:病例报告及系统文献复习。
Am J Cardiol. 2023 Nov 15;207:271-279. doi: 10.1016/j.amjcard.2023.08.005. Epub 2023 Sep 26.
4
Cardiac sarcoidosis and giant cell myocarditis as causes of atrioventricular block in young and middle-aged adults.心脏结节病和巨细胞性心肌炎导致年轻和中年成人房室传导阻滞。
Circ Arrhythm Electrophysiol. 2011 Jun;4(3):303-9. doi: 10.1161/CIRCEP.110.959254. Epub 2011 Mar 22.
5
Cardiac magnetic resonance in giant cell myocarditis: a matched comparison with cardiac sarcoidosis.巨细胞心肌炎的心脏磁共振:与心脏结节病的匹配比较。
Eur Heart J Cardiovasc Imaging. 2023 Mar 21;24(4):404-412. doi: 10.1093/ehjci/jeac265.
6
Diagnosis, management, and outcome of cardiac sarcoidosis and giant cell myocarditis: a Swedish single center experience.心脏结节病和巨细胞心肌炎的诊断、治疗和转归:瑞典单中心经验。
BMC Cardiovasc Disord. 2022 Apr 26;22(1):192. doi: 10.1186/s12872-022-02639-0.
7
Phenotyping of giant cell myocarditis versus cardiac sarcoidosis using cardiovascular magnetic resonance.应用心血管磁共振对巨细胞性心肌炎与心脏结节病进行表型分析。
Int J Cardiol. 2023 Sep 15;387:131143. doi: 10.1016/j.ijcard.2023.131143. Epub 2023 Jun 25.
8
Bidirectional Ventricular Tachycardia in a Patient With Fulminant Myocarditis Secondary to Cardiac Sarcoidosis Mimicking Giant Cell Myocarditis.一例继发于心脏结节病的暴发性心肌炎患者出现双向性室性心动过速,酷似巨细胞心肌炎。
CJC Open. 2021 Jul 14;3(12):1509-1512. doi: 10.1016/j.cjco.2021.07.007. eCollection 2021 Dec.
9
Idiopathic giant cell myocarditis and cardiac sarcoidosis.特发性巨细胞性心肌炎和心脏结节病。
Heart Fail Rev. 2013 Nov;18(6):733-46. doi: 10.1007/s10741-012-9358-3.
10
Progressive Thinning of the Basal Interventricular Septum by Giant Cell Myocarditis.巨细胞性心肌炎致室间隔基底部进行性变薄
JACC Case Rep. 2020 Jan 22;2(2):180-185. doi: 10.1016/j.jaccas.2019.11.036. eCollection 2020 Feb.

本文引用的文献

1
Cardiac magnetic resonance in giant cell myocarditis: a matched comparison with cardiac sarcoidosis.巨细胞心肌炎的心脏磁共振:与心脏结节病的匹配比较。
Eur Heart J Cardiovasc Imaging. 2023 Mar 21;24(4):404-412. doi: 10.1093/ehjci/jeac265.
2
Sarcoidosis-Related Cardiomyopathy: Current Knowledge, Challenges, and Future Perspectives State-of-the-Art Review.结节病相关性心肌病:现状、挑战与未来展望——综述
J Card Fail. 2022 Jan;28(1):113-132. doi: 10.1016/j.cardfail.2021.06.016. Epub 2021 Jul 11.
3
RNA-Sequencing Reveals a Distinct Transcriptomic Signature for Giant Cell Myocarditis and Identifies Novel Druggable Targets.
RNA测序揭示了巨细胞性心肌炎独特的转录组特征并鉴定出新型可成药靶点。
Circ Res. 2021 Jul 23;129(3):451-453. doi: 10.1161/CIRCRESAHA.121.319317. Epub 2021 Jun 14.
4
Heart Failure Association, Heart Failure Society of America, and Japanese Heart Failure Society Position Statement on Endomyocardial Biopsy.心力衰竭协会、美国心力衰竭学会和日本心力衰竭学会关于心内膜心肌活检的立场声明。
J Card Fail. 2021 Jul;27(7):727-743. doi: 10.1016/j.cardfail.2021.04.010. Epub 2021 May 19.
5
Manifestations and Outcome of Cardiac Sarcoidosis and Idiopathic Giant Cell Myocarditis by 25-Year Nationwide Cohorts.25 年全国队列研究:心肌结节病和特发性巨细胞心肌炎的临床表现和转归。
J Am Heart Assoc. 2021 Mar 16;10(6):e019415. doi: 10.1161/JAHA.120.019415. Epub 2021 Mar 4.
6
A clinical and histopathologic comparison of cardiac sarcoidosis and idiopathic giant cell myocarditis.心脏结节病与特发性巨细胞心肌炎的临床及组织病理学比较
J Am Coll Cardiol. 2003 Jan 15;41(2):322-9. doi: 10.1016/s0735-1097(02)02715-8.
7
Underlying causes and long-term survival in patients with initially unexplained cardiomyopathy.初始病因不明的心肌病患者的潜在病因及长期生存情况
N Engl J Med. 2000 Apr 13;342(15):1077-84. doi: 10.1056/NEJM200004133421502.