• 文献检索
  • 文档翻译
  • 深度研究
  • 学术资讯
  • Suppr Zotero 插件Zotero 插件
  • 邀请有礼
  • 套餐&价格
  • 历史记录
应用&插件
Suppr Zotero 插件Zotero 插件浏览器插件Mac 客户端Windows 客户端微信小程序
定价
高级版会员购买积分包购买API积分包
服务
文献检索文档翻译深度研究API 文档MCP 服务
关于我们
关于 Suppr公司介绍联系我们用户协议隐私条款
关注我们

Suppr 超能文献

核心技术专利:CN118964589B侵权必究
粤ICP备2023148730 号-1Suppr @ 2026

文献检索

告别复杂PubMed语法,用中文像聊天一样搜索,搜遍4000万医学文献。AI智能推荐,让科研检索更轻松。

立即免费搜索

文件翻译

保留排版,准确专业,支持PDF/Word/PPT等文件格式,支持 12+语言互译。

免费翻译文档

深度研究

AI帮你快速写综述,25分钟生成高质量综述,智能提取关键信息,辅助科研写作。

立即免费体验

急性胆囊炎合并胆血症及Mirizzi样梗阻1例罕见病例:病例报告及文献复习

An unusual case of acute cholecystitis complicated by haemobilia and Mirizzi-like obstruction: a case report and review of literature.

作者信息

Khawjah Ahmed, Khair Mugahid M, Goubran R

机构信息

Letterkenny University Hospital, Letterkenny, Co. Donegal.

Galway University Hospital, Co. Galway, Ireland.

出版信息

Ann Med Surg (Lond). 2024 Apr 23;86(6):3646-3651. doi: 10.1097/MS9.0000000000002038. eCollection 2024 Jun.

DOI:10.1097/MS9.0000000000002038
PMID:38846883
原文链接:https://pmc.ncbi.nlm.nih.gov/articles/PMC11152821/
Abstract

INTRODUCTION

Cystic artery pseudoaneurysm rupture presents a rare yet potentially fatal aetiology for upper gastrointestinal (GI) bleed. While uncommon, its incidence has been rising with increased hepatobiliary surgical interventions, predominantly attributed to iatrogenic injury and rarely secondary to acute cholecystitis. Clinical manifestations typically include epigastric pain, upper GI haemorrhage, and obstructive jaundice. Due to its rarity, it is often excluded from initial differential diagnoses.

CASE REPORT

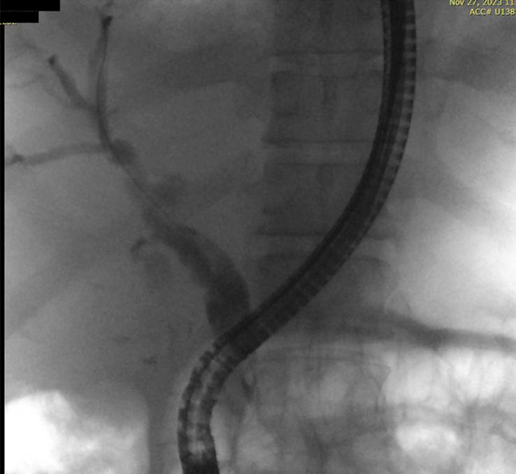
This is an unusual case of a 54-year-old male who presented with acute cholecystitis complicated by haemobilia and Mirizzi-like obstruction, in the setting of cystic artery pseudoaneurysm rupture. Initially, urgent transcatheter angiographic embolization of the cystic artery was performed to achieve hemodynamic stability. However, a triphasic computed tomography (CT) scan revealed the first attempt was unsuccessful, necessitating a second embolization. Subsequent imaging confirmed satisfactory embolization; however, a small area of liver necrosis was observed adjacent to the gallbladder. The patient was stable at discharge from the hospital and had an uncomplicated interval cholecystectomy.

DISCUSSION

This case highlights the complexity and challenges associated with diagnosing and managing cystic artery pseudoaneurysm rupture. Diagnosis often relies on arterial phase contrast-enhanced CT scan. While no guideline currently exist, management typically involves achieving hemodynamic stability through Transcatheter angiographic embolization, followed by interval cholecystectomy.

CONCLUSION

Early recognition and intervention are crucial in managing cystic artery pseudoaneurysm rupture to prevent life-threatening haemorrhagic shock. Clinicians need to consider this rare condition in patients with upper GI bleeding and abnormal liver function tests.

摘要

引言

胆囊动脉假性动脉瘤破裂是上消化道(GI)出血的一种罕见但可能致命的病因。虽然不常见,但其发病率随着肝胆外科手术干预的增加而上升,主要归因于医源性损伤,很少继发于急性胆囊炎。临床表现通常包括上腹部疼痛、上消化道出血和梗阻性黄疸。由于其罕见性,在最初的鉴别诊断中常常被排除。

病例报告

这是一例不同寻常的病例,一名54岁男性患者,表现为急性胆囊炎并发胆道出血和Mirizzi样梗阻,同时存在胆囊动脉假性动脉瘤破裂。最初,对胆囊动脉进行了紧急经导管血管造影栓塞术以实现血流动力学稳定。然而,三相计算机断层扫描(CT)显示首次尝试未成功,需要进行第二次栓塞。随后的影像学检查证实栓塞效果满意;然而,在胆囊附近观察到一小片肝坏死区域。患者出院时情况稳定,并顺利进行了择期胆囊切除术。

讨论

该病例突出了诊断和处理胆囊动脉假性动脉瘤破裂所涉及的复杂性和挑战。诊断通常依赖于动脉期增强CT扫描。虽然目前尚无指南,但治疗通常包括通过经导管血管造影栓塞术实现血流动力学稳定,随后进行择期胆囊切除术。

结论

早期识别和干预对于处理胆囊动脉假性动脉瘤破裂以预防危及生命的失血性休克至关重要。临床医生在患有上消化道出血和肝功能检查异常的患者中需要考虑这种罕见情况。

https://cdn.ncbi.nlm.nih.gov/pmc/blobs/0d40/11152821/4c0c2cf3bdc7/ms9-86-3646-g007.jpg
https://cdn.ncbi.nlm.nih.gov/pmc/blobs/0d40/11152821/05f40e082b96/ms9-86-3646-g001.jpg
https://cdn.ncbi.nlm.nih.gov/pmc/blobs/0d40/11152821/a36c7465c8a3/ms9-86-3646-g002.jpg
https://cdn.ncbi.nlm.nih.gov/pmc/blobs/0d40/11152821/9af3fa115b8a/ms9-86-3646-g003.jpg
https://cdn.ncbi.nlm.nih.gov/pmc/blobs/0d40/11152821/2c99ffa79c0f/ms9-86-3646-g004.jpg
https://cdn.ncbi.nlm.nih.gov/pmc/blobs/0d40/11152821/0f64e4b6c32c/ms9-86-3646-g005.jpg
https://cdn.ncbi.nlm.nih.gov/pmc/blobs/0d40/11152821/540c1e370000/ms9-86-3646-g006.jpg
https://cdn.ncbi.nlm.nih.gov/pmc/blobs/0d40/11152821/4c0c2cf3bdc7/ms9-86-3646-g007.jpg
https://cdn.ncbi.nlm.nih.gov/pmc/blobs/0d40/11152821/05f40e082b96/ms9-86-3646-g001.jpg
https://cdn.ncbi.nlm.nih.gov/pmc/blobs/0d40/11152821/a36c7465c8a3/ms9-86-3646-g002.jpg
https://cdn.ncbi.nlm.nih.gov/pmc/blobs/0d40/11152821/9af3fa115b8a/ms9-86-3646-g003.jpg
https://cdn.ncbi.nlm.nih.gov/pmc/blobs/0d40/11152821/2c99ffa79c0f/ms9-86-3646-g004.jpg
https://cdn.ncbi.nlm.nih.gov/pmc/blobs/0d40/11152821/0f64e4b6c32c/ms9-86-3646-g005.jpg
https://cdn.ncbi.nlm.nih.gov/pmc/blobs/0d40/11152821/540c1e370000/ms9-86-3646-g006.jpg
https://cdn.ncbi.nlm.nih.gov/pmc/blobs/0d40/11152821/4c0c2cf3bdc7/ms9-86-3646-g007.jpg

相似文献

1
An unusual case of acute cholecystitis complicated by haemobilia and Mirizzi-like obstruction: a case report and review of literature.急性胆囊炎合并胆血症及Mirizzi样梗阻1例罕见病例:病例报告及文献复习
Ann Med Surg (Lond). 2024 Apr 23;86(6):3646-3651. doi: 10.1097/MS9.0000000000002038. eCollection 2024 Jun.
2
Emergency cholecystectomy and hepatic arterial repair in a patient presenting with haemobilia and massive gastrointestinal haemorrhage due to a spontaneous cystic artery gallbladder fistula masquerading as a pseudoaneurysm.因自发性胆囊动脉瘘(假性动脉瘤)导致胆血反流和大量胃肠道出血的患者行急诊胆囊切除术和肝动脉修复术。
BMC Gastroenterol. 2013 Mar 3;13:43. doi: 10.1186/1471-230X-13-43.
3
Unruptured cystic artery pseudoaneurysm accompanied by Mirizzi syndrome: a report of a case.未破裂的胆囊动脉假性动脉瘤伴Mirizzi综合征:一例报告
Clin J Gastroenterol. 2013 Dec;6(6):490-5. doi: 10.1007/s12328-013-0434-6. Epub 2013 Nov 5.
4
Cystic artery pseudoaneurysm secondary to acute cholecystitis: an unusual cause for haemobilia.急性胆囊炎继发胆囊动脉假性动脉瘤:血胆症的一种罕见病因。
BJR Case Rep. 2016 May 24;2(2):20150423. doi: 10.1259/bjrcr.20150423. eCollection 2016.
5
A case of Mirizzi syndrome accompanied by a pseudoaneurysm that ruptured into the gallbladder: successfully treated by embolization of aneurysm and sequential surgery.1例Mirizzi综合征合并假性动脉瘤破裂入胆囊:经动脉瘤栓塞及序贯手术成功治疗
Surg Case Rep. 2022 Jun 14;8(1):111. doi: 10.1186/s40792-022-01467-w.
6
Successful management of a ruptured cystic artery pseudoaneurysm with embolization and cholecystectomy: A case report.经栓塞和胆囊切除术成功治疗破裂的胆囊动脉假性动脉瘤:一例报告
Clin Case Rep. 2024 Sep 15;12(9):e9427. doi: 10.1002/ccr3.9427. eCollection 2024 Sep.
7
Case report: cystic artery pseudoaneurysm presenting as a massive per rectum bleed treated with percutaneous coil embolization.病例报告:表现为经皮弹簧圈栓塞治疗的大量直肠周围出血的囊性动脉假性动脉瘤。
CVIR Endovasc. 2020 Jan 15;3(1):8. doi: 10.1186/s42155-019-0090-0.
8
Upper gastrointestinal bleeding: A rare complication of acute cholecystitis.上消化道出血:急性胆囊炎的一种罕见并发症。
Int J Surg Case Rep. 2013;4(9):761-4. doi: 10.1016/j.ijscr.2013.05.016. Epub 2013 Jun 15.
9
A pseudoaneurysm of the right hepatic artery treated successfully with a stent graft - A case report.一例成功采用覆膜支架治疗的右肝动脉假性动脉瘤——病例报告
Int J Surg Case Rep. 2020;77:407-411. doi: 10.1016/j.ijscr.2020.11.033. Epub 2020 Nov 11.
10
A rare cause of upper gastrointestinal haemorrhage: Ruptured cystic artery pseudoaneurysm with concurrent cholecystojejunal fistula.上消化道出血的罕见病因:破裂的胆囊动脉假性动脉瘤并发胆囊空肠瘘。
Int J Surg Case Rep. 2014;5(1):1-4. doi: 10.1016/j.ijscr.2013.11.005. Epub 2013 Nov 20.

本文引用的文献

1
Hemobilia in the setting of cystic artery pseudoaneurysm secondary to type I Mirizzi syndrome.继发于Ⅰ型 Mirizzi 综合征的胆囊动脉假性动脉瘤导致的胆血征。
Clin J Gastroenterol. 2023 Aug;16(4):605-609. doi: 10.1007/s12328-023-01806-w. Epub 2023 May 2.
2
The SCARE 2023 guideline: updating consensus Surgical CAse REport (SCARE) guidelines.SCARE 2023 指南:更新共识外科病例报告(SCARE)指南。
Int J Surg. 2023 May 1;109(5):1136-1140. doi: 10.1097/JS9.0000000000000373.
3
Cystic Artery Pseudoaneurysm: Current Review of Aetiology, Presentation, and Management.
胆囊动脉假性动脉瘤:病因、临床表现及治疗的最新综述
Surg Res Pract. 2021 Nov 24;2021:4492206. doi: 10.1155/2021/4492206. eCollection 2021.
4
Cystic artery pseudoaneurysm-a rare complication of acute cholecystitis: review of literature.胆囊动脉假性动脉瘤——急性胆囊炎的罕见并发症:文献复习。
Surg Endosc. 2022 Feb;36(2):871-880. doi: 10.1007/s00464-021-08796-1. Epub 2021 Nov 22.
5
Case report: cystic artery pseudoaneurysm presenting as a massive per rectum bleed treated with percutaneous coil embolization.病例报告:表现为经皮弹簧圈栓塞治疗的大量直肠周围出血的囊性动脉假性动脉瘤。
CVIR Endovasc. 2020 Jan 15;3(1):8. doi: 10.1186/s42155-019-0090-0.
6
Rupture of Cystic Artery Pseudoaneurysm: a Rare Complication of Acute Cholecystitis.胆囊动脉假性动脉瘤破裂:急性胆囊炎的一种罕见并发症。
Indian J Surg. 2018 Feb;80(1):87-89. doi: 10.1007/s12262-017-1667-2. Epub 2017 Jun 28.
7
A case of a cystic artery arising from the superior mesenteric artery with abnormal branching of the celiac trunk.一例肠系膜上动脉发出胆囊动脉且腹腔干分支异常的病例。
BMC Res Notes. 2017 Oct 30;10(1):526. doi: 10.1186/s13104-017-2858-4.
8
Acute hemobilia from a pseudoaneurysm of the cystic artery arising from the left hepatic artery: Case report and literature review.源于左肝动脉的胆囊动脉假性动脉瘤所致急性胆道出血:病例报告及文献复习
Int J Surg Case Rep. 2017;37:60-64. doi: 10.1016/j.ijscr.2017.06.014. Epub 2017 Jun 13.
9
Emergency Versus Delayed Cholecystectomy After Percutaneous Transhepatic Gallbladder Drainage in Grade II Acute Cholecystitis Patients.II级急性胆囊炎患者经皮经肝胆囊引流术后急诊与延迟胆囊切除术的比较
J Gastrointest Surg. 2017 Feb;21(2):284-293. doi: 10.1007/s11605-016-3304-y. Epub 2016 Oct 24.
10
Transarterial catheter embolisation for an unusual cause of upper gastrointestinal haemorrhage.经动脉导管栓塞术治疗上消化道出血的罕见病因。
BMJ Case Rep. 2015 May 28;2015:bcr2014206837. doi: 10.1136/bcr-2014-206837.