Suppr超能文献

伽玛刀立体定向放射外科治疗脑转移瘤后严重的气压性颅骨:病例报告及文献复习。

Severe pneumocranium after gamma knife stereotactic radiosurgery for brain metastasis: A case report and literature review.

机构信息

Department of Neurosurgery, China Medical University Hospital, Taichung City, Taiwan (R.O.C.).

出版信息

Medicine (Baltimore). 2024 Jun 7;103(23):e38464. doi: 10.1097/MD.0000000000038464.

Abstract

RATIONALE

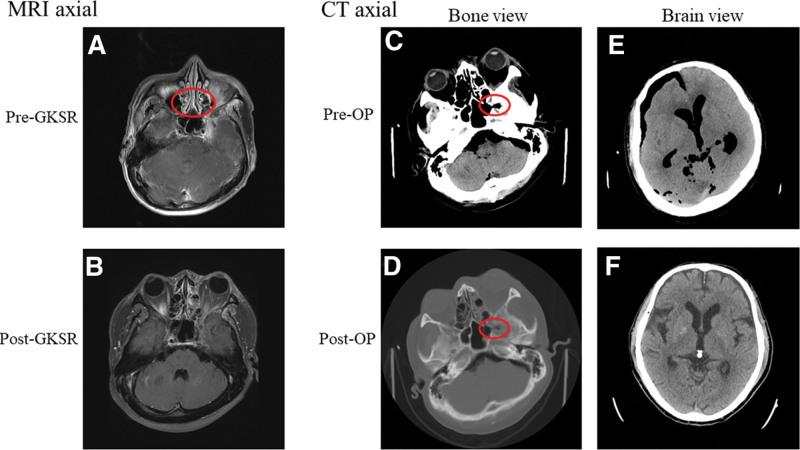
Gamma knife stereotactic radiosurgery (GKRS) is a recognized safe and effective treatment for brain metastasis; however, some complications can present significant clinical challenges. This case report highlights a rare occurrence of cerebrospinal fluid (CSF) leakage and pneumocranium following GKRS, emphasizing the need for awareness and prompt management of these complications.

PATIENT CONCERNS

A 35-year-old male with a history of malignant neoplasm of the lip in 2015 and perineural spread of malignancy into the left cavernous sinus was treated with GKRS in 2017. The patient was admitted emergently 39 days after discharge due to persistent headache and dizziness.

DIAGNOSES

Brain computed tomography (CT) revealed diffuse bilateral pneumocranium alongside an observation of CSF leakage.

INTERVENTIONS

A surgical procedure involving a left frontal-temporal craniotomy was performed to excise a residual skull base tumor and repair the dura, guided by a navigator system. The conclusive pathological assessment revealed the presence of squamous cell carcinoma markers.

OUTCOMES

The patient exhibited excellent tolerance to the entire procedure and experienced a prompt and uneventful recovery process. After surgery, the symptoms alleviated and CSF leak stopped. The follow-up image showed the pneumocranium resolved.

LESSONS

Pneumocranium due to early-stage post-GKRS is uncommon. The rapid tumor shrinkage and timing of brain metastasis spreading through the dura can lead to CSF leak and pneumocranium. We reviewed current treatment options and presented a successful craniotomy-based dura repair case.

摘要

背景

伽玛刀立体定向放射外科(GKRS)是一种公认的安全有效的脑转移瘤治疗方法;然而,一些并发症可能会带来严重的临床挑战。本病例报告强调了 GKRS 后罕见的脑脊液(CSF)漏和气颅现象,强调了对此类并发症的认识和及时处理的必要性。

患者关注

一位 35 岁男性,2015 年患有唇部恶性肿瘤,恶性肿瘤向左侧海绵窦神经周围扩散,于 2017 年接受 GKRS 治疗。患者在出院后 39 天因持续性头痛和头晕而紧急入院。

诊断

脑计算机断层扫描(CT)显示弥漫性双侧气颅,同时观察到 CSF 漏。

干预措施

在导航系统的引导下,进行了左额颞部开颅手术,切除残留的颅底肿瘤并修复硬脑膜。最终的病理评估显示存在鳞状细胞癌标志物。

结果

患者对整个手术过程耐受良好,恢复迅速顺利。手术后,症状缓解,CSF 漏停止。随访图像显示气颅得到解决。

教训

GKRS 后早期发生气颅并不常见。肿瘤的快速缩小和脑转移通过硬脑膜扩散的时间可能导致 CSF 漏和气颅。我们回顾了目前的治疗选择,并报告了一个成功的基于开颅术的硬脑膜修复病例。

https://cdn.ncbi.nlm.nih.gov/pmc/blobs/8a94/11155530/31b255188d7b/medi-103-e38464-g001.jpg

文献AI研究员

20分钟写一篇综述,助力文献阅读效率提升50倍。

立即体验

用中文搜PubMed

大模型驱动的PubMed中文搜索引擎

马上搜索

文档翻译

学术文献翻译模型,支持多种主流文档格式。

立即体验