• 文献检索
  • 文档翻译
  • 深度研究
  • 学术资讯
  • Suppr Zotero 插件Zotero 插件
  • 邀请有礼
  • 套餐&价格
  • 历史记录
应用&插件
Suppr Zotero 插件Zotero 插件浏览器插件Mac 客户端Windows 客户端微信小程序
定价
高级版会员购买积分包购买API积分包
服务
文献检索文档翻译深度研究API 文档MCP 服务
关于我们
关于 Suppr公司介绍联系我们用户协议隐私条款
关注我们

Suppr 超能文献

核心技术专利:CN118964589B侵权必究
粤ICP备2023148730 号-1Suppr @ 2026

文献检索

告别复杂PubMed语法,用中文像聊天一样搜索,搜遍4000万医学文献。AI智能推荐,让科研检索更轻松。

立即免费搜索

文件翻译

保留排版,准确专业,支持PDF/Word/PPT等文件格式,支持 12+语言互译。

免费翻译文档

深度研究

AI帮你快速写综述,25分钟生成高质量综述,智能提取关键信息,辅助科研写作。

立即免费体验

生存结局和世界卫生组织 2 级和 3 级岛叶胶质瘤的预测因素:基于肿瘤扩散的分类。

Survival outcome and predictors of WHO grade 2 and 3 insular gliomas: A classification based on the tumor spread.

机构信息

Department of Neurosurgery, Beijing Tiantan Hospital, Capital Medical University, Beijing, China.

China National Clinical Research Center for Neurological Diseases, Beijing, China.

出版信息

Cancer Med. 2024 Jun;13(11):e7377. doi: 10.1002/cam4.7377.

DOI:10.1002/cam4.7377
PMID:38850123
原文链接:https://pmc.ncbi.nlm.nih.gov/articles/PMC11161818/
Abstract

OBJECTIVE

The study aimed to identify if clinical features and survival outcomes of insular glioma patients are associated with our classification based on the tumor spread.

METHODS

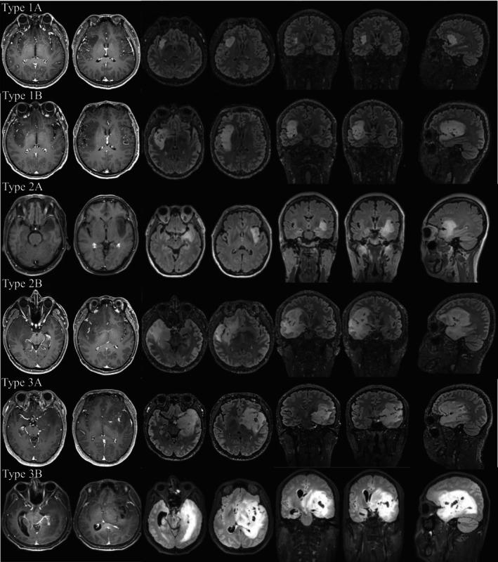
Our study included 283 consecutive patients diagnosed with histological grade 2 and 3 insular gliomas. A new classification was proposed, and tumors restricted to the paralimbic system were defined as type 1. When tumors invaded the limbic system (referred to as the hippocampus and its surrounding structures in this study) simultaneously, they were defined as type 2. Tumors with additional internal capsule involvement were defined as type 3.

RESULTS

Tumors defined as type 3 had a higher age at diagnosis (p = 0.002) and a higher preoperative volume (p < 0.001). Furthermore, type 3 was more likely to be diagnosed as IDH wild type (p < 0.001), with a higher rate of Ki-67 index (p = 0.015) and a lower rate of gross total resection (p < 0.001). Type 1 had a slower tumor growth rate than type 2 (mean 3.3%/month vs. 19.8%/month; p < 0.001). Multivariate Cox regression analysis revealed the extent of resection (HR 0.259, p = 0.004), IDH status (HR 3.694, p = 0.012), and tumor spread type (HR = 1.874, p = 0.012) as independent predictors of overall survival (OS). Tumor grade (HR 2.609, p = 0.008), the extent of resection (HR 0.488, p = 0.038), IDH status (HR 2.225, p = 0.025), and tumor spread type (HR 1.531, p = 0.038) were significant in predicting progression-free survival (PFS).

CONCLUSION

The current study proposes a classification of the insular glioma according to the tumor spread. It indicates that the tumors defined as type 1 have a relatively better nature and biological characteristics, and those defined as type 3 can be more aggressive and refractory. Besides its predictive value for prognosis, the classification has potential value in formulating surgical strategies for patients with insular gliomas.

摘要

目的

本研究旨在确定岛叶胶质瘤患者的临床特征和生存结局是否与我们基于肿瘤扩散的分类有关。

方法

我们的研究纳入了 283 例组织学 2 级和 3 级岛叶胶质瘤患者。提出了一种新的分类方法,将仅限于边缘系统的肿瘤定义为 1 型。当肿瘤同时侵犯边缘系统(在本研究中指海马及其周围结构)时,定义为 2 型。肿瘤伴有额外的内囊受累,定义为 3 型。

结果

诊断为 3 型的肿瘤患者诊断时年龄较大(p=0.002),术前体积较大(p<0.001)。此外,3 型更可能被诊断为 IDH 野生型(p<0.001),Ki-67 指数较高(p=0.015),大体全切除率较低(p<0.001)。1 型肿瘤的生长速度比 2 型慢(平均增长率为 3.3%/月 vs. 19.8%/月;p<0.001)。多变量 Cox 回归分析显示,切除范围(HR 0.259,p=0.004)、IDH 状态(HR 3.694,p=0.012)和肿瘤扩散类型(HR=1.874,p=0.012)是总生存(OS)的独立预测因素。肿瘤分级(HR 2.609,p=0.008)、切除范围(HR 0.488,p=0.038)、IDH 状态(HR 2.225,p=0.025)和肿瘤扩散类型(HR 1.531,p=0.038)对无进展生存(PFS)有显著影响。

结论

本研究根据肿瘤扩散提出了一种岛叶胶质瘤分类方法。结果表明,定义为 1 型的肿瘤具有相对较好的性质和生物学特征,而定义为 3 型的肿瘤可能更具侵袭性和难治性。除了对预后有预测价值外,该分类方法对制定岛叶胶质瘤患者的手术策略具有潜在价值。

https://cdn.ncbi.nlm.nih.gov/pmc/blobs/d547/11161818/c79c1f55beab/CAM4-13-e7377-g003.jpg
https://cdn.ncbi.nlm.nih.gov/pmc/blobs/d547/11161818/2ebe0c5c9c56/CAM4-13-e7377-g004.jpg
https://cdn.ncbi.nlm.nih.gov/pmc/blobs/d547/11161818/6dddceef7f1b/CAM4-13-e7377-g001.jpg
https://cdn.ncbi.nlm.nih.gov/pmc/blobs/d547/11161818/31df68422391/CAM4-13-e7377-g002.jpg
https://cdn.ncbi.nlm.nih.gov/pmc/blobs/d547/11161818/c79c1f55beab/CAM4-13-e7377-g003.jpg
https://cdn.ncbi.nlm.nih.gov/pmc/blobs/d547/11161818/2ebe0c5c9c56/CAM4-13-e7377-g004.jpg
https://cdn.ncbi.nlm.nih.gov/pmc/blobs/d547/11161818/6dddceef7f1b/CAM4-13-e7377-g001.jpg
https://cdn.ncbi.nlm.nih.gov/pmc/blobs/d547/11161818/31df68422391/CAM4-13-e7377-g002.jpg
https://cdn.ncbi.nlm.nih.gov/pmc/blobs/d547/11161818/c79c1f55beab/CAM4-13-e7377-g003.jpg

相似文献

1
Survival outcome and predictors of WHO grade 2 and 3 insular gliomas: A classification based on the tumor spread.生存结局和世界卫生组织 2 级和 3 级岛叶胶质瘤的预测因素:基于肿瘤扩散的分类。
Cancer Med. 2024 Jun;13(11):e7377. doi: 10.1002/cam4.7377.
2
Subgroup characteristics of insular low-grade glioma based on clinical and molecular analysis of 42 cases.基于42例岛叶低级别胶质瘤临床及分子分析的亚组特征
J Neurooncol. 2016 Feb;126(3):499-507. doi: 10.1007/s11060-015-1989-5. Epub 2015 Nov 19.
3
Transcortical insular glioma resection: clinical outcome and predictors.岛叶胶质瘤经皮层切除术:临床疗效及预后因素。
J Neurosurg. 2018 Oct 19;131(3):706-716. doi: 10.3171/2018.4.JNS18424. Print 2019 Sep 1.
4
Putamen involvement and survival outcomes in patients with insular low-grade gliomas.壳核累及与岛叶低级别胶质瘤患者的生存结局。
J Neurosurg. 2017 Jun;126(6):1788-1794. doi: 10.3171/2016.5.JNS1685. Epub 2016 Aug 26.
5
Neuro-radiological characteristics of adult diffuse grade II and III insular gliomas classified according to WHO 2016.根据世界卫生组织 2016 年分类,成人弥漫性 II 级和 III 级岛叶胶质瘤的神经放射学特征。
J Neurooncol. 2019 May;142(3):511-520. doi: 10.1007/s11060-019-03122-1. Epub 2019 Feb 11.
6
Surgical assessment of the insula. Part 2: validation of the Berger-Sanai zone classification system for predicting extent of glioma resection.脑岛的手术评估。第2部分:用于预测胶质瘤切除范围的伯杰 - 萨奈区域分类系统的验证
J Neurosurg. 2016 Feb;124(2):482-8. doi: 10.3171/2015.4.JNS1521. Epub 2015 Sep 4.
7
Insular glioma resection: assessment of patient morbidity, survival, and tumor progression.岛叶胶质瘤切除术:患者发病率、生存率和肿瘤进展评估。
J Neurosurg. 2010 Jan;112(1):1-9. doi: 10.3171/2009.6.JNS0952.
8
Surgical management of lower-grade glioma in the spotlight of the 2016 WHO classification system.2016 年世界卫生组织分类系统关注低级别胶质瘤的手术治疗。
J Neurooncol. 2019 Jan;141(1):223-233. doi: 10.1007/s11060-018-03030-w. Epub 2018 Nov 22.
9
Genomic Prognosticators and Extent of Resection in Molecularly Subtyped World Health Organization Grade II and III Gliomas-A Single-Institution, Nine-Year Data.分子亚型世界卫生组织分级 II 和 III 级胶质瘤的基因组预后因子和切除范围-单机构,九年数据。
World Neurosurg. 2021 Jul;151:e217-e233. doi: 10.1016/j.wneu.2021.04.026. Epub 2021 Apr 15.
10
Volumetric Analysis of Extent of Resection, Survival, and Surgical Outcomes for Insular Gliomas.岛叶胶质瘤切除范围、生存率及手术结果的容积分析
World Neurosurg. 2017 Jul;103:265-274. doi: 10.1016/j.wneu.2017.04.002. Epub 2017 Apr 10.

引用本文的文献

1
Added prognostic value of histogram features from preoperative multi-modal diffusion MRI in predicting Ki-67 proliferation for adult-type diffuse gliomas.术前多模态扩散磁共振成像的直方图特征在预测成人型弥漫性胶质瘤Ki-67增殖方面的附加预后价值。
Quant Imaging Med Surg. 2025 Sep 1;15(9):8423-8439. doi: 10.21037/qims-2025-242. Epub 2025 Aug 19.
2
MRI transformer deep learning and radiomics for predicting IDH wild type TERT promoter mutant gliomas.用于预测异柠檬酸脱氢酶野生型、端粒酶逆转录酶启动子突变型胶质瘤的磁共振成像变压器深度学习与放射组学
NPJ Precis Oncol. 2025 Mar 27;9(1):89. doi: 10.1038/s41698-025-00884-y.
3
A Journey into the Complexity of Temporo-Insular Gliomas: Case Report and Literature Review.

本文引用的文献

1
Incidence of ischemic complications and technical nuances of arteries preservation for insular gliomas resection.岛叶胶质瘤切除术中缺血性并发症的发生率及动脉保留的技术细节。
Front Surg. 2022 Oct 14;9:956872. doi: 10.3389/fsurg.2022.956872. eCollection 2022.
2
Correlation of anatomical involvement patterns of insular gliomas with subnetworks of the limbic system.岛叶胶质瘤的解剖学受累模式与边缘系统的子网的相关性。
J Neurosurg. 2021 Jul 23;136(2):323-334. doi: 10.3171/2020.12.JNS203652. Print 2022 Feb 1.
3
Tumor Growth Rate as a New Predictor of Progression-Free Survival After Chordoma Surgery.
颞岛叶胶质瘤复杂性之旅:病例报告与文献综述
Curr Oncol. 2025 Jan 14;32(1):41. doi: 10.3390/curroncol32010041.
肿瘤生长率作为脊索瘤手术后无进展生存的新预测因子。
Neurosurgery. 2021 Jul 15;89(2):291-299. doi: 10.1093/neuros/nyab164.
4
Transcortical approach for insular gliomas: a series of 253 patients.岛叶胶质瘤经皮层入路切除术:253 例患者系列研究。
J Neurooncol. 2020 Mar;147(1):59-66. doi: 10.1007/s11060-020-03390-2. Epub 2020 Jan 31.
5
Value of Tumor Growth Rate (TGR) as an Early Biomarker Predictor of Patients' Outcome in Neuroendocrine Tumors (NET)-The GREPONET Study.肿瘤生长率 (TGR) 作为神经内分泌肿瘤 (NET) 患者预后早期生物标志物的价值——GREPONET 研究。
Oncologist. 2019 Nov;24(11):e1082-e1090. doi: 10.1634/theoncologist.2018-0672. Epub 2019 Mar 25.
6
Subcortical structural connectivity of insular subregions.岛叶亚区的皮质下结构连接
Sci Rep. 2018 Jun 5;8(1):8596. doi: 10.1038/s41598-018-26995-0.
7
Prognostic impact of the 2016 WHO classification of diffuse gliomas in the French POLA cohort.2016 年世界卫生组织弥漫性胶质瘤分类对法国 POLA 队列的预后影响。
Acta Neuropathol. 2016 Oct;132(4):625-34. doi: 10.1007/s00401-016-1611-8. Epub 2016 Aug 29.
8
The Corticocortical Structural Connectivity of the Human Insula.人类脑岛的皮质-皮质结构连接性
Cereb Cortex. 2017 Feb 1;27(2):1216-1228. doi: 10.1093/cercor/bhv308.
9
Comprehensive, Integrative Genomic Analysis of Diffuse Lower-Grade Gliomas.弥漫性低级别胶质瘤的综合、整合基因组分析
N Engl J Med. 2015 Jun 25;372(26):2481-98. doi: 10.1056/NEJMoa1402121. Epub 2015 Jun 10.
10
Microanatomical study of the insular perforating arteries.岛叶穿动脉的显微解剖学研究。
Acta Neurochir (Wien). 2014 Oct;156(10):1991-7; discussion 1997-8. doi: 10.1007/s00701-014-2167-9. Epub 2014 Jul 2.