• 文献检索
  • 文档翻译
  • 深度研究
  • 学术资讯
  • Suppr Zotero 插件Zotero 插件
  • 邀请有礼
  • 套餐&价格
  • 历史记录
应用&插件
Suppr Zotero 插件Zotero 插件浏览器插件Mac 客户端Windows 客户端微信小程序
定价
高级版会员购买积分包购买API积分包
服务
文献检索文档翻译深度研究API 文档MCP 服务
关于我们
关于 Suppr公司介绍联系我们用户协议隐私条款
关注我们

Suppr 超能文献

核心技术专利:CN118964589B侵权必究
粤ICP备2023148730 号-1Suppr @ 2026

文献检索

告别复杂PubMed语法,用中文像聊天一样搜索,搜遍4000万医学文献。AI智能推荐,让科研检索更轻松。

立即免费搜索

文件翻译

保留排版,准确专业,支持PDF/Word/PPT等文件格式,支持 12+语言互译。

免费翻译文档

深度研究

AI帮你快速写综述,25分钟生成高质量综述,智能提取关键信息,辅助科研写作。

立即免费体验

纤维连接蛋白 4 作为肝硬化患者纤维化的潜在细胞外囊泡标志物。

Fibulin-4 as a potential extracellular vesicle marker of fibrosis in patients with cirrhosis.

机构信息

Division of Gastroenterology and Hepatology, Graduate School of Medical and Dental Sciences, Niigata University, Japan.

Future Medical Research Center for Exosome and Designer Cells (F-DEC), Niigata University, Japan.

出版信息

FEBS Open Bio. 2024 Aug;14(8):1264-1276. doi: 10.1002/2211-5463.13842. Epub 2024 Jun 9.

DOI:10.1002/2211-5463.13842
PMID:38853023
原文链接:https://pmc.ncbi.nlm.nih.gov/articles/PMC11301270/
Abstract

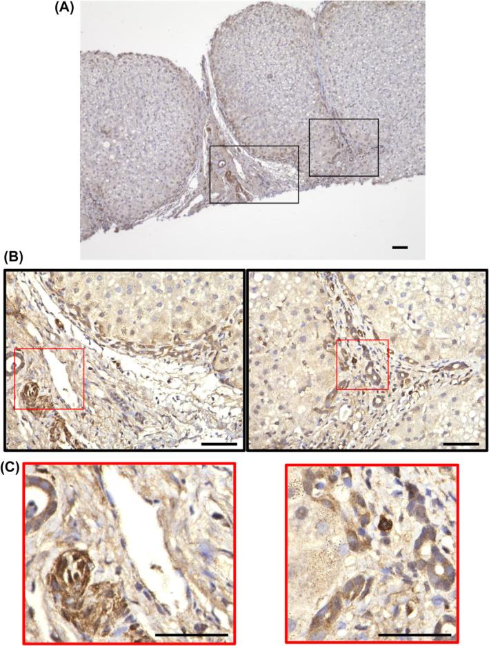
Chronic liver injury leads to decreased liver function and increased fibrosis. Fibrosis is not only associated with the development of portal hypertension and carcinogenesis, but with the occurrence of events and a poor prognosis, highlighting the importance of non-invasive fibrosis assessment in patients. In the present study, we searched for markers related to liver fibrosis via proteomic analysis of small extracellular vesicles (sEVs). In the discovery cohort, proteomic analysis was carried out in the sEVs extracted from the sera of 5 patients with decompensated cirrhosis, 5 patients with compensated cirrhosis, and 5 controls without liver disease. Interestingly, in this cohort, fibulin-4 was significantly associated with cirrhosis while in the validation cohort [formed by 191 patients: 7 patients without disease, 16 patients without liver disease (other diseases), 38 patients with chronic liver disease (CLD), 75 patients with cirrhosis of Child-Pugh class A (36 without hepatocellular carcinoma [HCC], 29 with HCC), and 65 patients with cirrhosis of Child-Pugh class B-C (39 without HCC, 26 with HCC)], fibulin-4/CD9 levels increased with cirrhosis progression. Furthermore, the fibulin-4/CD9 ratio was significantly higher in patients with varices. Immunostaining also revealed strong fibulin-4 expression in cholangiocytes within the fibrous areas and mesothelial cells in liver tissue blood vessels. Taken together, our results suggest that fibulin-4, essential for lysyl oxidase activation, might be a new liver fibrosis marker found in the sEVs of patients with cirrhosis.

摘要

慢性肝损伤导致肝功能下降和纤维化增加。纤维化不仅与门脉高压和癌变的发展有关,而且与事件的发生和不良预后有关,这凸显了在患者中进行非侵入性纤维化评估的重要性。在本研究中,我们通过对小细胞外囊泡 (sEV) 的蛋白质组学分析寻找与肝纤维化相关的标志物。在发现队列中,对来自 5 例失代偿性肝硬化患者、5 例代偿性肝硬化患者和 5 例无肝病对照者血清中提取的 sEV 进行了蛋白质组学分析。有趣的是,在该队列中,纤维调蛋白-4 与肝硬化显著相关,而在验证队列中[由 191 例患者组成:7 例无疾病,16 例无肝脏疾病(其他疾病),38 例慢性肝病 (CLD),75 例 Child-Pugh 分级 A 肝硬化患者(36 例无肝细胞癌 [HCC],29 例 HCC),65 例 Child-Pugh 分级 B-C 肝硬化患者(39 例无 HCC,26 例 HCC)],纤维调蛋白-4/CD9 水平随着肝硬化的进展而增加。此外,静脉曲张患者的纤维调蛋白-4/CD9 比值明显更高。免疫染色还显示纤维蛋白-4 在肝组织血管中的胆管细胞和间皮细胞内的强表达。综上所述,我们的结果表明,纤维调蛋白-4 作为赖氨酰氧化酶激活所必需的物质,可能是在肝硬化患者的 sEV 中发现的新的肝纤维化标志物。

https://cdn.ncbi.nlm.nih.gov/pmc/blobs/4d34/11301270/d97fc58e72be/FEB4-14-1264-g003.jpg
https://cdn.ncbi.nlm.nih.gov/pmc/blobs/4d34/11301270/0278f906a2ab/FEB4-14-1264-g005.jpg
https://cdn.ncbi.nlm.nih.gov/pmc/blobs/4d34/11301270/ccafbbff960a/FEB4-14-1264-g006.jpg
https://cdn.ncbi.nlm.nih.gov/pmc/blobs/4d34/11301270/8362db7c8283/FEB4-14-1264-g009.jpg
https://cdn.ncbi.nlm.nih.gov/pmc/blobs/4d34/11301270/631226c1de6a/FEB4-14-1264-g001.jpg
https://cdn.ncbi.nlm.nih.gov/pmc/blobs/4d34/11301270/ebb8f2d6d29e/FEB4-14-1264-g002.jpg
https://cdn.ncbi.nlm.nih.gov/pmc/blobs/4d34/11301270/92b5389473fb/FEB4-14-1264-g007.jpg
https://cdn.ncbi.nlm.nih.gov/pmc/blobs/4d34/11301270/ffdb96ac749b/FEB4-14-1264-g008.jpg
https://cdn.ncbi.nlm.nih.gov/pmc/blobs/4d34/11301270/d97fc58e72be/FEB4-14-1264-g003.jpg
https://cdn.ncbi.nlm.nih.gov/pmc/blobs/4d34/11301270/0278f906a2ab/FEB4-14-1264-g005.jpg
https://cdn.ncbi.nlm.nih.gov/pmc/blobs/4d34/11301270/ccafbbff960a/FEB4-14-1264-g006.jpg
https://cdn.ncbi.nlm.nih.gov/pmc/blobs/4d34/11301270/8362db7c8283/FEB4-14-1264-g009.jpg
https://cdn.ncbi.nlm.nih.gov/pmc/blobs/4d34/11301270/631226c1de6a/FEB4-14-1264-g001.jpg
https://cdn.ncbi.nlm.nih.gov/pmc/blobs/4d34/11301270/ebb8f2d6d29e/FEB4-14-1264-g002.jpg
https://cdn.ncbi.nlm.nih.gov/pmc/blobs/4d34/11301270/92b5389473fb/FEB4-14-1264-g007.jpg
https://cdn.ncbi.nlm.nih.gov/pmc/blobs/4d34/11301270/ffdb96ac749b/FEB4-14-1264-g008.jpg
https://cdn.ncbi.nlm.nih.gov/pmc/blobs/4d34/11301270/d97fc58e72be/FEB4-14-1264-g003.jpg

相似文献

1
Fibulin-4 as a potential extracellular vesicle marker of fibrosis in patients with cirrhosis.纤维连接蛋白 4 作为肝硬化患者纤维化的潜在细胞外囊泡标志物。
FEBS Open Bio. 2024 Aug;14(8):1264-1276. doi: 10.1002/2211-5463.13842. Epub 2024 Jun 9.
2
Proteomic analysis of serum extracellular vesicles reveals Fibulin-3 as a new marker predicting liver-related events in MASLD.血清细胞外囊泡的蛋白质组学分析显示 Fibulin-3 是预测 MASLD 肝相关事件的新标志物。
Hepatol Commun. 2024 Jun 3;8(6). doi: 10.1097/HC9.0000000000000448. eCollection 2024 Jun 1.
3
Discovery of small extracellular vesicle proteins from human serum for liver cirrhosis and liver cancer.从人血清中发现用于肝硬化和肝癌的小细胞外囊泡蛋白。
Biochimie. 2020 Oct;177:132-141. doi: 10.1016/j.biochi.2020.08.013. Epub 2020 Aug 21.
4
Analysis of disease-associated protein expression using quantitative proteomics—fibulin-5 is expressed in association with hepatic fibrosis.使用定量蛋白质组学分析疾病相关蛋白表达——纤连蛋白-5与肝纤维化相关表达。
J Proteome Res. 2015 May 1;14(5):2278-86. doi: 10.1021/acs.jproteome.5b00053. Epub 2015 Apr 6.
5
Blood reelin in the progression of chronic liver disease.血液中 reelin 在慢性肝病的进展中。
Adv Med Sci. 2021 Mar;66(1):148-154. doi: 10.1016/j.advms.2021.01.006. Epub 2021 Feb 6.
6
The Clinical Significance of GP73 in Immunologically Mediated Chronic Liver Diseases: Experimental Data and Literature Review.GP73 在免疫介导的慢性肝病中的临床意义:实验数据和文献综述。
Clin Rev Allergy Immunol. 2018 Apr;54(2):282-294. doi: 10.1007/s12016-017-8655-y.
7
ALDH2 deficiency promotes alcohol-associated liver cancer by activating oncogenic pathways via oxidized DNA-enriched extracellular vesicles.ALDH2 缺乏通过激活富含氧化 DNA 的细胞外囊泡中的致癌途径促进酒精相关性肝癌。
J Hepatol. 2019 Nov;71(5):1000-1011. doi: 10.1016/j.jhep.2019.06.018. Epub 2019 Jul 4.
8
Extracellular Vesicles as Delivery Vehicles for Non-Coding RNAs: Potential Biomarkers for Chronic Liver Diseases.细胞外囊泡作为非编码 RNA 的递送载体:慢性肝病的潜在生物标志物。
Biomolecules. 2024 Feb 26;14(3):277. doi: 10.3390/biom14030277.
9
Discovery of candidate biomarkers from plasma-derived extracellular vesicles of patients with cirrhosis and hepatocellular carcinoma: an exploratory proteomic study.从肝硬化和肝细胞癌患者血浆来源的细胞外囊泡中发现候选生物标志物:一项探索性蛋白质组学研究。
Mol Omics. 2024 Aug 12;20(7):483-495. doi: 10.1039/d4mo00043a.
10
Fibulin-5 inhibits hepatocellular carcinoma cell migration and invasion by down-regulating matrix metalloproteinase-7 expression.纤连蛋白-5通过下调基质金属蛋白酶-7的表达来抑制肝癌细胞的迁移和侵袭。
BMC Cancer. 2014 Dec 12;14:938. doi: 10.1186/1471-2407-14-938.

引用本文的文献

1
Extracellular Vesicles for Clinical Diagnostics: From Bulk Measurements to Single-Vesicle Analysis.用于临床诊断的细胞外囊泡:从整体测量到单囊泡分析
ACS Nano. 2025 Aug 12;19(31):28021-28109. doi: 10.1021/acsnano.5c00706. Epub 2025 Jul 28.
2
Fibulin-4 expression in potentially malignant disorders and squamous cell carcinoma of oral mucosa-An immunohistochemical study.口腔黏膜潜在恶性疾病和鳞状细胞癌中Fibulin-4的表达——一项免疫组织化学研究
J Oral Maxillofac Pathol. 2025 Apr-Jun;29(2):248-253. doi: 10.4103/jomfp.jomfp_35_25. Epub 2025 Jun 30.
3
Contribution of extracellular vesicles to steatosis-related liver disease and their therapeutic potential.

本文引用的文献

1
Analysis of distribution, collection, and confirmation of capacity dependency of small extracellular vesicles toward a therapy for liver cirrhosis.小细胞外囊泡对肝硬化治疗的容量依赖性的分布、收集及确认分析
Inflamm Regen. 2023 Oct 9;43(1):48. doi: 10.1186/s41232-023-00299-x.
2
Diagnosis and Management of Cirrhosis and Its Complications: A Review.肝硬化及其并发症的诊断与管理:综述。
JAMA. 2023 May 9;329(18):1589-1602. doi: 10.1001/jama.2023.5997.
3
Global epidemiology of cirrhosis - aetiology, trends and predictions.全球肝硬化的流行病学:病因、趋势和预测。
细胞外囊泡在脂肪变性相关肝病中的作用及其治疗潜力。
World J Hepatol. 2024 Sep 27;16(9):1211-1228. doi: 10.4254/wjh.v16.i9.1211.
Nat Rev Gastroenterol Hepatol. 2023 Jun;20(6):388-398. doi: 10.1038/s41575-023-00759-2. Epub 2023 Mar 28.
4
EFEMP2 increases the invasion ability of cervical cancer cells by promoting EMT via the Raf/MEK/ERK signaling pathway.EFEMP2通过Raf/MEK/ERK信号通路促进上皮-间质转化,从而增强宫颈癌细胞的侵袭能力。
Neoplasma. 2022 Sep;69(5):1185-1197. doi: 10.4149/neo_2022_220117N74. Epub 2022 Aug 24.
5
Basic points to consider regarding the preparation of extracellular vesicles and their clinical applications in Japan.关于日本细胞外囊泡制备及其临床应用的基本要点。
Regen Ther. 2022 May 19;21:19-24. doi: 10.1016/j.reth.2022.05.003. eCollection 2022 Dec.
6
Molecular characterization and cell type composition deconvolution of fibrosis in NAFLD.非酒精性脂肪性肝病纤维化的分子特征和细胞类型组成解析。
Sci Rep. 2021 Sep 10;11(1):18045. doi: 10.1038/s41598-021-96966-5.
7
A single-cell type transcriptomics map of human tissues.人类组织单细胞转录组图谱。
Sci Adv. 2021 Jul 28;7(31). doi: 10.1126/sciadv.abh2169. Print 2021 Jul.
8
Small extracellular vesicles derived from interferon-γ pre-conditioned mesenchymal stromal cells effectively treat liver fibrosis.源自经γ干扰素预处理的间充质基质细胞的小细胞外囊泡可有效治疗肝纤维化。
NPJ Regen Med. 2021 Mar 30;6(1):19. doi: 10.1038/s41536-021-00132-4.
9
A matricellular protein fibulin-4 is essential for the activation of lysyl oxidase.基质细胞蛋白纤连蛋白-4对于赖氨酰氧化酶的激活是必不可少的。
Sci Adv. 2020 Nov 25;6(48). doi: 10.1126/sciadv.abc1404. Print 2020 Nov.
10
Screening and follow-up of chronic liver diseases with understanding their etiology in clinics and hospitals.在诊所和医院对慢性肝病进行筛查、随访并了解其病因。
JGH Open. 2020 Aug 24;4(5):827-837. doi: 10.1002/jgh3.12406. eCollection 2020 Oct.