Suppr超能文献

一例以极度体重减轻、主动脉反流和脾梗死为表现的亚急性感染性心内膜炎病例报告。

A Case Report of Subacute Infective Endocarditis Presenting With Extreme Weight Loss, Aortic Regurgitation, and Splenic Infarct.

作者信息

Rahman Austin, Rogers Patrick, Piasecki Joshua B, Frederick John

机构信息

Emergency Medicine, Lake Erie College of Osteopathic Medicine, Bradenton, USA.

Internal Medicine, Lake Erie College of Osteopathic Medicine, Bradenton, USA.

出版信息

Cureus. 2024 May 8;16(5):e59866. doi: 10.7759/cureus.59866. eCollection 2024 May.

Abstract

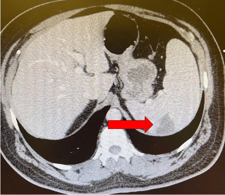
We present an insightful case of a middle-aged male who presented to the emergency department (ED) with complaints of excessive weight loss, accompanied by shortness of breath and vomiting. Consequently, this case explores many facets of the pathophysiology of infective endocarditis (IE), including but not limited to the most heavily implicated microorganisms, symptoms, predispositions, and disease outcomes. IE is a pathology of variable presentation with uniquely extensive diagnostic criteria, making it a fascinating topic of medical discussion.

摘要

我们介绍了一个发人深省的病例,一名中年男性因体重过度减轻、伴有呼吸急促和呕吐而前往急诊科就诊。因此,该病例探讨了感染性心内膜炎(IE)病理生理学的多个方面,包括但不限于最密切相关的微生物、症状、易患因素和疾病转归。IE是一种临床表现多样且诊断标准独特广泛的疾病,使其成为医学讨论中一个引人入胜的话题。

https://cdn.ncbi.nlm.nih.gov/pmc/blobs/b995/11157464/16ab329cdffb/cureus-0016-00000059866-i01.jpg

文献检索

告别复杂PubMed语法,用中文像聊天一样搜索,搜遍4000万医学文献。AI智能推荐,让科研检索更轻松。

立即免费搜索

文件翻译

保留排版,准确专业,支持PDF/Word/PPT等文件格式,支持 12+语言互译。

免费翻译文档

深度研究

AI帮你快速写综述,25分钟生成高质量综述,智能提取关键信息,辅助科研写作。

立即免费体验