• 文献检索
  • 文档翻译
  • 深度研究
  • 学术资讯
  • Suppr Zotero 插件Zotero 插件
  • 邀请有礼
  • 套餐&价格
  • 历史记录
应用&插件
Suppr Zotero 插件Zotero 插件浏览器插件Mac 客户端Windows 客户端微信小程序
定价
高级版会员购买积分包购买API积分包
服务
文献检索文档翻译深度研究API 文档MCP 服务
关于我们
关于 Suppr公司介绍联系我们用户协议隐私条款
关注我们

Suppr 超能文献

核心技术专利:CN118964589B侵权必究
粤ICP备2023148730 号-1Suppr @ 2026

文献检索

告别复杂PubMed语法,用中文像聊天一样搜索,搜遍4000万医学文献。AI智能推荐,让科研检索更轻松。

立即免费搜索

文件翻译

保留排版,准确专业,支持PDF/Word/PPT等文件格式,支持 12+语言互译。

免费翻译文档

深度研究

AI帮你快速写综述,25分钟生成高质量综述,智能提取关键信息,辅助科研写作。

立即免费体验

探索NRF2/HO-1和NF-κB信号通路:螺旋藻纳米颗粒作为对抗糖尿病肾病的新方法

Exploring the NRF2/HO-1 and NF-κB Pathways: Spirulina Nanoparticles as a Novel Approach to Combat Diabetic Nephropathy.

作者信息

Althobaiti Fayez, Taher Ehab S, Ahmed Alkeridis Lamya, Ibrahim Ateya M, El-Shafai Nagi, A Al-Shuraym Laila, Fericean Liana, Imbrea Florin, A Kassab Mohamed, Farrag Foad A, Abdeen Ahmed, Almalki Daklallah A, Al-Farga Ammar, Afifi Mohamed, Shukry Mustafa

机构信息

Department of Biotechnology, College of Science, Taif University, P.O. Box 11099, Taif 21944, Saudi Arabia.

Department of Basic Medical and Dental Sciences, Faculty of Dentistry, Zarqa University, Zarqa 13110, Jordan.

出版信息

ACS Omega. 2024 May 21;9(22):23949-23962. doi: 10.1021/acsomega.4c02285. eCollection 2024 Jun 4.

DOI:10.1021/acsomega.4c02285
PMID:38854532
原文链接:https://pmc.ncbi.nlm.nih.gov/articles/PMC11154939/
Abstract

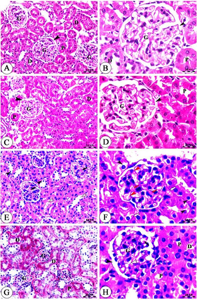
has been the subject of plentiful studies due to its purported health advantages; nevertheless, additional investigation is required to determine whether several chronic diseases may be treated or avoided with its nanoform. Therefore, we set out to examine nanoparticles (SNPs) to protect against kidney impairment caused by Streptozotocin (STZ) in diabetic rats, precisely focusing on its effect and the cellular intracellular pathways involved. Male Wistar rats were assigned into four groups: Group 1 was set as control, comprising the normal rats; group 2 was administered SNPs (0.5 mg/kg BW, once/day) orally for 84 consecutive days; group 3, STZ-diabetic rats were injected with STZ (65 mg/kg BW); and group 4, in which the diabetic rats were treated with SNPs. After inducing diabetes in rats for 84 days, the animals were euthanized. The results disclosed that SNP treatment substantially ( < 0.05) improved the glucose and glycated hemoglobin levels (HbA1c %), insulin, C-peptide, and cystatin C deterioration in diabetic rats. Furthermore, SNP administration significantly lowered ( < 0.05) nitric oxide (NO) and malondialdehyde (MDA) levels in renal tissue and enhanced kidney function metrics, as well as improved the antioxidant capacity of the renal tissue. In addition, oral SNPs overcame the diabetic complications concerning diabetic nephropathy, indicated by downregulation and upregulation of apoptotic and antiapoptotic genes, respectively, along with prominent modulation of the antiangiogenic marker countenance level, improving kidney function. SNP modulated the nuclear factor erythroid 2-related factor 2 and heme oxygenase-1 (NRF2/HO-1) pathways and inhibited the nuclear factor-κB (NF-κB) expression, strengthening the SNP pathways in alleviating diabetic nephropathy. The histopathology results corroborated the obtained biochemical and molecular observations, suggesting the therapeutic potential of SNPs in diabetic nephropathy via mechanisms other than its significant antioxidant and hypoglycemic effects, including modulation of antiangiogenic and inflammatory mediators and the NRF2/HO-1 pathways.

摘要

由于其所谓的健康益处,它一直是大量研究的主题;然而,需要进一步研究以确定其纳米形式是否可以治疗或预防几种慢性疾病。因此,我们着手研究纳米颗粒(SNPs)对糖尿病大鼠中链脲佐菌素(STZ)引起的肾脏损伤的保护作用,具体关注其作用及相关的细胞内信号通路。雄性Wistar大鼠被分为四组:第1组设为对照组,由正常大鼠组成;第2组连续84天每天口服SNPs(0.5mg/kg体重);第3组,给STZ诱导的糖尿病大鼠注射STZ(65mg/kg体重);第4组,用SNPs治疗糖尿病大鼠。在大鼠诱导糖尿病84天后,将动物安乐死。结果显示,SNPs治疗显著(P<0.05)改善了糖尿病大鼠的血糖、糖化血红蛋白水平(HbA1c%)、胰岛素、C肽和胱抑素C的恶化情况。此外,给予SNPs显著降低(P<0.05)了肾组织中一氧化氮(NO)和丙二醛(MDA)水平,增强了肾功能指标,并提高了肾组织的抗氧化能力。此外,口服SNPs克服了与糖尿病肾病相关的糖尿病并发症,分别通过凋亡和抗凋亡基因的下调和上调以及抗血管生成标志物面容水平的显著调节来表明,改善了肾功能。SNPs调节了核因子红细胞2相关因子2和血红素加氧酶-1(NRF2/HO-1)信号通路,并抑制了核因子-κB(NF-κB)的表达,加强了SNPs在减轻糖尿病肾病中的信号通路。组织病理学结果证实了所获得的生化和分子观察结果,表明SNPs在糖尿病肾病中的治疗潜力,其机制除了显著的抗氧化和降血糖作用外,还包括调节抗血管生成和炎症介质以及NRF2/HO-1信号通路。

https://cdn.ncbi.nlm.nih.gov/pmc/blobs/c453/11154939/5181f9bc588b/ao4c02285_0009.jpg
https://cdn.ncbi.nlm.nih.gov/pmc/blobs/c453/11154939/b029a33eea5d/ao4c02285_0001.jpg
https://cdn.ncbi.nlm.nih.gov/pmc/blobs/c453/11154939/2856f02a53ef/ao4c02285_0002.jpg
https://cdn.ncbi.nlm.nih.gov/pmc/blobs/c453/11154939/10f7acc92594/ao4c02285_0003.jpg
https://cdn.ncbi.nlm.nih.gov/pmc/blobs/c453/11154939/d0038f5d8c5d/ao4c02285_0004.jpg
https://cdn.ncbi.nlm.nih.gov/pmc/blobs/c453/11154939/82da87fe6bae/ao4c02285_0005.jpg
https://cdn.ncbi.nlm.nih.gov/pmc/blobs/c453/11154939/5d697dffb115/ao4c02285_0006.jpg
https://cdn.ncbi.nlm.nih.gov/pmc/blobs/c453/11154939/8c38d961cbbe/ao4c02285_0007.jpg
https://cdn.ncbi.nlm.nih.gov/pmc/blobs/c453/11154939/11e3854a0e7b/ao4c02285_0008.jpg
https://cdn.ncbi.nlm.nih.gov/pmc/blobs/c453/11154939/5181f9bc588b/ao4c02285_0009.jpg
https://cdn.ncbi.nlm.nih.gov/pmc/blobs/c453/11154939/b029a33eea5d/ao4c02285_0001.jpg
https://cdn.ncbi.nlm.nih.gov/pmc/blobs/c453/11154939/2856f02a53ef/ao4c02285_0002.jpg
https://cdn.ncbi.nlm.nih.gov/pmc/blobs/c453/11154939/10f7acc92594/ao4c02285_0003.jpg
https://cdn.ncbi.nlm.nih.gov/pmc/blobs/c453/11154939/d0038f5d8c5d/ao4c02285_0004.jpg
https://cdn.ncbi.nlm.nih.gov/pmc/blobs/c453/11154939/82da87fe6bae/ao4c02285_0005.jpg
https://cdn.ncbi.nlm.nih.gov/pmc/blobs/c453/11154939/5d697dffb115/ao4c02285_0006.jpg
https://cdn.ncbi.nlm.nih.gov/pmc/blobs/c453/11154939/8c38d961cbbe/ao4c02285_0007.jpg
https://cdn.ncbi.nlm.nih.gov/pmc/blobs/c453/11154939/11e3854a0e7b/ao4c02285_0008.jpg
https://cdn.ncbi.nlm.nih.gov/pmc/blobs/c453/11154939/5181f9bc588b/ao4c02285_0009.jpg

相似文献

1
Exploring the NRF2/HO-1 and NF-κB Pathways: Spirulina Nanoparticles as a Novel Approach to Combat Diabetic Nephropathy.探索NRF2/HO-1和NF-κB信号通路:螺旋藻纳米颗粒作为对抗糖尿病肾病的新方法
ACS Omega. 2024 May 21;9(22):23949-23962. doi: 10.1021/acsomega.4c02285. eCollection 2024 Jun 4.
2
Arthrospira platensis nanoparticles defeat against diabetes-induced testicular injury in rat targeting, oxidative, apoptotic, and steroidogenesis pathways.钝顶螺旋藻纳米颗粒通过靶向、氧化、凋亡和类固醇生成途径来对抗糖尿病诱导的大鼠睾丸损伤。
Andrologia. 2022 Sep;54(8):e14456. doi: 10.1111/and.14456. Epub 2022 May 12.
3
Sinapic Acid Ameliorates the Progression of Streptozotocin (STZ)-Induced Diabetic Nephropathy in Rats NRF2/HO-1 Mediated Pathways.芥子酸改善链脲佐菌素(STZ)诱导的大鼠糖尿病肾病进展:NRF2/HO-1介导的途径
Front Pharmacol. 2020 Jul 23;11:1119. doi: 10.3389/fphar.2020.01119. eCollection 2020.
4
Moringa oleifera Lam. seed extract protects kidney function in rats with diabetic nephropathy by increasing GSK-3β activity and activating the Nrf2/HO-1 pathway.辣木籽提取物通过增加 GSK-3β 活性和激活 Nrf2/HO-1 通路来保护糖尿病肾病大鼠的肾脏功能。
Phytomedicine. 2022 Jan;95:153856. doi: 10.1016/j.phymed.2021.153856. Epub 2021 Nov 16.
5
Sitagliptin improves renal function in diabetic nephropathy in male Sprague Dawley rats through upregulating heme oxygenase-1 expression.西他列汀通过上调血红素加氧酶-1 的表达改善雄性 Sprague Dawley 大鼠糖尿病肾病的肾功能。
Endocrine. 2019 Jan;63(1):70-78. doi: 10.1007/s12020-018-1721-2. Epub 2018 Aug 20.
6
Protective effect of eriodictyol against hyperglycemia-induced diabetic nephropathy in rats entails antioxidant and anti-inflammatory effects mediated by activating Nrf2.圣草酚对大鼠高血糖诱导的糖尿病肾病的保护作用需要通过激活Nrf2介导抗氧化和抗炎作用来实现。
Saudi Pharm J. 2023 Nov;31(11):101817. doi: 10.1016/j.jsps.2023.101817. Epub 2023 Oct 5.
7
Apigenin-Loaded Solid Lipid Nanoparticle Attenuates Diabetic Nephropathy Induced by Streptozotocin Nicotinamide Through Nrf2/HO-1/NF-kB Signalling Pathway.柚皮素载药固体脂质纳米粒通过 Nrf2/HO-1/NF-κB 信号通路减轻链脲佐菌素-烟酰胺诱导的糖尿病肾病。
Int J Nanomedicine. 2020 Nov 19;15:9115-9124. doi: 10.2147/IJN.S256494. eCollection 2020.
8
Antioxidant and anti-inflammatory activities of Centratherum anthelminticum (L.) Kuntze seed oil in diabetic nephropathy via modulation of Nrf-2/HO-1 and NF-κB pathway.茵陈蒿籽油通过调节 Nrf-2/HO-1 和 NF-κB 通路对糖尿病肾病的抗氧化和抗炎作用。
BMC Complement Med Ther. 2022 Nov 18;22(1):301. doi: 10.1186/s12906-022-03776-x.
9
Chromium picolinate and chromium histidinate protects against renal dysfunction by modulation of NF-κB pathway in high-fat diet fed and Streptozotocin-induced diabetic rats.吡啶甲酸铬和组氨酸铬通过调节高脂肪饮食喂养和链脲佐菌素诱导的糖尿病大鼠 NF-κB 通路来防止肾功能障碍。
Nutr Metab (Lond). 2012 Apr 8;9:30. doi: 10.1186/1743-7075-9-30.
10
Telmisartan attenuates diabetic nephropathy by mitigating oxidative stress and inflammation, and upregulating Nrf2/HO-1 signaling in diabetic rats.替米沙坦通过减轻氧化应激和炎症,以及上调糖尿病大鼠 Nrf2/HO-1 信号通路来减轻糖尿病肾病。
Life Sci. 2022 Feb 15;291:120260. doi: 10.1016/j.lfs.2021.120260. Epub 2021 Dec 27.

引用本文的文献

1
Modulatory role of in oxidative stress, apoptosis, and gene expression in a rat model of dexamethasone-induced hepatotoxicity.[具体物质]在大鼠地塞米松诱导肝毒性模型中对氧化应激、细胞凋亡及基因表达的调节作用
Front Pharmacol. 2025 Aug 18;16:1610793. doi: 10.3389/fphar.2025.1610793. eCollection 2025.

本文引用的文献

1
2023 Diabetic Kidney Disease Fact Sheet in Korea.2023 年韩国糖尿病肾病情况说明书。
Diabetes Metab J. 2024 May;48(3):463-472. doi: 10.4093/dmj.2023.0310. Epub 2024 Mar 19.
2
Clinical study of different prediction models in predicting diabetic nephropathy in patients with type 2 diabetes mellitus.不同预测模型对2型糖尿病患者糖尿病肾病预测的临床研究
World J Diabetes. 2024 Jan 15;15(1):43-52. doi: 10.4239/wjd.v15.i1.43.
3
Effects of on a Model of Sexual Dysfunction in Streptozotocin-Induced Diabetic Male Rats.[具体物质]对链脲佐菌素诱导的糖尿病雄性大鼠性功能障碍模型的影响。 (你原文中“Effects of on”这里“of”后面缺少具体物质名称)
Plants (Basel). 2023 Feb 6;12(4):722. doi: 10.3390/plants12040722.
4
Molecular pathways that drive diabetic kidney disease.驱动糖尿病肾病的分子通路。
J Clin Invest. 2023 Feb 15;133(4):e165654. doi: 10.1172/JCI165654.
5
Vitamin D and Swimming Exercise Prevent Obesity in Rats under a High-Fat Diet via Targeting FATP4 and TLR4 in the Liver and Adipose Tissue.维生素 D 和游泳运动通过靶向肝脏和脂肪组织中的 FATP4 和 TLR4 预防高脂肪饮食诱导的肥胖。
Int J Environ Res Public Health. 2022 Oct 22;19(21):13740. doi: 10.3390/ijerph192113740.
6
Integrated serum pharmacochemistry and network pharmacology analyses reveal the bioactive metabolites and potential functional mechanism of ground cherry (Physalis pruinosa L.) in treatment of type 2 diabetes mellitus in rats.血清药物化学与网络药理学整合分析揭示酸浆治疗大鼠2型糖尿病的生物活性代谢产物及潜在作用机制
J Ethnopharmacol. 2023 Jan 10;300:115750. doi: 10.1016/j.jep.2022.115750. Epub 2022 Sep 24.
7
Advances in delivery methods of (spirulina) for enhanced therapeutic outcomes.(螺旋藻)递送方法的改进可提高治疗效果。
Bioengineered. 2022 Jun;13(6):14681-14718. doi: 10.1080/21655979.2022.2100863.
8
Supplementation With Improves Tracheal Reactivity in Wistar Rats by Modulating Inflammation and Oxidative Stress.补充[具体物质]通过调节炎症和氧化应激改善Wistar大鼠的气管反应性。
Front Pharmacol. 2022 May 31;13:826649. doi: 10.3389/fphar.2022.826649. eCollection 2022.
9
Arthrospira platensis nanoparticles defeat against diabetes-induced testicular injury in rat targeting, oxidative, apoptotic, and steroidogenesis pathways.钝顶螺旋藻纳米颗粒通过靶向、氧化、凋亡和类固醇生成途径来对抗糖尿病诱导的大鼠睾丸损伤。
Andrologia. 2022 Sep;54(8):e14456. doi: 10.1111/and.14456. Epub 2022 May 12.
10
Indapamide Increases IRS1 Expression and Modifies Adiponectin/NLRP3/PPARγ Crosstalk in Type 2 Diabetic Rats.吲达帕胺增加2型糖尿病大鼠IRS1表达并改变脂联素/NLRP3/PPARγ信号通路串扰
Antioxidants (Basel). 2022 Mar 31;11(4):691. doi: 10.3390/antiox11040691.