Suppr超能文献

针对铜绿假单胞菌的噬菌体分离与特性分析。

Isolation and characterization of a phage collection against Pseudomonas putida.

机构信息

Department of Bioinformatics, Institute of Molecular and Cell Biology, University of Tartu, Tartu, Estonia.

Department of Genetics, Institute of Molecular and Cell Biology, University of Tartu, Tartu, Estonia.

出版信息

Environ Microbiol. 2024 Jun;26(6):e16671. doi: 10.1111/1462-2920.16671.

Abstract

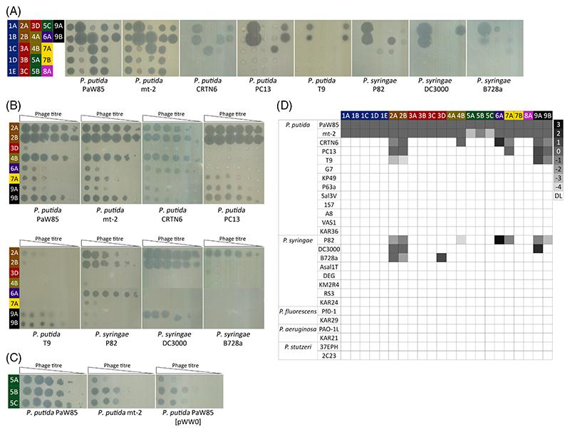
The environmental bacterium, Pseudomonas putida, possesses a broad spectrum of metabolic pathways. This makes it highly promising for use in biotechnological production as a cell factory, as well as in bioremediation strategies to degrade various aromatic pollutants. For P. putida to flourish in its environment, it must withstand the continuous threats posed by bacteriophages. Interestingly, until now, only a handful of phages have been isolated for the commonly used laboratory strain, P. putida KT2440, and no phage defence mechanisms have been characterized. In this study, we present a new Collection of Environmental P. putida Phages from Estonia, or CEPEST. This collection comprises 67 double-stranded DNA phages, which belong to 22 phage species and 9 phage genera. Our findings reveal that most phages in the CEPEST collection are more infectious at lower temperatures, have a narrow host range, and require an intact lipopolysaccharide for P. putida infection. Furthermore, we show that cryptic prophages present in the P. putida chromosome provide strong protection against the infection of many phages. However, the chromosomal toxin-antitoxin systems do not play a role in the phage defence of P. putida. This research provides valuable insights into the interactions between P. putida and bacteriophages, which could have significant implications for biotechnological and environmental applications.

摘要

环境细菌恶臭假单胞菌具有广泛的代谢途径。这使其非常有前途地被用于生物技术生产作为细胞工厂,以及在生物修复策略中降解各种芳香族污染物。为了使恶臭假单胞菌在其环境中茁壮成长,它必须承受噬菌体持续不断的威胁。有趣的是,直到现在,仅分离到少数几种噬菌体用于常用的实验室菌株恶臭假单胞菌 KT2440,并且没有鉴定出噬菌体防御机制。在这项研究中,我们从爱沙尼亚提出了一个新的环境恶臭假单胞菌噬菌体集合,或简称 CEPEST。该集合包含 67 种双链 DNA 噬菌体,属于 22 种噬菌体物种和 9 种噬菌体属。我们的研究结果表明,CEPEST 集合中的大多数噬菌体在较低温度下更具感染性,宿主范围较窄,并且需要完整的脂多糖才能感染恶臭假单胞菌。此外,我们表明,恶臭假单胞菌染色体上存在的隐匿性原噬菌体为许多噬菌体的感染提供了强大的保护。然而,染色体毒素-抗毒素系统在恶臭假单胞菌的噬菌体防御中不起作用。这项研究为恶臭假单胞菌和噬菌体之间的相互作用提供了有价值的见解,这可能对生物技术和环境应用具有重要意义。

https://cdn.ncbi.nlm.nih.gov/pmc/blobs/f711/7616413/70e044e47679/EMS198350-f001.jpg

文献AI研究员

20分钟写一篇综述,助力文献阅读效率提升50倍。

立即体验

用中文搜PubMed

大模型驱动的PubMed中文搜索引擎

马上搜索

文档翻译

学术文献翻译模型,支持多种主流文档格式。

立即体验