• 文献检索
  • 文档翻译
  • 深度研究
  • 学术资讯
  • Suppr Zotero 插件Zotero 插件
  • 邀请有礼
  • 套餐&价格
  • 历史记录
应用&插件
Suppr Zotero 插件Zotero 插件浏览器插件Mac 客户端Windows 客户端微信小程序
定价
高级版会员购买积分包购买API积分包
服务
文献检索文档翻译深度研究API 文档MCP 服务
关于我们
关于 Suppr公司介绍联系我们用户协议隐私条款
关注我们

Suppr 超能文献

核心技术专利:CN118964589B侵权必究
粤ICP备2023148730 号-1Suppr @ 2026

文献检索

告别复杂PubMed语法,用中文像聊天一样搜索,搜遍4000万医学文献。AI智能推荐,让科研检索更轻松。

立即免费搜索

文件翻译

保留排版,准确专业,支持PDF/Word/PPT等文件格式,支持 12+语言互译。

免费翻译文档

深度研究

AI帮你快速写综述,25分钟生成高质量综述,智能提取关键信息,辅助科研写作。

立即免费体验

甲状腺素治疗不孕症和垂体瘤:原发性甲状腺功能减退导致垂体增生。

Thyroxine Therapy Treating Infertility and Pituitary Tumor: Primary Hypothyroidism Leading to Pituitary Hyperplasia.

作者信息

Aslam Sidra, Siddiqi Ahmed Imran, Shafiq Waqas, Rafaey Wania

机构信息

Endocrinology, Shaukat Khanum Memorial Cancer Hospital and Research Centre, Lahore, PAK.

Endocrinology and Diabetes, Shaukat Khanum Memorial Cancer Hospital and Research Centre, Lahore, PAK.

出版信息

Cureus. 2024 May 12;16(5):e60135. doi: 10.7759/cureus.60135. eCollection 2024 May.

DOI:10.7759/cureus.60135
PMID:38864067
原文链接:https://pmc.ncbi.nlm.nih.gov/articles/PMC11166012/
Abstract

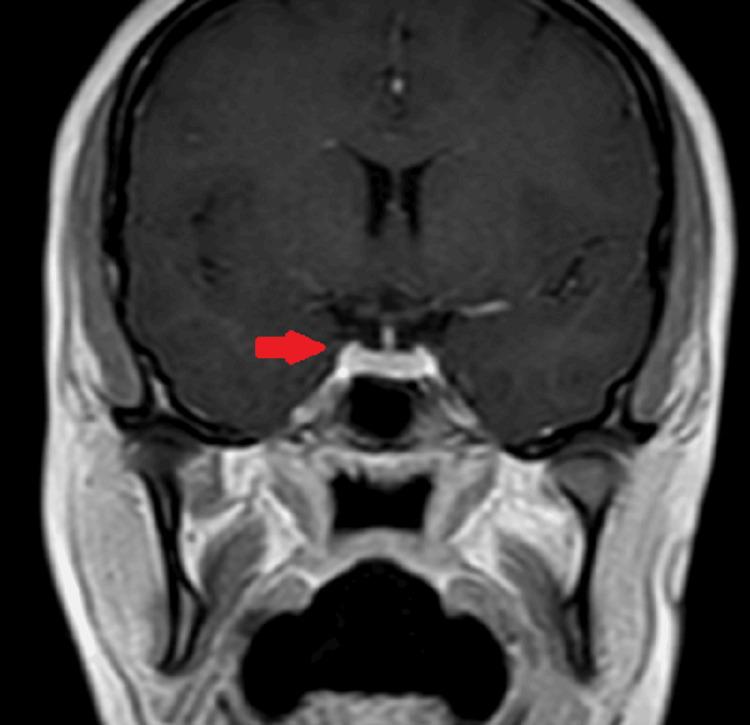
Pituitary lesions can occur as a consequence of primary hypothyroidism and the biochemical imbalance associated with it, making its diagnosis a challenging task necessitating a thorough patient assessment by the treating physicians. We describe a young patient with pituitary hyperplasia due to primary hypothyroidism who presented with complaints of menstrual irregularities and weight gain. The patient was treated with thyroxine (T4) for primary hypothyroidism. The patient reported improvement in her symptoms along with the normalization of thyroid profile and interval reduction in the size of pituitary lesion on follow-up MRI scan.

摘要

垂体病变可能是原发性甲状腺功能减退及其相关生化失衡的结果,这使得其诊断成为一项具有挑战性的任务,需要治疗医生对患者进行全面评估。我们描述了一名因原发性甲状腺功能减退导致垂体增生的年轻患者,她出现月经不规律和体重增加的症状。该患者接受了甲状腺素(T4)治疗原发性甲状腺功能减退。患者报告症状有所改善,甲状腺指标恢复正常,随访磁共振成像扫描显示垂体病变大小逐渐缩小。

https://cdn.ncbi.nlm.nih.gov/pmc/blobs/f757/11166012/eb1d43cd6b10/cureus-0016-00000060135-i02.jpg
https://cdn.ncbi.nlm.nih.gov/pmc/blobs/f757/11166012/dc9052e83c52/cureus-0016-00000060135-i01.jpg
https://cdn.ncbi.nlm.nih.gov/pmc/blobs/f757/11166012/eb1d43cd6b10/cureus-0016-00000060135-i02.jpg
https://cdn.ncbi.nlm.nih.gov/pmc/blobs/f757/11166012/dc9052e83c52/cureus-0016-00000060135-i01.jpg
https://cdn.ncbi.nlm.nih.gov/pmc/blobs/f757/11166012/eb1d43cd6b10/cureus-0016-00000060135-i02.jpg

相似文献

1
Thyroxine Therapy Treating Infertility and Pituitary Tumor: Primary Hypothyroidism Leading to Pituitary Hyperplasia.甲状腺素治疗不孕症和垂体瘤:原发性甲状腺功能减退导致垂体增生。
Cureus. 2024 May 12;16(5):e60135. doi: 10.7759/cureus.60135. eCollection 2024 May.
2
MRI-demonstrable regression of a pituitary mass in a case of primary hypothyroidism after a week of acute thyroid hormone therapy.在原发性甲状腺功能减退症患者中,经过一周急性甲状腺激素治疗后,MRI显示垂体肿块消退。
J Clin Endocrinol Metab. 1997 Mar;82(3):808-11. doi: 10.1210/jcem.82.3.3796.
3
Pituitary hyperplasia secondary to primary hypothyroidism: a case report and review of the literature.原发性甲状腺功能减退继发垂体增生:一例病例报告并文献复习
Pituitary. 2005;8(2):99-103. doi: 10.1007/s11102-005-3281-8.
4
Pituitary enlargement in patients with primary hypothyroidism.原发性甲状腺功能减退患者的垂体增大。
Endocr Pract. 2006 Jan-Feb;12(1):29-34. doi: 10.4158/EP.12.1.29.
5
Emergence of a latent TSHoma pituitary macroadenoma on a background of primary autoimmune hypothyroidism.在原发性自身免疫性甲状腺功能减退背景下隐匿性促甲状腺素瘤垂体大腺瘤的出现。
Endocrinol Diabetes Metab Case Rep. 2018 Sep 25;2018:18-0083. doi: 10.1530/EDM-18-0083.
6
Growth impairment in children with atrophic autoimmune thyroiditis and pituitary hyperplasia.萎缩性自身免疫性甲状腺炎和垂体增生患儿的生长障碍。
Ital J Pediatr. 2024 Apr 23;50(1):83. doi: 10.1186/s13052-024-01641-w.
7
[A case of pseudo-TSH.PRL-producing pituitary adenoma with secondary hypothyroidism].[一例伴继发性甲状腺功能减退的假性促甲状腺激素-泌乳素分泌型垂体腺瘤]
No To Shinkei. 1991 Feb;43(2):187-91.
8
Primary hypothyroidism mimicking a pituitary macroadenoma: regression after thyroid hormone replacement therapy.表现为垂体大腺瘤的原发性甲状腺功能减退症:甲状腺激素替代治疗后病情缓解
Pediatr Radiol. 2009 Feb;39(2):164-7. doi: 10.1007/s00247-008-1012-9. Epub 2008 Sep 25.
9
Primary hypothyroidism-associated TSH-secreting pituitary adenoma/hyperplasia presenting as a bleeding nasal mass and extremely elevated TSH level.原发性甲状腺功能减退症相关的分泌促甲状腺激素的垂体腺瘤/增生,表现为鼻腔出血性肿物及促甲状腺激素水平极度升高。
J Endocrinol Invest. 1999 Jun;22(6):419-23. doi: 10.1007/BF03343584.
10
[A case of pituitary hyperplasia associated with primary hypothyroidism].[一例与原发性甲状腺功能减退症相关的垂体增生病例]
No Shinkei Geka. 1987 Aug;15(8):903-8.

本文引用的文献

1
Primary Hypothyroidism with Pituitary Hyperplasia in an Omani Girl.一名阿曼女孩患原发性甲状腺功能减退伴垂体增生
Case Rep Endocrinol. 2022 May 29;2022:3382612. doi: 10.1155/2022/3382612. eCollection 2022.
2
Primary hypothyroidism with pituitary hyperplasia characterized by hypogonadotropic hypogonadism: a case report and review of the literature.以低促性腺激素性性腺功能减退为特征的原发性甲状腺功能减退伴垂体增生:一例报告并文献复习
Ann Palliat Med. 2020 Nov;9(6):4359-4370. doi: 10.21037/apm-20-1828. Epub 2020 Nov 10.
3
Pituitary Hyperplasia in Severe Primary Hypothyroidism: A Case Report and Review of the Literature.
严重原发性甲状腺功能减退症中的垂体增生:一例报告并文献复习
Case Rep Endocrinol. 2019 Jun 25;2019:2012546. doi: 10.1155/2019/2012546. eCollection 2019.
4
Primary Hypothyroidism with Exceptionally High Prolactin-A Really Big Deal.原发性甲状腺功能减退伴泌乳素异常升高——一个大问题
World Neurosurg. 2016 Jul;91:675.e11-4. doi: 10.1016/j.wneu.2016.04.103. Epub 2016 May 4.
5
Pituitary enlargement in patients with primary hypothyroidism.原发性甲状腺功能减退患者的垂体增大。
Endocr Pract. 2006 Jan-Feb;12(1):29-34. doi: 10.4158/EP.12.1.29.
6
Imaging the sella and parasellar region.鞍区及鞍旁区域成像。
Neuroimaging Clin N Am. 2005 Feb;15(1):203-19. doi: 10.1016/j.nic.2005.02.007.
7
Thyrotropin-secreting pituitary tumors.促甲状腺激素分泌型垂体瘤。
Endocr Rev. 1996 Dec;17(6):610-38. doi: 10.1210/edrv-17-6-610.
8
MRI of pituitary hyperplasia in hypothyroidism.甲状腺功能减退症中垂体增生的磁共振成像
Neuroradiology. 1996 Jan;38(1):50-2. doi: 10.1007/BF00593219.
9
Hyperprolactinemia, infertility, and hypothyroidism. A case report and literature review.高催乳素血症、不孕症与甲状腺功能减退症。病例报告及文献综述。
Arch Intern Med. 1988 Mar;148(3):709-11.
10
Pituitary enlargement and hyperprolactinaemia due to primary hypothyroidism: errors and delays in diagnosis.原发性甲状腺功能减退导致的垂体增大和高催乳素血症:诊断中的错误与延误
Br J Neurosurg. 1990;4(2):107-12. doi: 10.3109/02688699008992708.