• 文献检索
  • 文档翻译
  • 深度研究
  • 学术资讯
  • Suppr Zotero 插件Zotero 插件
  • 邀请有礼
  • 套餐&价格
  • 历史记录
应用&插件
Suppr Zotero 插件Zotero 插件浏览器插件Mac 客户端Windows 客户端微信小程序
定价
高级版会员购买积分包购买API积分包
服务
文献检索文档翻译深度研究API 文档MCP 服务
关于我们
关于 Suppr公司介绍联系我们用户协议隐私条款
关注我们

Suppr 超能文献

核心技术专利:CN118964589B侵权必究
粤ICP备2023148730 号-1Suppr @ 2026

文献检索

告别复杂PubMed语法,用中文像聊天一样搜索,搜遍4000万医学文献。AI智能推荐,让科研检索更轻松。

立即免费搜索

文件翻译

保留排版,准确专业,支持PDF/Word/PPT等文件格式,支持 12+语言互译。

免费翻译文档

深度研究

AI帮你快速写综述,25分钟生成高质量综述,智能提取关键信息,辅助科研写作。

立即免费体验

经卵巢切口引流术治疗妊娠期巨大卵巢水肿扭转

Drainage by Ovarian Incision for the Treatment of Massive Ovarian Edema Torsion During Pregnancy.

作者信息

Shimizu Haruhiko, Sei Kiguna, Oda Aimi, Shimizu Yumi, Adachi Hiroshi

机构信息

Obstetrics and Gynecology, Seirei Hamamatsu General Hospital, Hamamatsu, JPN.

出版信息

Cureus. 2024 May 13;16(5):e60194. doi: 10.7759/cureus.60194. eCollection 2024 May.

DOI:10.7759/cureus.60194
PMID:38868247
原文链接:https://pmc.ncbi.nlm.nih.gov/articles/PMC11167575/
Abstract

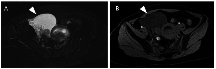
Massive ovarian edema (MOE) is a rare benign condition presenting as unilateral ovarian enlargement with stromal edema, and only a limited number of MOE cases during pregnancy have been reported. MOE is often complicated by ovarian torsion, which requires detorsion. Although the diagnosis of MOE can be made using ultrasound and magnetic resonance imaging, its rarity makes diagnosis difficult, usually leading to overtreatment. Preserving the ovary in the treatment of MOE torsion is essential, and consideration of oophoropexy after detorsion is often reported. However, fixing an enlarged ovary to the pelvic wall in the limited space of the pelvis is challenging. Herein, we present a case of MOE of the right ovary diagnosed at the fifth week of gestation after ovulation induced by clomiphene citrate. Torsion of the ovary occurred in the seventh week. We achieved preservation of the ovary through laparoscopic surgery with detorsion and drainage by making a small incision to the enlarged ovary, resulting in an immediate size reduction. There was no recurrence of torsion or MOE throughout the pregnancy, and the patient gave birth in the 39th week of gestation. This is the third reported case of MOE after ovulation using clomiphene citrate, and it highlights the effectiveness of treatment with detorsion and a small incision of the ovary via laparoscopic surgery in patients with MOE torsion during pregnancy.

摘要

巨大卵巢水肿(MOE)是一种罕见的良性疾病,表现为单侧卵巢肿大伴间质水肿,妊娠期间仅有少数MOE病例的报道。MOE常并发卵巢扭转,需要进行扭转复位。虽然MOE的诊断可通过超声和磁共振成像做出,但其罕见性使得诊断困难,通常导致过度治疗。在MOE扭转的治疗中保留卵巢至关重要,扭转复位后常考虑卵巢固定术。然而,在骨盆有限的空间内将肿大的卵巢固定于骨盆壁具有挑战性。在此,我们报告一例在枸橼酸氯米芬诱导排卵后妊娠第5周诊断为右侧卵巢MOE的病例。卵巢在第7周发生扭转。我们通过腹腔镜手术进行扭转复位和引流,在肿大的卵巢上做一个小切口,使卵巢立即缩小,从而成功保留了卵巢。整个孕期未再发生扭转或MOE,患者在妊娠第39周分娩。这是第三例报道的枸橼酸氯米芬促排卵后发生MOE的病例,它突出了腹腔镜手术对妊娠期间MOE扭转患者进行扭转复位和卵巢小切口治疗的有效性。

https://cdn.ncbi.nlm.nih.gov/pmc/blobs/dd0c/11167575/386a5c222089/cureus-0016-00000060194-i04.jpg
https://cdn.ncbi.nlm.nih.gov/pmc/blobs/dd0c/11167575/9599770d8d12/cureus-0016-00000060194-i01.jpg
https://cdn.ncbi.nlm.nih.gov/pmc/blobs/dd0c/11167575/9ff294628eab/cureus-0016-00000060194-i02.jpg
https://cdn.ncbi.nlm.nih.gov/pmc/blobs/dd0c/11167575/300eef2111dc/cureus-0016-00000060194-i03.jpg
https://cdn.ncbi.nlm.nih.gov/pmc/blobs/dd0c/11167575/386a5c222089/cureus-0016-00000060194-i04.jpg
https://cdn.ncbi.nlm.nih.gov/pmc/blobs/dd0c/11167575/9599770d8d12/cureus-0016-00000060194-i01.jpg
https://cdn.ncbi.nlm.nih.gov/pmc/blobs/dd0c/11167575/9ff294628eab/cureus-0016-00000060194-i02.jpg
https://cdn.ncbi.nlm.nih.gov/pmc/blobs/dd0c/11167575/300eef2111dc/cureus-0016-00000060194-i03.jpg
https://cdn.ncbi.nlm.nih.gov/pmc/blobs/dd0c/11167575/386a5c222089/cureus-0016-00000060194-i04.jpg

相似文献

1
Drainage by Ovarian Incision for the Treatment of Massive Ovarian Edema Torsion During Pregnancy.经卵巢切口引流术治疗妊娠期巨大卵巢水肿扭转
Cureus. 2024 May 13;16(5):e60194. doi: 10.7759/cureus.60194. eCollection 2024 May.
2
Laparoscopic surgery for massive ovarian edema during pregnancy: A case report.妊娠期巨大卵巢水肿的腹腔镜手术:一例报告
Case Rep Womens Health. 2021 Apr 24;31:e00318. doi: 10.1016/j.crwh.2021.e00318. eCollection 2021 Jul.
3
Magnetic resonance imaging features of massive ovarian edema in pregnancy: utility for decisions in expectant management.妊娠期巨大卵巢水肿的磁共振成像特征:对期待治疗决策的效用
Springerplus. 2016 Aug 30;5(1):1444. doi: 10.1186/s40064-016-3123-3. eCollection 2016.
4
Massive ovarian edema in pregnancy after ovulation induction using clomiphene citrate.使用枸橼酸氯米芬诱导排卵后妊娠发生的巨大卵巢水肿。
Arch Gynecol Obstet. 2008 Apr;277(4):375-8. doi: 10.1007/s00404-007-0474-6. Epub 2007 Oct 3.
5
Massive ovarian edema with paraovarian cyst torsion treated with laparoscopic surgery: A case report.腹腔镜手术治疗巨大卵巢水肿合并卵巢旁囊肿扭转:一例报告
Med Int (Lond). 2021 Oct 12;1(5):17. doi: 10.3892/mi.2021.17. eCollection 2021 Nov-Dec.
6
Laparoscopic detorsion of the ovary in ovarian hyperstimulation syndrome during the sixth week of gestation: A case report and review.妊娠六周时腹腔镜下卵巢扭转复位术治疗卵巢过度刺激综合征:一例病例报告及文献复习
Int J Surg Case Rep. 2019;59:50-53. doi: 10.1016/j.ijscr.2019.04.051. Epub 2019 May 9.
7
Fertility preserving management of ovarian torsion.保留生育能力的卵巢扭转处理。
Fertil Steril. 2023 Dec;120(6):1257-1258. doi: 10.1016/j.fertnstert.2023.08.012. Epub 2023 Aug 11.
8
Black Ovary: Our Experience with Oophoropexy in All Cases of Pediatric Ovarian Torsion and Review of Relevant Literature.黑色卵巢:我们对所有小儿卵巢扭转病例进行卵巢固定术的经验及相关文献综述。
J Indian Assoc Pediatr Surg. 2022 Sep-Oct;27(5):558-560. doi: 10.4103/jiaps.jiaps_207_21. Epub 2022 Sep 9.
9
Massive ovarian edema in a woman receiving clomiphene citrate. A case report.一名接受枸橼酸氯米芬治疗的女性发生巨大卵巢水肿。病例报告。
J Reprod Med. 1993 Jun;38(6):475-9.
10
Laparoscopic plication of partially twisted ovary with massive ovarian edema.
J Chin Med Assoc. 2006 May;69(5):236-9. doi: 10.1016/S1726-4901(09)70226-6.

本文引用的文献

1
Guideline for gynecological practice in Japan: Japan Society of Obstetrics and Gynecology and Japan Association of Obstetricians and Gynecologists 2023 edition.日本妇产科实践指南:日本妇产科协会和日本妇产科医师协会 2023 年版。
J Obstet Gynaecol Res. 2024 Jul;50(7):1073-1094. doi: 10.1111/jog.15950. Epub 2024 Apr 16.
2
Fast-growing immature ovarian teratoma during pregnancy: a case report and a review of the literature.妊娠期快速生长的未成熟性卵巢畸胎瘤:病例报告及文献复习。
BMC Pregnancy Childbirth. 2022 Jun 27;22(1):519. doi: 10.1186/s12884-022-04857-y.
3
Laparoscopic surgery for massive ovarian edema during pregnancy: A case report.
妊娠期巨大卵巢水肿的腹腔镜手术:一例报告
Case Rep Womens Health. 2021 Apr 24;31:e00318. doi: 10.1016/j.crwh.2021.e00318. eCollection 2021 Jul.
4
Magnetic resonance imaging features of massive ovarian edema in pregnancy: utility for decisions in expectant management.妊娠期巨大卵巢水肿的磁共振成像特征:对期待治疗决策的效用
Springerplus. 2016 Aug 30;5(1):1444. doi: 10.1186/s40064-016-3123-3. eCollection 2016.
5
Massive ovarian oedema: a misleading clinical entity.巨大卵巢水肿:一种具有误导性的临床病症。
Diagn Pathol. 2016 Feb 3;11:18. doi: 10.1186/s13000-016-0469-3.
6
Comparative analysis of laparoscopy versus laparotomy in the management of ovarian cyst during pregnancy.妊娠期间腹腔镜手术与剖腹手术治疗卵巢囊肿的对比分析
J Obstet Gynaecol Res. 2014 Mar;40(3):763-9. doi: 10.1111/jog.12228.
7
A clinical update on massive ovarian oedema - a pseudotumour?巨大卵巢水肿的临床最新进展——一种假性肿瘤?
Ecancermedicalscience. 2013 May 14;7:318. doi: 10.3332/ecancer.2013.318. Print 2013.
8
Guidelines for diagnosis, treatment, and use of laparoscopy for surgical problems during pregnancy.妊娠期手术问题的腹腔镜检查诊断、治疗及应用指南。
Surg Endosc. 2011 Nov;25(11):3479-92. doi: 10.1007/s00464-011-1927-3. Epub 2011 Sep 23.
9
Magnetic resonance imaging of massive ovarian edema in pregnancy.孕期巨大卵巢水肿的磁共振成像
J Comput Assist Tomogr. 2010 Nov-Dec;34(6):865-7. doi: 10.1097/RCT.0b013e3181efdfaa.
10
Diagnosis and management of ovarian cyst accidents.卵巢囊肿并发症的诊断与处理。
Best Pract Res Clin Obstet Gynaecol. 2009 Oct;23(5):711-24. doi: 10.1016/j.bpobgyn.2009.02.001. Epub 2009 Mar 18.