Suppr超能文献

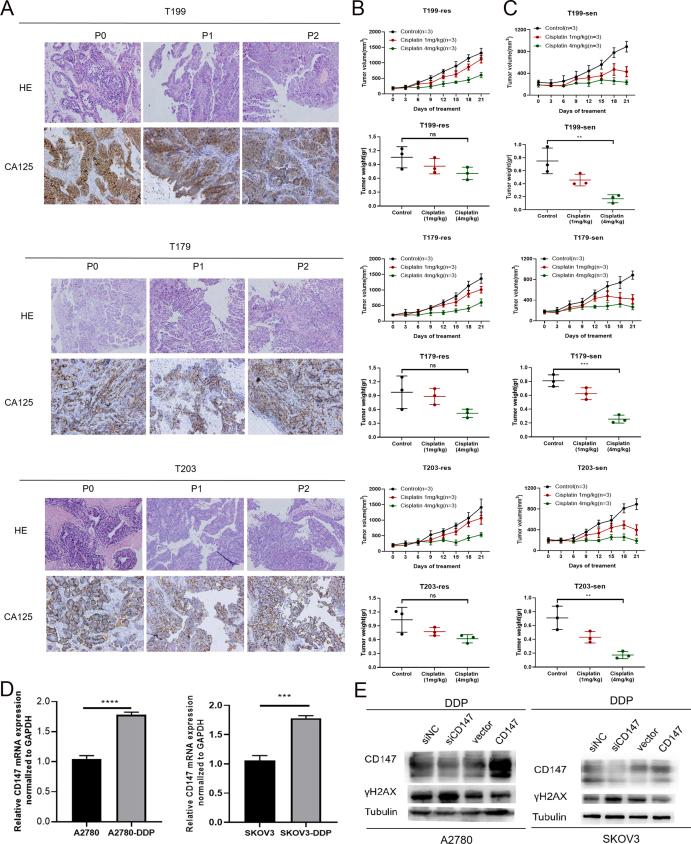
CD147 facilitates cisplatin resistance in ovarian cancer through FOXM1 degradation inhibition.

作者信息

Wang Miao, Chen Lin, Wang Yu, Fan Tian, Zhu Chunyu, Li Zhixian, Mou Lei, Yang Hong, Qian Airong, Li Yu

机构信息

School of Life Sciences, Northwestern Polytechnical University, Xi'an, Shaanxi 710072, China.

Xi'an Key Laboratory of Stem Cell and Regenerative Medicine, Institute of Medical Research, Northwestern Polytechnical University, Xi'an, Shaanxi 710072, China.

出版信息

Genes Dis. 2024 Mar 24;11(5):101277. doi: 10.1016/j.gendis.2024.101277. eCollection 2024 Sep.

Abstract
摘要
https://cdn.ncbi.nlm.nih.gov/pmc/blobs/941d/11170094/b0adf3b8ab63/gr1.jpg

文献检索

告别复杂PubMed语法,用中文像聊天一样搜索,搜遍4000万医学文献。AI智能推荐,让科研检索更轻松。

立即免费搜索

文件翻译

保留排版,准确专业,支持PDF/Word/PPT等文件格式,支持 12+语言互译。

免费翻译文档

深度研究

AI帮你快速写综述,25分钟生成高质量综述,智能提取关键信息,辅助科研写作。

立即免费体验