Suppr超能文献

肺部病变:癌症之外的鉴别诊断。

Lung Lesions: Differential Diagnoses Beyond Cancer.

机构信息

School of Medicine, Collegium Medicum, University of Warmia and Mazury in Olsztyn, Olsztyn, Poland.

Department of Pulmonology, School of Public Health, Collegium Medicum, University of Warmia and Mazury in Olsztyn, Olsztyn, Poland.

出版信息

Am J Case Rep. 2024 Jun 15;25:e943798. doi: 10.12659/AJCR.943798.

Abstract

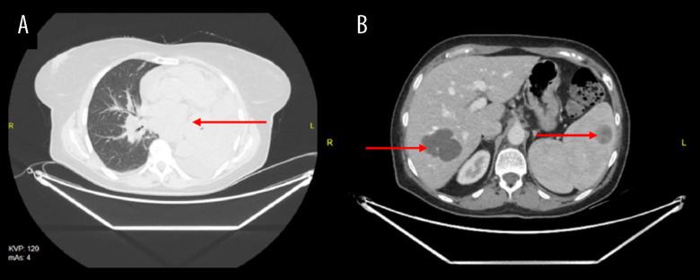
BACKGROUND Lung cancer is the most common malignant neoplasm diagnosed worldwide. Early diagnosis and treatment are of great importance for patient's prognosis. A wide variety of pulmonary conditions display clinical and radiological presentation similar to that of lung cancer, and the awareness of their existence can help in making correct diagnoses. CASE REPORT This article presents a description of 4 patients with an insidious type of lesions mimicking pulmonary carcinomas. The first patient was referred to Department with a tumor-like lesion in the right lung. After CT of the chest and core-needle biopsy, the lesion turned out to be an ectopic thyroid tissue. The second patient reported a dry cough and weight loss. A lung nodule mass was revealed in chest CT and the patient was diagnosed with pulmonary tuberculoma. The remaining 2 patients, despite the suspicion of lung cancer, were subsequently diagnosed with a post-traumatic pleural hematoma and diffuse large B cell lymphoma. CONCLUSIONS Low-dose computed tomography of the chest plays a significant role in the diagnosis of newly detected lesions in the lungs. However, due to the similarity of the image of cancer to that of other diseases, the ultimate diagnosis should be based on the interpretation of full imaging diagnostic tests, clinical presentation, and histopathological examination of the material obtained from the lesion. Analysis of cases enables us to expand our understanding of the diseases that need to be considered in differential diagnosis of a patient with a detected tumor-like lesion in the lungs.

摘要

背景

肺癌是全球最常见的恶性肿瘤。早期诊断和治疗对患者的预后至关重要。许多肺部疾病的临床表现和影像学表现与肺癌相似,了解这些疾病的存在有助于做出正确的诊断。

病例报告

本文介绍了 4 例类似肺癌的隐匿性病变患者。第 1 例患者因右肺内占位性病变就诊。胸部 CT 和经皮肺穿刺活检后,病变为异位甲状腺组织。第 2 例患者以干咳和体重减轻为主要表现,胸部 CT 显示肺部结节,诊断为肺结核球。其余 2 例患者尽管怀疑肺癌,但随后诊断为创伤性血胸和弥漫性大 B 细胞淋巴瘤。

结论

胸部低剂量 CT 对新发现肺部病变的诊断具有重要意义。但是,由于癌症图像与其他疾病的图像相似,最终诊断应基于对完整影像学诊断检查、临床表现以及从病变获得的材料的组织病理学检查的解读。对病例的分析使我们能够扩展对需要在肺部发现的肿瘤样病变的鉴别诊断中考虑的疾病的认识。

https://cdn.ncbi.nlm.nih.gov/pmc/blobs/c1cd/11193846/7a0a3b542409/amjcaserep-25-e943798-g001.jpg

文献AI研究员

20分钟写一篇综述,助力文献阅读效率提升50倍。

立即体验

用中文搜PubMed

大模型驱动的PubMed中文搜索引擎

马上搜索

文档翻译

学术文献翻译模型,支持多种主流文档格式。

立即体验