• 文献检索
  • 文档翻译
  • 深度研究
  • 学术资讯
  • Suppr Zotero 插件Zotero 插件
  • 邀请有礼
  • 套餐&价格
  • 历史记录
应用&插件
Suppr Zotero 插件Zotero 插件浏览器插件Mac 客户端Windows 客户端微信小程序
定价
高级版会员购买积分包购买API积分包
服务
文献检索文档翻译深度研究API 文档MCP 服务
关于我们
关于 Suppr公司介绍联系我们用户协议隐私条款
关注我们

Suppr 超能文献

核心技术专利:CN118964589B侵权必究
粤ICP备2023148730 号-1Suppr @ 2026

文献检索

告别复杂PubMed语法,用中文像聊天一样搜索,搜遍4000万医学文献。AI智能推荐,让科研检索更轻松。

立即免费搜索

文件翻译

保留排版,准确专业,支持PDF/Word/PPT等文件格式,支持 12+语言互译。

免费翻译文档

深度研究

AI帮你快速写综述,25分钟生成高质量综述,智能提取关键信息,辅助科研写作。

立即免费体验

酷似肺癌的非结核分枝杆菌肺病:临床影像学特征及诊断意义

Nontuberculous mycobacterial pulmonary disease mimicking lung cancer: Clinicoradiologic features and diagnostic implications.

作者信息

Hong Su Jin, Kim Tae Jung, Lee Jae-Ho, Park Jeong-Soo

机构信息

aDepartment of Radiology, Seoul National University Bundang Hospital, Bundang-gu, Seongnam-si, Gyeonggi-do bDepartment of Radiology, Hallym University Kangdong Sacred Heart Hospital cDepartment of Radiology, Samsung Medical Center, Gangnam-gu, Seoul dDepartment of Internal Medicine, Division of Pulmonary and Critical Care Medicine, Seoul National University Bundang Hospital, Bundang-gu, Seongnam-si, Gyeonggi-do eDepartment of Biochemistry, College of Medicine, Dankook University, Cheonan, Korea.

出版信息

Medicine (Baltimore). 2016 Jun;95(26):e3978. doi: 10.1097/MD.0000000000003978.

DOI:10.1097/MD.0000000000003978
PMID:27367996
原文链接:https://pmc.ncbi.nlm.nih.gov/articles/PMC4937910/
Abstract

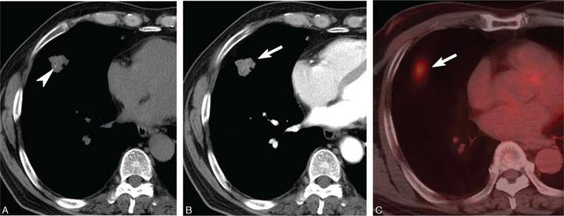
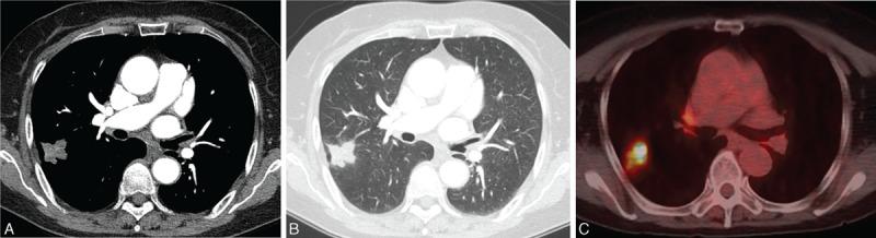
To describe the features and clinical implications of computed tomography (CT), positron emission tomography (PET), and percutaneous needle aspiration biopsy (PCNB) in pulmonary nontuberculous mycobacterial (NTM) disease manifesting as a solitary nodule, mass, or mass-like consolidation mimicking malignancy.Among a cohort of 388 patients with NTM pulmonary disease, 14 patients with clinically and radiologically suspected lung cancer were included in our study. Two chest radiologists evaluated CT features, including lesion type (nodule, mass, or mass-like consolidation), morphologic features (margin, degree of enhancement, calcification), and presence of accompanying findings suggestive of NTM pulmonary disease (bronchiectasis with clustered centrilobular nodules or upper-lobe cavitary lesions) by consensus. Diagnostic procedures for microbiologic diagnosis of NTM disease and clinical outcome were reviewed.Incidence of NTM pulmonary disease presenting as solitary nodule/mass (n = 8) or mass-like consolidation (n = 6) was 3.6% (14 of 388). Most lesions were detected incidentally during routine health check-up or evaluation of other disease (11 of 14, 79%). Lesions typically showed poor contrast-enhancement (9 of 12) and internal calcification (6 of 14). No lesions had CT features suggestive of NTM pulmonary disease. All 4 lesions for which PET/CT imaging was performed showed strong fluorodeoxyglucose uptake simulating malignant lesions (mean, 4.9; range, 3.6-7.8). PCNB revealed mycobacterial histology in 6 of 11 specimens and positive culture results were obtained for 7 of 7 specimens.NTM pulmonary disease may present as a solitary nodule, mass, or mass-like consolidation mimicking malignancy. CT features and PCNB are important to diagnose NTM disease mimicking lung cancer to avoid unnecessary surgery.

摘要

描述计算机断层扫描(CT)、正电子发射断层扫描(PET)和经皮针吸活检(PCNB)在表现为孤立性结节、肿块或类似肿块的实变影且疑似恶性肿瘤的肺非结核分枝杆菌(NTM)病中的特征及临床意义。在388例NTM肺病患者队列中,14例临床及影像学疑似肺癌的患者纳入本研究。两名胸部放射科医生通过共识评估CT特征,包括病变类型(结节、肿块或类似肿块的实变影)、形态学特征(边缘、强化程度、钙化)以及提示NTM肺病的伴随表现(伴有簇状小叶中心结节的支气管扩张或上叶空洞性病变)。回顾NTM病的微生物学诊断程序及临床结局。表现为孤立性结节/肿块(n = 8)或类似肿块的实变影(n = 6)的NTM肺病发生率为3.6%(388例中的14例)。大多数病变在常规健康检查或其他疾病评估期间偶然发现(14例中的11例,79%)。病变通常表现为强化不佳(12例中的9例)及内部钙化(14例中的6例)。无病变具有提示NTM肺病的CT特征。进行PET/CT成像的4例病变均显示强烈的氟脱氧葡萄糖摄取,类似恶性病变(平均值为4.9;范围为3.6 - 7.8)。11例标本中有6例PCNB显示分枝杆菌组织学,7例标本中有7例培养结果为阳性。NTM肺病可能表现为孤立性结节、肿块或类似肿块的实变影,疑似恶性肿瘤。CT特征及PCNB对于诊断疑似肺癌的NTM病以避免不必要的手术很重要。

https://cdn.ncbi.nlm.nih.gov/pmc/blobs/3cee/4937910/213bf7b78634/medi-95-e3978-g004.jpg
https://cdn.ncbi.nlm.nih.gov/pmc/blobs/3cee/4937910/951e9546122e/medi-95-e3978-g001.jpg
https://cdn.ncbi.nlm.nih.gov/pmc/blobs/3cee/4937910/7fde181d5ac7/medi-95-e3978-g002.jpg
https://cdn.ncbi.nlm.nih.gov/pmc/blobs/3cee/4937910/19fb9264b23d/medi-95-e3978-g003.jpg
https://cdn.ncbi.nlm.nih.gov/pmc/blobs/3cee/4937910/213bf7b78634/medi-95-e3978-g004.jpg
https://cdn.ncbi.nlm.nih.gov/pmc/blobs/3cee/4937910/951e9546122e/medi-95-e3978-g001.jpg
https://cdn.ncbi.nlm.nih.gov/pmc/blobs/3cee/4937910/7fde181d5ac7/medi-95-e3978-g002.jpg
https://cdn.ncbi.nlm.nih.gov/pmc/blobs/3cee/4937910/19fb9264b23d/medi-95-e3978-g003.jpg
https://cdn.ncbi.nlm.nih.gov/pmc/blobs/3cee/4937910/213bf7b78634/medi-95-e3978-g004.jpg

相似文献

1
Nontuberculous mycobacterial pulmonary disease mimicking lung cancer: Clinicoradiologic features and diagnostic implications.酷似肺癌的非结核分枝杆菌肺病:临床影像学特征及诊断意义
Medicine (Baltimore). 2016 Jun;95(26):e3978. doi: 10.1097/MD.0000000000003978.
2
[Study on pulmonary lesions in which nontuberculous mycobacteria were detected by percutaneous aspiration--a proposal to add "culture positivity of percutaneous aspiration material" to the bacteriological diagnostic criteria of pulmonary nontuberculous mycobacterial diseases].经皮穿刺抽吸检出非结核分枝杆菌的肺部病变研究——关于在肺部非结核分枝杆菌病细菌学诊断标准中增加“经皮穿刺抽吸物培养阳性”的提议
Kekkaku. 2013 Mar;88(3):283-9.
3
Nontuberculous mycobacterial pulmonary infection in immunocompetent patients: comparison of thin-section CT and histopathologic findings.免疫功能正常患者的非结核分枝杆菌肺部感染:薄层CT与组织病理学表现的比较
Radiology. 2004 Jun;231(3):880-6. doi: 10.1148/radiol.2313030833. Epub 2004 Apr 29.
4
Bilateral bronchiectasis and bronchiolitis at thin-section CT: diagnostic implications in nontuberculous mycobacterial pulmonary infection.薄层CT显示的双侧支气管扩张和细支气管炎:非结核分枝杆菌肺部感染的诊断意义
Radiology. 2005 Apr;235(1):282-8. doi: 10.1148/radiol.2351040371. Epub 2005 Feb 9.
5
[Nontuberculous mycobacterial infections involving solitary pulmonary nodules].[非结核分枝杆菌感染累及孤立性肺结节]
Nihon Kokyuki Gakkai Zasshi. 2007 Sep;45(9):655-60.
6
Hypothesis on the evolution of cavitary lesions in nontuberculous mycobacterial pulmonary infection: thin-section CT and histopathologic correlation.非结核分枝杆菌肺部感染中空洞性病变演变的假说:薄层CT与组织病理学相关性
AJR Am J Roentgenol. 2005 Apr;184(4):1247-52. doi: 10.2214/ajr.184.4.01841247.
7
Newly detected pulmonary nontuberculous mycobacterial infection and peripheral lung cancers in patients during follow-up of idiopathic interstitial pneumonia: comparison of CT findings.特发性间质性肺炎患者随访期间新检测到的肺部非结核分枝杆菌感染与周围型肺癌:CT表现比较
Medicine (Baltimore). 2015 Apr;94(13):e691. doi: 10.1097/MD.0000000000000691.
8
Nontuberculous mycobacterial pulmonary disease presenting as bronchiolitis pattern on CT without cavity or bronchiectasis.非结核分枝杆菌肺病 CT 表现为无空洞或支气管扩张的细支气管炎模式。
BMC Pulm Med. 2024 Sep 2;24(1):432. doi: 10.1186/s12890-024-03223-2.
9
Imaging characteristics of nontuberculous mycobacterial pulmonary nodules.非结核分枝杆菌肺部结节的影像学特征。
Rom J Intern Med. 2021 Nov 20;59(4):369-374. doi: 10.2478/rjim-2021-0016. Print 2021 Dec 1.
10
Bronchoscopy for the diagnosis of nontuberculous mycobacterial pulmonary disease: Specificity and diagnostic yield in a retrospective cohort study.支气管镜检查用于非结核分枝杆菌肺病的诊断:一项回顾性队列研究中的特异性和诊断率
Respir Investig. 2022 May;60(3):355-363. doi: 10.1016/j.resinv.2021.11.012. Epub 2022 Jan 5.

引用本文的文献

1
Impact of pulmonary tuberculosis on lung cancer screening: a narrative review.肺结核对肺癌筛查的影响:一项叙述性综述。
Ewha Med J. 2025 Apr;48(2):e23. doi: 10.12771/emj.2025.00052. Epub 2025 Mar 26.
2
Complete resolution of non-tuberculous mycobacterial pulmonary nodule following cryobiopsy: The first case report.经冷冻活检后非结核分枝杆菌性肺结节完全消退:首例病例报告。
Diagn Pathol. 2025 Apr 11;20(1):42. doi: 10.1186/s13000-025-01644-z.
3
A practical guide to the diagnosis and management of suspected Non-tuberculous Mycobacterial Pulmonary Disease (NTM-PD) in the United Kingdom.

本文引用的文献

1
Non-tuberculous mycobacterial diseases presenting as solitary pulmonary nodules.非结核分枝杆菌病表现为孤立性肺结节。
Int J Tuberc Lung Dis. 2010 Dec;14(12):1635-40.
2
Two cases with solitary pulmonary nodule due to non-tuberculous mycobacterial infection showing intense 18F-fluorodeoxyglucose uptake on positron emission tomography scan.两例因非结核分枝杆菌感染导致的孤立性肺结节,在正电子发射断层扫描(PET)上呈现出强烈的 18F-氟脱氧葡萄糖摄取。
Geriatr Gerontol Int. 2010 Jul;10(3):251-4. doi: 10.1111/j.1447-0594.2010.00619.x.
3
Solitary pulmonary nodules caused by Mycobacterium tuberculosis and Mycobacterium avium complex.
英国疑似非结核分枝杆菌肺病(NTM-PD)诊断与管理实用指南
NPJ Prim Care Respir Med. 2024 Dec 21;34(1):45. doi: 10.1038/s41533-024-00403-9.
4
Drinking Water Microbiota, Entero-Mammary Pathways, and Breast Cancer: Focus on Nontuberculous Mycobacteria.饮用水微生物群、肠-乳腺途径与乳腺癌:关注非结核分枝杆菌
Microorganisms. 2024 Jul 13;12(7):1425. doi: 10.3390/microorganisms12071425.
5
Disseminated infection mimicking malignancy: A case report.酷似恶性肿瘤的播散性感染:一例报告。
Heliyon. 2024 Apr 30;10(9):e30567. doi: 10.1016/j.heliyon.2024.e30567. eCollection 2024 May 15.
6
microRNAs in exhaled breath condensate for diagnosis of lung cancer in a resource-limited setting: a concise review.资源受限环境下呼出气冷凝物中的微小RNA用于肺癌诊断:简要综述
Breathe (Sheff). 2023 Dec;19(4):230125. doi: 10.1183/20734735.0125-2023. Epub 2024 Feb 13.
7
A Rare Case of Co-existing Non-small Cell Lung Carcinoma and Non-tuberculous Mycobacteria.非小细胞肺癌与非结核分枝杆菌并存的罕见病例
Cureus. 2023 Dec 13;15(12):e50456. doi: 10.7759/cureus.50456. eCollection 2023 Dec.
8
Disseminated nontuberculous mycobacterial infection with cryptic immunodeficiency mimicking malignancy: a case report.播散性非结核分枝杆菌感染伴隐匿性免疫缺陷,酷似恶性肿瘤:病例报告。
BMC Pulm Med. 2022 Nov 29;22(1):452. doi: 10.1186/s12890-022-02227-0.
9
Association between non-tuberculous mycobacterial infection and aerodigestive cancers: A case series highlighting different features, sequence and association.非结核分枝杆菌感染与气道消化道癌症之间的关联:一个突出不同特征、序列及关联的病例系列
Respir Med Case Rep. 2022 Oct 7;40:101751. doi: 10.1016/j.rmcr.2022.101751. eCollection 2022.
10
[Radiologic Diagnosis of Nontuberculous Mycobacterial Pulmonary Disease].[非结核分枝杆菌肺病的放射学诊断]
Taehan Yongsang Uihakhoe Chi. 2021 Jul;82(4):838-850. doi: 10.3348/jksr.2021.0068. Epub 2021 Jun 16.
由结核分枝杆菌和鸟分枝杆菌复合群引起的孤立性肺结节。
Lung. 2010 Jan-Feb;188(1):25-31. doi: 10.1007/s00408-009-9203-1. Epub 2009 Dec 3.
4
Usefulness of 18F-fluorodeoxyglucose positron emission tomography for diagnosing disease activity and monitoring therapeutic response in patients with pulmonary mycobacteriosis.18F-氟脱氧葡萄糖正电子发射断层扫描在诊断肺部分枝杆菌病患者疾病活动及监测治疗反应中的应用价值
Eur J Nucl Med Mol Imaging. 2009 Apr;36(4):632-9. doi: 10.1007/s00259-008-1009-5. Epub 2008 Dec 18.
5
Fleischner Society: glossary of terms for thoracic imaging.弗莱施纳学会:胸部影像学术语词汇表。
Radiology. 2008 Mar;246(3):697-722. doi: 10.1148/radiol.2462070712. Epub 2008 Jan 14.
6
An official ATS/IDSA statement: diagnosis, treatment, and prevention of nontuberculous mycobacterial diseases.美国胸科学会/美国感染病学会官方声明:非结核分枝杆菌病的诊断、治疗与预防
Am J Respir Crit Care Med. 2007 Feb 15;175(4):367-416. doi: 10.1164/rccm.200604-571ST.
7
Solitary pulmonary granuloma caused by Mycobacterium avium-intracellulare complex.鸟分枝杆菌-胞内分枝杆菌复合体引起的孤立性肺肉芽肿。
Int J Tuberc Lung Dis. 2007 Feb;11(2):215-21.
8
Hypothesis on the evolution of cavitary lesions in nontuberculous mycobacterial pulmonary infection: thin-section CT and histopathologic correlation.非结核分枝杆菌肺部感染中空洞性病变演变的假说:薄层CT与组织病理学相关性
AJR Am J Roentgenol. 2005 Apr;184(4):1247-52. doi: 10.2214/ajr.184.4.01841247.
9
Species identification of mycobacteria by PCR-restriction fragment length polymorphism of the rpoB gene.通过rpoB基因的PCR-限制性片段长度多态性进行分枝杆菌的菌种鉴定。
J Clin Microbiol. 2000 Aug;38(8):2966-71. doi: 10.1128/JCM.38.8.2966-2971.2000.
10
Pulmonary tuberculoma evaluated by means of FDG PET: findings in 10 cases.通过氟代脱氧葡萄糖正电子发射断层显像(FDG PET)评估的肺结核瘤:10例病例的研究结果
Radiology. 2000 Jul;216(1):117-21. doi: 10.1148/radiology.216.1.r00jl19117.