Suppr超能文献

微小RNA-let-7a通过下调神经生长因子的表达来抑制心肌梗死后的交感神经重塑。

miR-let-7a inhibits sympathetic nerve remodeling after myocardial infarction by downregulating the expression of nerve growth factor.

作者信息

Jing Yanyan, Qi Lei, Zhang Xueli, Zheng Lu, Yang Peijin, Yin Jie, Shi Yugen, Yan Suhua

机构信息

Department of Cardiology, Yantai Yuhuangding Hospital, Shandong University, Yantai, China.

Department of Cardiology, Shandong Qianfoshan Hospital, Cheeloo College of Medicine, Shandong University, Jinan, China.

出版信息

Open Med (Wars). 2024 Jun 12;19(1):20240975. doi: 10.1515/med-2024-0975. eCollection 2024.

Abstract

OBJECTIVE

Sympathetic hyperinnervation following myocardial infarction (MI) is one of the primary causes of ventricular arrhythmias (VAs) after MI. Nerve growth factor (NGF) is a key molecule that induces sympathetic nerve remodeling. Previous studies have confirmed that microRNA (miR)-let-7a interacts with NGF. However, whether miR-let-7a is involved in sympathetic remodeling after MI remains unknown. We aimed to investigate whether miR-let-7a was associated with the occurrence of VA after MI.

METHODS AND RESULTS

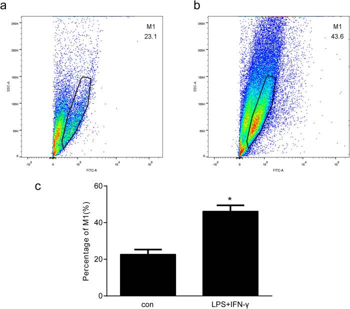
A rat model of myocardial infarction was established using left coronary artery ligation. miR-let-7a expression levels were analyzed by reverse transcription-quantitative PCR. Western blotting was also used to examine NGF expression levels and in M1 macrophages . The relationship between miR-let-7a and NGF levels was investigated using a luciferase reporter assay. The results revealed that the expression of miR-let-7a decreased significantly after MI, while NGF expression was significantly upregulated. In addition, overexpression of miR-let-7a effectively inhibited NGF expression in rats, which was also verified in M1 macrophages. Tyrosine hydroxylase and growth-associated protein 43 immunofluorescence results revealed that the administration of a miR-let-7a overexpression lentivirus to rats inhibited sympathetic remodeling after MI. Programmed electrical stimulation, renal sympathetic nerve activity recording, and heart rate variability measurements showed that miR-let-7a overexpression decreased sympathetic activity.

CONCLUSIONS

These findings provide novel insights into the molecular mechanisms by which miR-let-7a and NGF contribute to the progression of sympathetic nerve remodeling after MI. Therefore, miR-let-7a may be a promising therapeutic target to reduce the incidence of arrhythmia following MI.

摘要

目的

心肌梗死(MI)后交感神经支配过度是MI后室性心律失常(VA)的主要原因之一。神经生长因子(NGF)是诱导交感神经重塑的关键分子。先前的研究证实,微小RNA(miR)-let-7a与NGF相互作用。然而,miR-let-7a是否参与MI后的交感神经重塑仍不清楚。我们旨在研究miR-let-7a是否与MI后VA的发生有关。

方法与结果

采用左冠状动脉结扎法建立大鼠心肌梗死模型。通过逆转录定量PCR分析miR-let-7a表达水平。还采用蛋白质印迹法检测NGF表达水平以及M1巨噬细胞中的表达情况。使用荧光素酶报告基因检测法研究miR-let-7a与NGF水平之间的关系。结果显示,MI后miR-let-7a的表达显著降低,而NGF表达显著上调。此外,miR-let-7a过表达有效抑制了大鼠体内NGF的表达,这在M1巨噬细胞中也得到了验证。酪氨酸羟化酶和生长相关蛋白43免疫荧光结果显示,向大鼠注射miR-let-7a过表达慢病毒可抑制MI后的交感神经重塑。程序电刺激、肾交感神经活动记录和心率变异性测量结果表明,miR-let-7a过表达降低了交感神经活动。

结论

这些发现为miR-let-7a和NGF促进MI后交感神经重塑进展的分子机制提供了新的见解。因此,miR-let-7a可能是降低MI后心律失常发生率的一个有前景的治疗靶点。

https://cdn.ncbi.nlm.nih.gov/pmc/blobs/4356/11179384/451d0b8bf30b/j_med-2024-0975-fig001.jpg

文献AI研究员

20分钟写一篇综述,助力文献阅读效率提升50倍。

立即体验

用中文搜PubMed

大模型驱动的PubMed中文搜索引擎

马上搜索

文档翻译

学术文献翻译模型,支持多种主流文档格式。

立即体验