Suppr超能文献

红霉素通过调节过氧化物酶体增殖物激活受体γ来改善香烟烟雾诱导的巨噬细胞氧化应激。

Erythromycin regulates peroxisome proliferator-activated receptor γ to ameliorate cigarette smoke-induced oxidative stress in macrophages.

作者信息

Li Qiqi, Wei Yunjie, Wei Yanlin, He Kaiye, Liao Guopeng, Cheng Lingyun, Li Meihua

机构信息

Department of Respiratory and Critical Care Medicine, The First Affiliated Hospital of Guangxi Medical University, Nanning, China.

出版信息

J Thorac Dis. 2024 May 31;16(5):3051-3060. doi: 10.21037/jtd-23-1647. Epub 2024 May 24.

Abstract

BACKGROUND

Chronic obstructive pulmonary disease (COPD) is significantly influenced by oxidative stress. Recent studies have elucidated the anti-oxidative stress properties of peroxisome proliferator-activated receptors γ (PPARγ), augmenting its known anti-inflammatory effects. The exact influence of PPARγ on oxidative stress in COPD remains elusive. This study aimed to investigate the potential mechanism by which PPARγ counteracts the oxidative stress instigated by cigarette smoke in macrophages.

METHODS

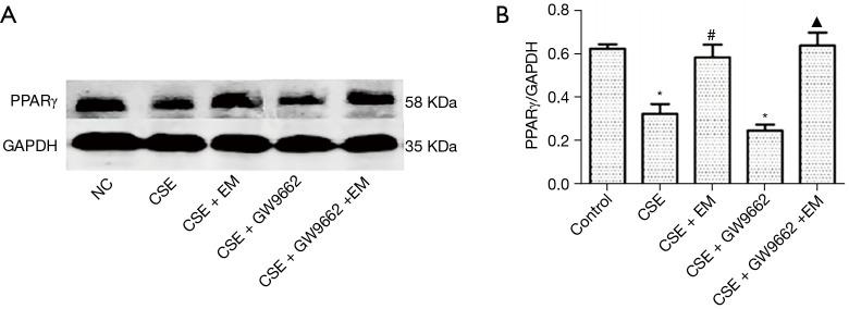
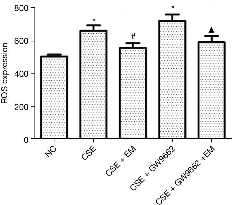
Macrophages were cultured and exposed to 1% cigarette smoke extract (CSE), 1 µg/mL erythromycin (EM), and 10 µmol/mL GW9662 (a PPARγ antagonist). Reactive oxygen species (ROS) in macrophages was identified using fluorescent microscopy. PPARγ expression was ascertained through reverse transcription-polymerase chain reaction (RT-PCR) and Western blot techniques. The superoxide dismutase (SOD) in macrophage supernatant was measured by enzyme linked immunosorbent assay (ELISA), as was malondialdehyde (MDA).

RESULTS

Our results shown that cigarette smoke stimulated macrophages to increase ROS release, decrease the expression of PPARγ, increase the expression of MDA and decrease the expression of SOD. After PPARγ inhibitor acted on macrophages stimulated by cigarette smoke, the expression of MDA was inhibited and the content of SOD increased. When EM was used to treat macrophages stimulated by cigarette smoke, the expression of ROS decreased, the expression of PPARγ increased, the expression of MDA decreased and the expression of SOD increased.

CONCLUSIONS

This study suggests that PPARγ plays an anti-oxidative role by inhibiting the expression of MDA and promoting the expression of SOD. Cigarette smoke induces oxidative stress by inhibiting PPARγ pathway. EM inhibits oxidative stress by activating PPARγ pathway.

摘要

背景

慢性阻塞性肺疾病(COPD)受氧化应激的显著影响。最近的研究阐明了过氧化物酶体增殖物激活受体γ(PPARγ)的抗氧化应激特性,增强了其已知的抗炎作用。PPARγ对COPD氧化应激的确切影响仍不清楚。本研究旨在探讨PPARγ对抗巨噬细胞中香烟烟雾引发的氧化应激的潜在机制。

方法

培养巨噬细胞,并将其暴露于1%香烟烟雾提取物(CSE)、1μg/mL红霉素(EM)和10μmol/mL GW9662(一种PPARγ拮抗剂)中。使用荧光显微镜鉴定巨噬细胞中的活性氧(ROS)。通过逆转录聚合酶链反应(RT-PCR)和蛋白质印迹技术确定PPARγ的表达。采用酶联免疫吸附测定(ELISA)法测定巨噬细胞上清液中的超氧化物歧化酶(SOD)以及丙二醛(MDA)。

结果

我们的结果表明,香烟烟雾刺激巨噬细胞增加ROS释放,降低PPARγ的表达,增加MDA的表达并降低SOD的表达。PPARγ抑制剂作用于香烟烟雾刺激的巨噬细胞后,MDA的表达受到抑制,SOD的含量增加。当用EM处理香烟烟雾刺激的巨噬细胞时,ROS的表达降低,PPARγ的表达增加,MDA的表达降低,SOD的表达增加。

结论

本研究表明,PPARγ通过抑制MDA的表达和促进SOD的表达发挥抗氧化作用。香烟烟雾通过抑制PPARγ途径诱导氧化应激。EM通过激活PPARγ途径抑制氧化应激。

https://cdn.ncbi.nlm.nih.gov/pmc/blobs/f281/11170435/5017ddac5d78/jtd-16-05-3051-f1.jpg

文献AI研究员

20分钟写一篇综述,助力文献阅读效率提升50倍。

立即体验

用中文搜PubMed

大模型驱动的PubMed中文搜索引擎

马上搜索

文档翻译

学术文献翻译模型,支持多种主流文档格式。

立即体验