Suppr超能文献

两例散发型和两例2型神经纤维瘤病相关的耳蜗内施万细胞瘤患者同时进行肿瘤切除和人工耳蜗植入的听力学结果

Audiological Outcome of the Simultaneous Tumor Resection and Cochlear Implantation in Two Cases of Sporadic and Two Cases of Neurofibromatosis Type 2-Associated Intracochlear Schwannoma.

作者信息

AlMutawah Abdullah A, Kim Taegyeong, Chung Jong Woo

机构信息

Department of Otorhinolaryngology-Head and Neck Surgery, Asan Medical Center, University of Ulsan College of Medicine, Seoul 05505, Republic of Korea.

Department of Otorhinolaryngology-Head and Neck Surgery, Jahra Hospital, Ministry of Health, Jahra 00043, Kuwait.

出版信息

J Clin Med. 2024 May 22;13(11):3042. doi: 10.3390/jcm13113042.

Abstract

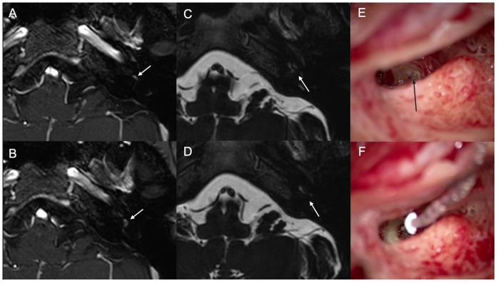
: Simultaneous removal and cochlear implantation (CI) have been reported in intralabyrinthine and intracochlear schwannoma. A wide range of postoperative hearing outcomes have been reported after CI in these cases. This study evaluated the outcomes of performing a simultaneous resection of Schwannoma in cochlea and cochlear implantation (CI), aiming to assess the effectiveness of this combined surgical approach for hearing rehabilitation with CI. : This retrospective case series was conducted at a tertiary care center. The study included four consecutive patients with profound sensorineural hearing loss due to a mass inside the cochlea. These patients underwent simultaneous single-sided CI and tumor resection performed by the same surgeon. Preoperative and postoperative audiological assessments were conducted to evaluate the patients' hearing outcomes before and after the surgical intervention. : Simultaneous CI with tumor resection was successful in all cases. Two of the four patients had a unilateral tumor, while the other two had a bilateral tumor with the involvement of the internal auditory canal and cerebellopontine angle (neurofibromatosis type 2 (NF2)). In two cases of unilateral tumor, aided free-field pure tone average (PTA) was 26 dB, and 46 dB hearing level (HL), and word recognition score (WRS) at 65 dB was 40% and 68%, respectively, 3 months after surgery. In two cases of tumor with NF2, aided free-field PTA was 36 dB and 60 dB HL, and both cases showed 0% WRS at 65 dB 3 months after surgery. : Simultaneous schwannoma excision and CI in patients with Schwannoma inside cochlea are surgically practical and safe. Postoperatively, there was a notable improvement in hearing in cases of sporadic schwannoma, regardless of the type of CI used. However, there was 0% WRS in the two NF2 patients with a mass in the internal auditory canal.

摘要

: 据报道,在迷路内和耳蜗内神经鞘瘤中可同时进行肿瘤切除和人工耳蜗植入(CI)。这些病例中,CI术后的听力结果范围广泛。本研究评估了同时切除耳蜗神经鞘瘤和人工耳蜗植入(CI)的结果,旨在评估这种联合手术方法对CI听力康复的有效性。: 本回顾性病例系列研究在一家三级医疗中心进行。该研究纳入了4例因耳蜗内肿物导致重度感音神经性听力损失的连续患者。这些患者由同一位外科医生同时进行了单侧CI和肿瘤切除。术前和术后进行了听力学评估,以评估手术干预前后患者的听力结果。: 所有病例中同时进行CI和肿瘤切除均成功。4例患者中有2例为单侧肿瘤,另外2例为双侧肿瘤,累及内耳道和桥小脑角(2型神经纤维瘤病(NF2))。在2例单侧肿瘤病例中,术后3个月时,助听自由声场纯音平均听阈(PTA)分别为26 dB和46 dB听力级(HL),65 dB时的言语识别得分(WRS)分别为40%和68%。在2例NF2肿瘤病例中,助听自由声场PTA分别为36 dB和60 dB HL,术后3个月时,2例患者在65 dB时的WRS均为0%。: 对于耳蜗内有神经鞘瘤的患者,同时切除神经鞘瘤和CI在手术上是可行且安全的。术后,散发性神经鞘瘤病例的听力有显著改善,无论使用何种类型的CI。然而,2例内耳道有肿物的NF2患者的WRS为0%。

https://cdn.ncbi.nlm.nih.gov/pmc/blobs/650e/11172463/05596fff1c7a/jcm-13-03042-g001.jpg

文献AI研究员

20分钟写一篇综述,助力文献阅读效率提升50倍。

立即体验

用中文搜PubMed

大模型驱动的PubMed中文搜索引擎

马上搜索

文档翻译

学术文献翻译模型,支持多种主流文档格式。

立即体验