Michalik Jędrzej, Moroz Roman, Szołkiewicz Marek, Dąbrowska-Kugacka Alicja, Daniłowicz-Szymanowicz Ludmiła
Department of Cardiology and Interventional Angiology, Kashubian Center for Heart and Vascular Diseases, Pomeranian Hospitals, 84-200 Wejherowo, Poland.
Department of Cardiology and Electrotherapy, Medical University of Gdansk, 80-214 Gdansk, Poland.
J Clin Med. 2024 Jun 4;13(11):3307. doi: 10.3390/jcm13113307.
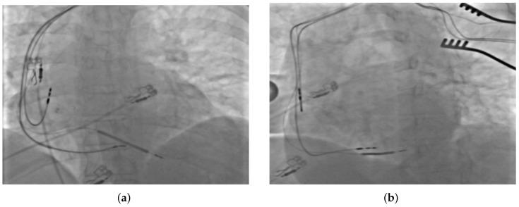
The results of clinical trials show that up to one-third of patients who are eligible for cardiac resynchronization therapy (CRT) do not benefit from biventricular pacing. The reasons vary, including technical problems related to left ventricle pacing lead placement in the appropriate branch of the coronary sinus. Herein, we present a case report of a patient with heart failure with reduced ejection fraction and left bundle branch block, in whom a poor coronary sinus bed made implantation of classic biventricular CRT impossible, but in whom, alternatively, rescue-performed left bundle branch area pacing allowed effective electrical and mechanical cardiac resynchronization. The report confirms that left bundle branch area pacing may be a rational alternative in such cases.
临床试验结果表明,符合心脏再同步治疗(CRT)条件的患者中,高达三分之一无法从双心室起搏中获益。原因各不相同,包括与左心室起搏导线放置在冠状窦合适分支相关的技术问题。在此,我们报告一例射血分数降低且伴有左束支传导阻滞的心力衰竭患者,其冠状窦床情况不佳,无法植入经典的双心室CRT,但通过抢救性左束支区域起搏实现了有效的心脏电和机械再同步。该报告证实,在这种情况下,左束支区域起搏可能是一种合理的替代方案。