Bachelani Arshad M
Department of Surgery, Independence Health, Greensburg, PA 15601, United States.
World J Clin Cases. 2024 Jun 16;12(17):3151-3155. doi: 10.12998/wjcc.v12.i17.3151.
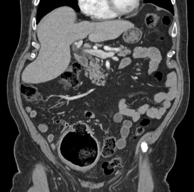
While diverticular disease is prevalent in the West, the formation of giant colonic diverticula is rare. To date, approximately 200 cases have been reported, with only a handful treated surgically using a minimally invasive approach. Furthermore, the natural history of giant colonic diverticula is not well documented.
This report describes the case of a 66-year-old man who developed a giant colonic diverticulum with primary symptoms including dull and chronic pain in the right lower quadrant at presentation. The patient had undergone several computed tomography scans of the abdomen and pelvis over the previous two years, through which the natural history of this rare entity could be retrospectively observed. The patient was successfully treated with a robot-assisted sigmoid colectomy and had an uneventful recovery with resolution of symptoms during the follow-up.
This rare case demonstrates the natural history of giant colonic diverticulum formation and supports the feasibility of robot-assisted surgery.
虽然憩室病在西方很常见,但巨大结肠憩室的形成却很罕见。迄今为止,已报告了约200例病例,其中只有少数采用微创方法进行手术治疗。此外,巨大结肠憩室的自然病史尚无充分记录。
本报告描述了一名66岁男性患者,其出现巨大结肠憩室,初发症状包括就诊时右下腹钝痛和慢性疼痛。该患者在过去两年中接受了多次腹部和骨盆计算机断层扫描,通过这些扫描可以回顾性观察到这种罕见疾病的自然病史。患者通过机器人辅助乙状结肠切除术成功治疗,术后恢复顺利,随访期间症状消失。
这个罕见病例展示了巨大结肠憩室形成的自然病史,并支持机器人辅助手术的可行性。